ВХОД ДЛЯ ПАЦИЕНТОВ
вверх
поиск
админ
главная
исходное
последующие
|
Re: Открытый вн.суставной перелом голени
послал Попов Виктор 26 Июль 2006, 15:07
|
Уважаемый Никита!
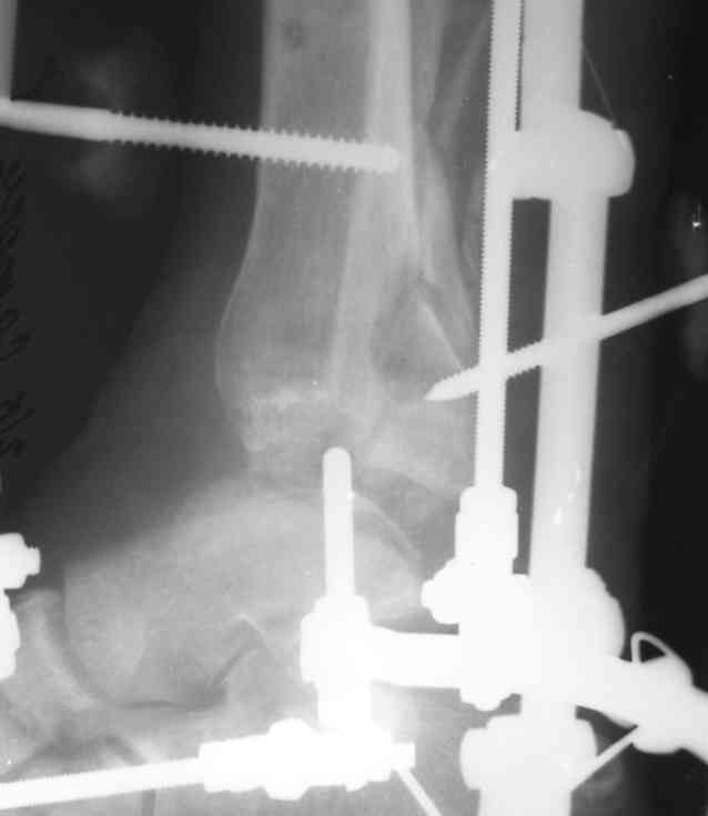
> Срепонировать суставную поверхность мне не удалось. Только зря прошил ткани, а отломки остались в прежней позиции. Так и подмывало провести спицу через ахилл ... или пойти открыто задним доступом и притянуть винтом. Но смущает один момент: на чем будет держаться резьбовая часть винта, если передная поверхность разбита в хлам? Винт будеть елозить и не даст должной копрессии. Есть ли резон, при нынешнем состоянии раны, пойти на открытую репозицию заднего отдела суставной поверхности?
Задний край достаточно большой и поставить его на место следовало бы. Подтянуть задний край можно тонким стержнем Шанца диаметром 3-3,5-4 мм с резьбой на хвосте, вкрученным в задний край спереди через канал большего диаметра. Вариант этим же стержнем, но из задне-латерального прокола. Отправляю пример.

После сопастовления заднего края постепенная компрессия зоны перелома.
С уважением Виктор!
|
| Послать ответ |
Обратите внимание: Поля с жирными названиями обязательны.
Старайтесь отвечать в рамках обсуждаемой темы, а не начинать новые обсуждения.
Указывайте адекватную тему сообщения, чтобы было ясно, о чем оно.
Не послайте сообщений не по теме (оффтопик), раздраженных, грубых или обидных комментариев. Здесь это неуместно.
|