ВХОД ДЛЯ ПАЦИЕНТОВ
вверх
поиск
админ
главная
исходное
|
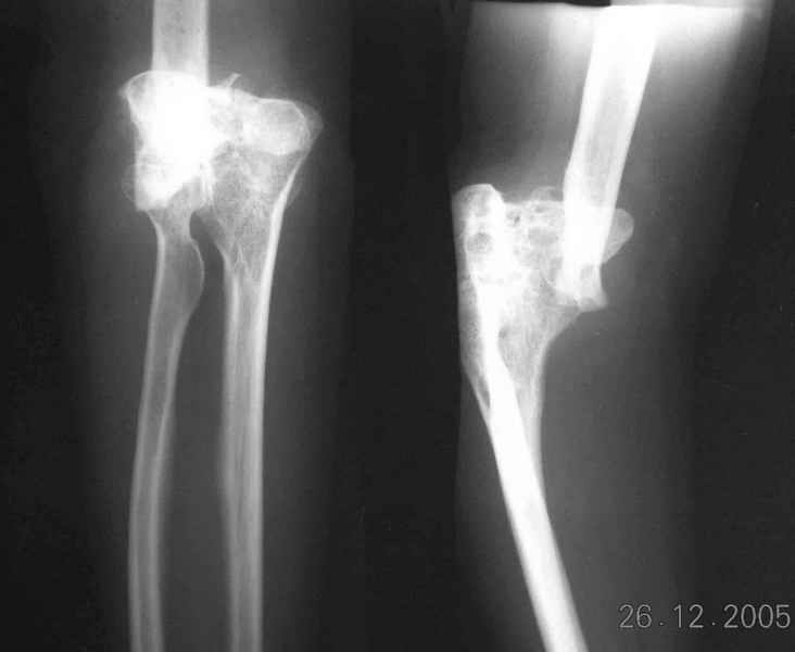
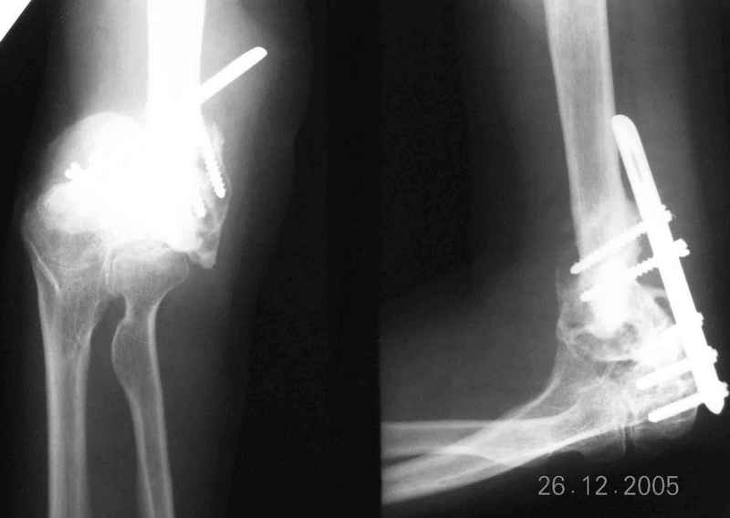
Re: Болтающийся ложный сустав дистального плеча
послал Василий Мамонов 06 Апрель 2006, 13:42
|

Уважаемый Ильдар, в ноябре 2005 г. мы оперировали практически полностью идентичную ситуацию у больного с гемофилией, поставили модифицированный
эндопротез локтевого сустава типа Сиваша с хорошим результатом. На заводе-производителе (в нашем случае - завод ЦИТО, но есть еще ООО
Эндосервис т/ф (095) 221-06-18, 500-41-30, 513-54-32 ) можно заказать протез этого типа по индивидуальным размерам для восполнения дефицита длины плечевой кости. Сейчас есть и более дорогие коммерческие эндопротезы фирмы Stryker. Наиболее активно оперируют локоть в ЦИТО, у нас тоже есть
собственный небольшой опыт эндопротезирования локтевого сустава.
Мамонов Василий, отделение ортопедии для больных гемофилией ГНЦ РАМН.
|
| Послать ответ |
Обратите внимание: Поля с жирными названиями обязательны.
Старайтесь отвечать в рамках обсуждаемой темы, а не начинать новые обсуждения.
Указывайте адекватную тему сообщения, чтобы было ясно, о чем оно.
Не послайте сообщений не по теме (оффтопик), раздраженных, грубых или обидных комментариев. Здесь это неуместно.
|