вверх
отправить
поиск
админ
главная
Предыдущее
Весь тред
|
Re: Проксимальный и дистальный переломы tibia
Myles Clough 19 Май 2006, 16:58
|
The subject of valgus malalignment of the distal fragment in distal tibial fractures is one which I was asked to look into for the SIGN bibliography. There are a number of studies suggesting that malalignment is less common if the fibula is fixed. The following is taken from the SIGN bibliography section on PubMed searches on the subject.
a.. Search String - "Tibial Fractures"[MeSH]AND "Fracture Fixation, Internal"[MeSH] AND "Fibula"[MeSH]
a.. Kumar A, Charlebois SJ, Cain EL, Smith RA, Daniels AU, Crates JM. Effect of fibular plate fixation on rotational stability of simulated distal tibial fractures treated with intramedullary nailing. J Bone Joint Surg Am. 2003 Apr;85-A(4):604-8.Full Text Related Articles, Commentary by James Kellam
b.. Steinberg E. Effect of fibular plate fixation on rotational stability of simulated distal tibial fractures treated with intramedullary nailing. J Bone Joint Surg Am. 2004 Jan;86-A(1):185; author reply 185-6. No abstract available. Related
Articles, c..
Weber TG, Harrington RM, Henley MB, Tencer AF. The role of fibular fixation in combined fractures
of the tibia and fibula: a biomechanical investigation.
J Orthop Trauma. 1997 Apr;11(3):206-11. Related Articles, a.. Search String effect fixation fracture fibula
a.. Whorton AM, Henley MB.The role of fixation of the fibula in open fractures of the tibial shaft with fractures of the ipsilateral fibula: indications and outcomes.
Orthopedics. 1998 Oct;21(10):1101-5. Related Articles,
b.. Morrison KM, Ebraheim NA, Southworth SR, Sabin JJ, Jackson WT. Plating of the fibula. Its
potential value as an adjunct to external fixation of the tibia.
Clin Orthop Relat Res. 1991 May;(266):209-13.
|
|
|
Ответить
|
Re: Проксимальный и дистальный переломы tibia
Alexander Chelnokov 21 Май 2006, 22:27
|
Fixation of the fibula can help to prevent valgus it other options are not used. If alignment is reached by distractor and maintained by locking screws it is not necessary to touch the fibula unless its displacement affects the ankle joint involving the lateral border of the mortise.
Maybe the problem is of special interest for SIGN nail users because both distal holes of the nail are oval not round so may cause lack of stability in frontal plane in very low fractures. As a solution one may insert two locking screws into one hole.
|
[
Ответить ]
|
Re: Проксимальный и дистальный переломы tibia
Christian Veillette 21 Май 2006, 22:28
|
Here are two more recent articles about fibular fixation in distal tibia
fractures.
*1: * Egol KA, Weisz R, Hiebert R, Tejwani NC, Koval KJ, Sanders
RW.
Related
Articles,
Links [image:
Abstract]
Does
fibular plating improve alignment after intramedullary nailing of distal
metaphyseal tibia fractures?
J Orthop Trauma. 2006 Feb;20(2):94-103.
PMID: 16462561 [PubMed - in process]
*2: * Egol KA, Amirtharajah M, Tejwani NC, Capla EL, Koval
KJ.
Related
Articles,
Links [image:
Abstract]
Ankle
stress test for predicting the need for surgical fixation of isolated
fibular fractures.
J Bone Joint Surg Am. 2004 Nov;86-A(11):2393-8. Erratum in: J Bone Joint
Surg Am. 2005 Apr;87(4):857. J Bone Joint Surg Am. 2005 Jan;87-A(1):161.
Amirtharage, Mohana [corrected to Amirtharajah, Mohana].
PMID: 15523008 [PubMed - indexed for MEDLINE]
Regards
Christian
|
[
Ответить ]
|
Re: Проксимальный и дистальный переломы tibia
Отправитель: Alexander Chelnokov 21 Май 2006, 23:15
|
I assume the articles analyze mostly traditional nailing techniques, don't they?
There are some more tricks which allow not to plate the fibula and provide good alignment and stability. A small wire distractor can provide alignment and restore length of both tibia and
fibula. Angular stability of the tibia is provided by insertion of more than two conventional medial-lateral locking screws. To maintain the position of the fibula perQ insertion of a single position screw often could be enough. I bet the articles didn't analyze the options.
