Ответить
|
Re: Болтающийся ложный сустав дистального плеча
Alexander Rykov 03 Апрель 2006, 20:05
|
Ильдар Фуатович, с приездом! Когда-то (90-е годы) в Кургане при подобных переломах с пропадающим локтевым суставом рекомендовали формирование именно такого неартроза, как конечной цели лечения. Риски при протезировании локтя у пациента велики. Опыт есть наверное в Питере. Я бы рекомендовал больному
(у себя) не искать лучшего от хорошего. А Рыков. Хабаровка.
|
[
Ответить ]
|
Re: Болтающийся ложный сустав дистального плеча
Tom Schaller 03 Апрель 2006, 22:16
|
interesting case
my colleague here in michigan treats a fair number of these malunited supracondylar fractures in the older adult/lower demand patients with total elbow arthroplasty, using published triceps sparring approach popularized by morrey , using zimmer semiconstrained device. he has seen excellent clinical results, comparible with the published reports.
good luck
tom schaller
|
[
Ответить ]
|
Re: Болтающийся ложный сустав дистального плеча
Dr.A.K.Venkatachalam 03 Апрель 2006, 22:40
|
Dear DR.Alex,
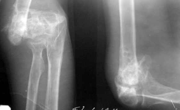
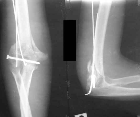
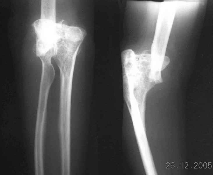
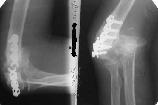
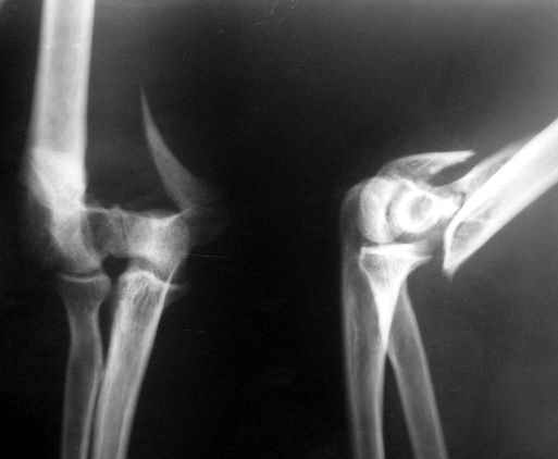
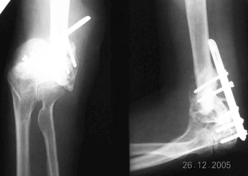
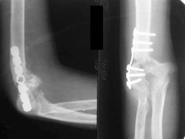
The recent x rays show established Non union with poor quality bone in the distal fragement. The joint is also appearing degenerate. In view of the multiple failed reconstructive surgeries, an Elbow replacement would seem reasonable.
However it would have to be a fully constrained one as there would be missing bone stock.
The patient will need counselling that a future revision may be necessary.
Yours sincerely
Dr.A.K.Venkatachalam
Asst.Professor in Orthopaedics
Chettinad medical college and research centre
near Chennai
|
[
Ответить ]
|
Re: Болтающийся ложный сустав дистального плеча
Shmuel Luboshitz 03 Апрель 2006, 23:29
|
Obviously there is no elbow joint...the options are few: (from the worst to the "best"...if any)
1. Arthrodesis - last choice if at all
2. If no pain leave it as it is
3. Total elbow replacement (semi constrained - as no ligaments to stabilize the joint) - Coonrad-Morrey, Discovery - Biomet - considering his age there is limited indication for that procedure.
4. There is limited experience with total elbow allograft replacement with some rate of successes on one hand and high rate of complications on the
other hand. I personally would try this option as it is a reversible procedure and one could in a case of failure to replace it with prosthesis
Both last options the approach I would use is the posterior one depending on the skin condition and previous scars.
Very interesting decision making procedure case that should involve the patient will and fully risks consciousness of his and his surgeon...
Please let us know the f/u
Good luck
Shmuel Luboshitz
|
[
Ответить ]
|
Re: Болтающийся ложный сустав дистального плеча
Василий Мамонов 06 Апрель 2006, 13:42
|

Уважаемый Ильдар, в ноябре 2005 г. мы оперировали практически полностью идентичную ситуацию у больного с гемофилией, поставили модифицированный
эндопротез локтевого сустава типа Сиваша с хорошим результатом. На заводе-производителе (в нашем случае - завод ЦИТО, но есть еще ООО
Эндосервис т/ф (095) 221-06-18, 500-41-30, 513-54-32 ) можно заказать протез этого типа по индивидуальным размерам для восполнения дефицита длины плечевой кости. Сейчас есть и более дорогие коммерческие эндопротезы фирмы Stryker. Наиболее активно оперируют локоть в ЦИТО, у нас тоже есть
собственный небольшой опыт эндопротезирования локтевого сустава.
Мамонов Василий, отделение ортопедии для больных гемофилией ГНЦ РАМН.
|
[
Ответить ]
|
Re: Болтающийся ложный сустав дистального плеча
Виктор, ортопед-травматолог, 30 лет стажа 20 Апрель 2006, 21:28
|
Ув.Ильдар. Лечил по молодости раза два подобные случаи. Из личных амбиций и благодаря знаниям (или наперекор) полученным в Кургане из многих спициализаций и личных кантактов. Получил сращение с хорошей достаточной функцией. Следует опереться на орыт РНЦ "ВТО" г.Курган
|
[
Ответить ]
|
( Ответить )
|