AOTRAUMA.ORG Центр Илизарова  

Ортопедия и травматология Общие вопросы/General questions Help Информационные технологии в медицине
 вверх
 отправить
 поиск
 админ
 главная


Повторная ревизия тазобедренного сустава?
Ортопедия и травматология Отправлено Юрий Кузнецов 10 Июль 2006, 16:57
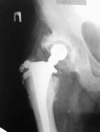
Уважаемые коллеги! Прошу Вашего совета. Больной 56л, 2.5 года назад был установлен бесцементный эндопротез.
Через 1.5 года произошло асептическое расшатывание ножи, ревизия, установлен протез с цементной фиксацией, через 1 год после этого открылся свищ. На предоставленных в архиве рентгенограммах контрастная фистулография. Распространение контраста заметно ограничено. У больного сахарный диабет II типа. Какую тактику вы бы избрали?

<  |  >

 

  • Сообщения о Ортопедия и травматология
  • Также Юрий Кузнецов
  • Связаться с автором
  • Ответить

    Re: Повторная ревизия тазобедренного сустава?
    Anton Vakulenko 10 Июль 2006, 21:15
    Уважаемый коллега! В этом случае возможна одна единственная тактика.
    Необходимо как можно скорее удалить имплантат и выполнить радикальный дебридмент (обязательно нужно удалить весь цемент из канала). После
    этого можно поступить по разному: можно сделать двухэтапную замену, а можно ограничиться артропластикой Girldlestone. В любом случае требуется длительная (4-6 недель) а/б терапия.

    И еще: хотя это уже и не имеет значения, но "асептическая" нестабильность безцементного имплантата через 1,5 года - это редкое
    явление. Скорее всего, у больного имела место именно септическая нестабильность (low grade infection),которая и привела к формированию
    свища после ревизии...

    С уважением,
    А. В. Вакуленко
    Донецкий НИИ травматологии и ортопедии, Украина
    [ Ответить ]

    Re: Повторная ревизия тазобедренного сустава?
    Волошин Виктор Парфентьевич 11 Июль 2006, 01:33
    Активную. Иммунный статус, посев, санация с поисками текстиломы,антисептики,а/биотики, имм. корректоры. Эп, на первый взгляд, можно оставить дабы не выдалбливать цемент. Но не исключено, что потом прийдется к этой теме вернуться со спейсером.
    ВВП, МОНИКИ
    [ Ответить ]

    • Re: Повторная ревизия тазобедренного сустава?
      Отправитель: Anton Vakulenko 11 Июль 2006, 20:45
      Вряд-ли такая тактика у 56-летнего пациента со свищем в зоне протеза может называться "активной" :). Это скорее пассивная выжидательная
      тактика, которая, как показывает не только наш скромный, но и мировой опыт, в большинстве случаев обречена на провал. Даже если свищ под
      влиянием санации, "иммунокорректоров" или а/б закроется (свищам вообще свойственно периодически открываться и закрываться), то не факт, что больной будет доволен исходом и не будет жаловаться на боль и интоксикацию.

      С уважением,
      А. В. Вакуленко
      Клиника эндопротезирования суставов

      [ Ответить ]
      • Re: Повторная ревизия тазобедренного сустава?
        Отправитель: Виктор Парфентьевич Волошин 13 Июль 2006, 02:53
        Признаков нестабильности эндопротеза нет, при санации возможны интраоперационные "находки" (увы бывает, что и тогда нужно выдалбливать прочный цемент?). По сравнению со ВСЕМ ЧЕЛОВЕЧЕСТВОМ наш опыт тоже достаточно скромен (56 инфицированных эндопротезов), но за длительный срок, когда разные были подходы и разное отношение к иммунитету, антибиотикам и к самому понятию санация. И одномоментно при инфицированной нестабильности доводилось заменять и спейсеры использовать (кстати из 18 больных со спейсерами у одного более года так и не удается перейти ко второму этапу, несмотря на повторные аналогичные вмешательства). Есть убедительные основания считаться с предложенной тактикой, хотя гарантировать однозначно благоприятный исход нельзя, она скорее не пассивно-выжидательная, а разумно активная :-)
        ВВП, МОНИКИ

        [ Ответить ]
        • Re: Повторная ревизия тазобедренного сустава?
          Отправитель: Anton Vakulenko 13 Июль 2006, 20:20
          > Признаков нестабильности эндопротеза нет,

          На мой взгляд удаление протеза показано не из-за нестабильности, а из-за трудностей санации инфицированных мягких тканей при наличии рядом с ними отличного "укрытия" для микрофлоры (эндопротеза).

