вверх
отправить
поиск
админ
главная
Предыдущее
Весь тред
|
Re: Открытый переломо-вывих стопы.
Заднепровский Никита 20 Апрель 2006, 21:37
|
Здравствуйте, Алексей.
АС> Никита, а почему через неделю-то???, почему не через две или три? А
АС> может надо было сразу вместе с ПХО...
Я полностью согласен со всеми доводами.
Прооперировал на следующий день после того как увидел эту больную и взял ее на курацию. Почему не прооперировали другие? Вопрос не ко мне ...
АС> Кстати , а как Вы до этого случая лечили открытые переломы лодыжек???
АС> неужели трансартикулярной фиксцией?
Я встречал и такой подход. Будучи в Краевом центре при мне крестообразно проводили спицы через таранную кость после репозиции, лица с большим медицинским авторитетом ...
Повторюсь, я молодой специалист и моя задача научиться делать правильно и с пользой для пациента.
АС> Ответы на вопросы: 1. Дистракцию снять!
Сделано.
АС> 2. Конечно аппарат собран не лучшим образом. База на стопе очень низко
АС> расположена, есть даже сомнения: обе ли спицы проходят через пяточную
АС> кость?
Обе спицы проходят через кость. Снимок "срезан", поэтому не очень отчетливо видно.
АС> Откройте любое руководство по чрескостному остеосинтезу и
АС> найдете ответ на вопрос , как компоновать аппарат, возможно, даже
АС> удивитесь, когда узнаете , что есть компоновки
АС> вообще не фиксирующие г\ст сустав.
Ирония понятна... Но ведь при вывихе, разве можно
устранить вывих и удержать стопу, не включая ее саму в схему конструкции? Само собой блокируется голеностопный сустав.
>>> Больная категорически отказалась от проведения спиц
>>> с напайкой в условиях местной анестезии...
АС> Прочитал эту фразу несколько раз... И правильно сделала! А что, с
АС> наркозом проблемы?
Пациентка страдает хр.алкоголизмом. Доставила много хлопот анестезиологам во время первого обезболивания. И они четко дали понять, что проблемы травматолога в неспособности сразу
сделать все как надо, в их планы не входит.
АС> Слышали ли Вы о принципах хирургического лечения внутрисуставных
АС> переломов, таких как 1.анатомичная репозиция,
АС> 2.внутренняя (хотя и наружняя тоже может
АС> быть)фиксация отломков (а не
АС> сустава)по принципу "абсолютной" стабильности,
АС> 3.атравматичная техника
АС> 4 ранняя мобилизация сустава (а возможно и ранняя нагрузка, если
АС> вдавления хряща нет)???
Да это ж "папаша Мюллер" собственной персоной!
Активно пользуемся остеосинтезом по АО тоже.
--
С уважением, Заднепровский Никита
|
|
|
Ответить
|
Re: Открытый переломо-вывих стопы.
Алексей Семенистый 20 Апрель 2006, 22:14
|
> АС> удивитесь, когда узнаете , что есть компоновки
> АС> вообще не фиксирующие г\ст сустав.
> Ирония понятна... Но ведь при вывихе, разве можно
> устранить вывих и удержать стопу, не включая ее саму в схему
> конструкции? Само собой блокируется голеностопный сустав.
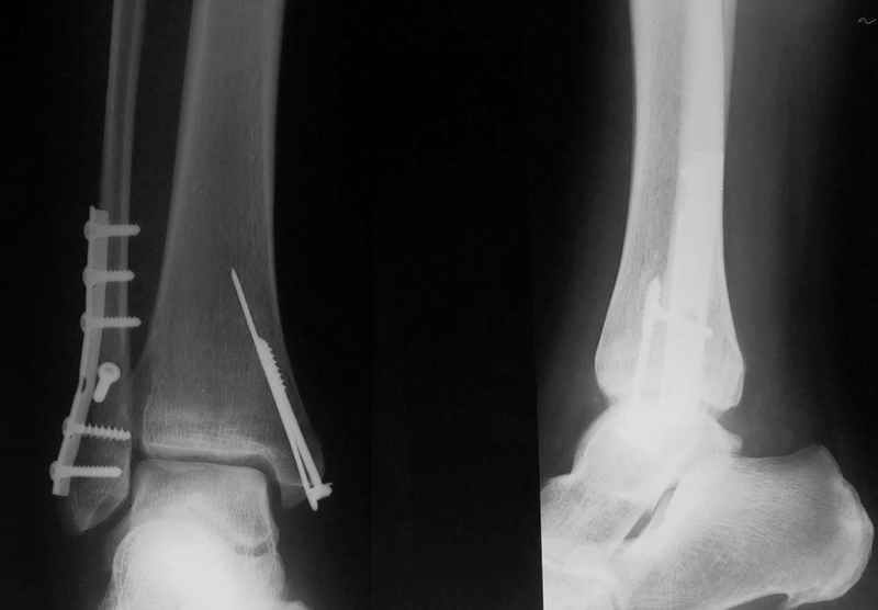
Стабильность г\ст сустава обеспечивается во-первых наружной лодыжкой (ключ), во-вторых задним краем б\б кости, в-третьих связками синдесмоза и межкостной мемраной, только в-четвертых медиальной лодыжкой (дельтовидной связкой. Это классика! А пяточной кости и плюсневых костей здесь нет! зачем их фиксировать? см. вложенный файл.

> Да это ж "папаша Мюллер" собственной персоной!
> Активно пользуемся остеосинтезом по АО тоже.
Так и пользуйтесь, раз знаете!
С уважением, А. Семенистый.
|
[
Ответить ]
|
Re: Открытый переломо-вывих стопы.
Отправитель: дмитрий бондарь 24 Апрель 2006, 02:41
|
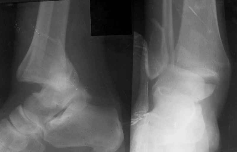
Коллега!Sorry,по-моему стоит провести винт через синдесмоз,а?Вроде бы контуры г\ст не совпадают,нет?Я дал бы компрессию на синдесмоз в положении полного разгиба стопы
С уважением Д.Б.
|
[
Ответить ]
|
Re: Открытый переломо-вывих стопы.
Отправитель: Алексей Семенистый 24 Апрель 2006, 11:40
|
>>Д.Б. - Коллега!Sorry,по-моему стоит провести винт через синдесмоз,а?Вроде бы контуры г\ст не совпадают,нет?Я дал бы компрессию на синдесмоз в положении полного разгиба стопы..
1. Винт никогда не стоит проводить "через" синдесмоз. Если и проводить, то выше синдесмоза.
2. Межберцовый винт должен быть только позиционным и должен удерживать синбесмоз, а не компремировать его
3 Контуры девственны: талокруральный угол, суперпозиция, медиальное пространство. Что не совпадает?
Вообще, этот больной через 2 месяца после травмы в футбол играл.
Pls.
|
[
Ответить ]
|
|
( Ответить )
|
|