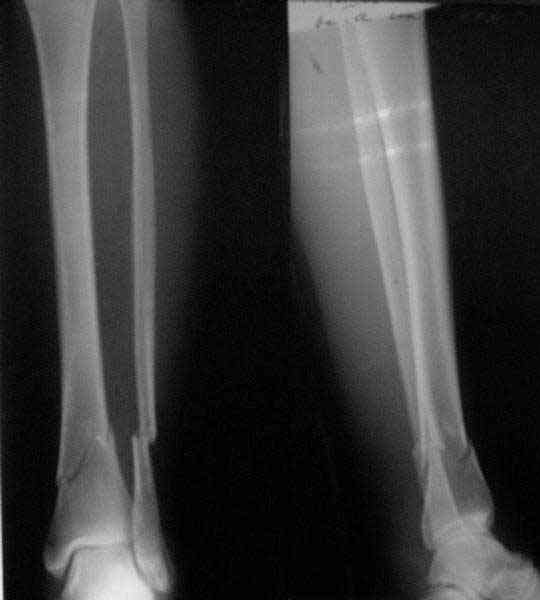
A typical case is attached, also an image with intra-op reduction obtained by a small wire distractor, in the moment of insertion a Poller wire in AP direction. Fixation by a SIGN nail. Despite the fibula was not fixed healing was obtained with the unchanged alignment.
|
[
Ответить ]
|
Re: Проксимальный и дистальный переломы tibia
Отправитель: T. Derek V. Cooke 21 Май 2006, 23:18
|
Alex:
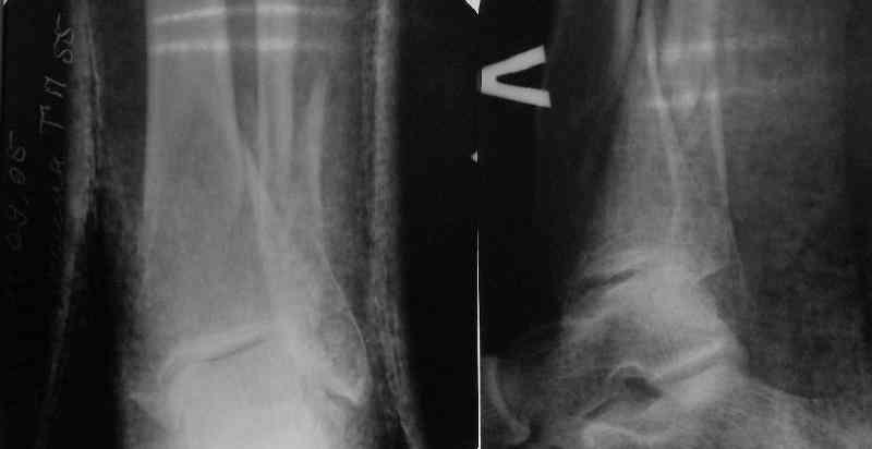
Very interesting application, but is the final position in a little distal varus with some fibula
distraction? Would that have been eliminated by fibula plating?
Derek
|
[
Ответить ]
|
Re: Проксимальный и дистальный переломы tibia
Отправитель: Alexander Chelnokov 21 Май 2006, 23:21
|
TDVC> Very interesting application, but is the final position in a
TDVC> little distal varus with some fibula distraction?
At least both the ankle mortise and tibial alignment look acceptable, don't they?
TDVC> Would that have been eliminated by fibula plating?
I am just trying to illustrate that prevention of 1)tibial valgus and 2)loss of reduction can be provided without fibular plating. Small changes of conventional nailing techniques allow to maintain reduction of the tibia reliably without adjunctive fibular stabilization.
In delayed cases acute length restoration performed only in the tibia may leave the fibula shortened thus change the mortise. So it is reasonable to restore length of both bones simultaneously by distractor and fix the fibula not with open reduction and plating but just by a single perQ screw. Example attached.

|
[
Ответить ]
|
Re: Проксимальный и дистальный переломы tibia
Отправитель: T. Derek V. Cooke 22 Май 2006, 22:10
|
Understand
Derek
|
[
Ответить ]
|
Re: Проксимальный и дистальный переломы tibia
Отправитель: K.R.Rajesh 21 Май 2006, 23:19
|
Alex, this is a fracture which can easily be managed in a cast.Why would you want to nail it?
Rajesh
Mr.K.R.Rajesh,MS,DNB,FRCS,FRCS(Orth)
Consultant Upper Limb Surgeon,
Division of Upper Limb & Joint Replacement Surgery.
Cosmopolitan Hospital,
Trivandrum,Kerala,
India
|
[
Ответить ]
|
Re: Проксимальный и дистальный переломы tibia
Отправитель: Alexander Chelnokov 21 Май 2006, 23:23
|
Even in case of full recovery with a cast it occurs much later than after nailing. In a cast such a patient hardly ever would have been walking with weight-bearing to 3-4 weeks. In our unit cast is never used for the tibia fractures in adults.
Also the particular patient had unstable injury of the pelvis and open fracture of the humerus.
|
[
Ответить ]
|
|
( Ответить )
|
|