          > при санации возможны интраоперационные "находки" (увы, бывает, что и
          > тогда нужно выдалбливать прочный цемент). По сравнению со ВСЕМ
          > ЧЕЛОВЕЧЕСТВОМ наш опыт тоже достаточно скромен (56 инфицированных
          > эндопротезов),


          Наш опыт еще более скромен (около 20) ;)

          > длительный срок, когда разные были подходы и разное отношение к
          > иммунитету, антибиотикам и к самому понятию санация. И одномоментно
          > при инфицированной нестабильности доводилось заменять и спейсеры
          > использовать (кстати из 18 больных со спейсерами у одного более года
          > так и не удается перейти ко второму этапу, несмотря на повторные
          > аналогичные вмешательства). Есть убедительные основания считаться с
          > предложенной тактикой, хотя гарантировать однозначно благоприятный
          > исход нельзя, она скорее не пассивно-выжидательная, а разумно
          > активная :-)


          Абсолютно согласен, что гарантировать в подобной ситуации нельзя ничего вне зависимости от выбранной тактики лечения :(
          Мое отрицательное мнение о санациях основано на собственном горьком опыте (из восьми санаций - удача только в одной) и на данных литературы.
          Причем по зарубежным данным санации наиболее успешны в ранние сроки, а тут время уже упущено. Очень много зависит и от возбудителя, и от грамотности проведения а/б терапии.

          В любом случае, по данному конкретному случаю сложно что-то советовать, так как коллега Кузнецов предоставил слишком мало исходной информации, качество снимков также неважное...

          С уважением,
          А. В. Вакуленко
          Клиника эндопротезирования суставов

          [ Ответить ]
          • Re: Повторная ревизия тазобедренного сустава?
            Отправитель: Кузнецов Ю. 13 Июль 2006, 20:37
            Уважаемый Антон Вакуленко!
            Какая именно информация необходима дополнительно?
            Постараюсь предоставить, насколько это возможно (в условиях районной больницы). Качество снимков это вопрос оцифровки, если нужно их можно переснять.Просто хотелось бы уточнить, что еще кроме ориентации компонентов эндопротеза, признаков нестабильности, степени распространения контраста там можно разглядеть?
            С уважением,
            Кузнецов Ю.

            [ Ответить ]
            • Re: Повторная ревизия тазобедренного сустава?
              Отправитель: Anton Vakulenko 13 Июль 2006, 23:08
              Уважаемый коллега,
              прежде всего, интересно узнать жалобы пациента, его функциональный статус, профессию, а также пожелания по поводу улучшения своего теперешнего состояния.

              Какой возбудитель обнаружен в отделяемом свища, к чему он чувствителен?
              Каков статус мягких тканей в области свища (хорошо бы увидеть фото)?
              Насколько выражена интоксикация (лихорадка, анемия, сдвиг формулы влево, СОЭ, СРБ)?
              По поводу снимков: было бы хорошо покрупнее заснять проксимальный отдел бедра и впадину, чтобы можно было оценить структуру кости и наличие
              признаков нестабильности.

              --
              С уважением,
              А. В. Вакуленко
              Клиника эндопротезирования суставов

              [ Ответить ]
    Re: Повторная ревизия тазобедренного сустава?
    Виктор Парфентьевич Волошин 14 Июль 2006, 02:06
    Aнтон - я казав i казати буду - Спартак це не команда :-)
    Юрий, думается Вы выберете правильное решение, не забудьте написать, чтио при санации :-)
    ВВП, МОНИКИ
    [ Ответить ]


    ( Ответить )

    Powered by Zope  Squishdot Powered MedLink
    Посетитель: 0392458
      "По форме правильно, а по существу - издевательство" В.И.Ленин
    ©2001-2019Orthoforum Coordinator.
    [ Главная | Отправить сообщение | Поиск | Админ ]