Ответить
|
Re: Открытый вн.суставной перелом голени
Alexander Chelnokov 15 Июль 2006, 22:48
|
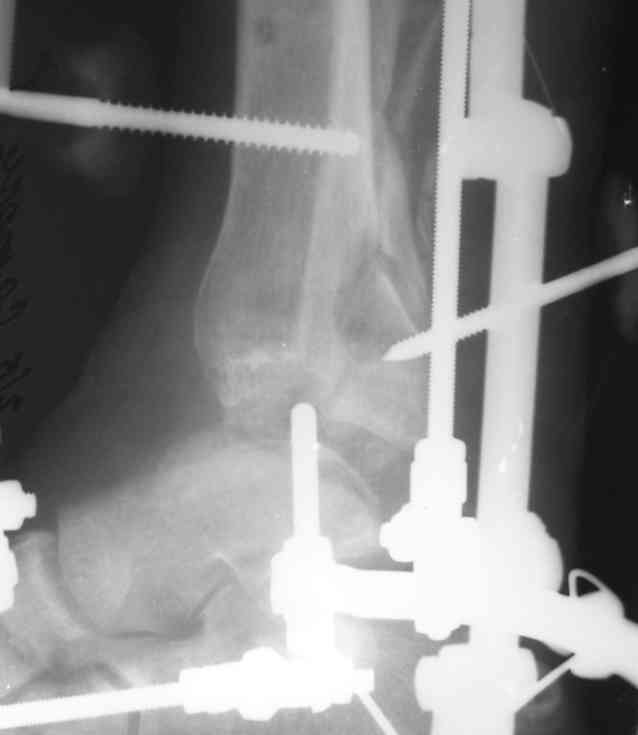
НЗ> Пять дней назад поступил молодой человек с DS: открытый
[...]
НЗ> перелом м/берцовой кости со смещением. Нагноение раны.
А помощь при поступлении в каком объеме?
НЗ> Наложен АВФ,
До или после нагноения?
НЗ> на снимке результат сразу после операции и устранения "холостого
НЗ> хода". Ведется постепенная дистракция. Этапных снимков не
НЗ> проводил, т.к. по отломкам в ране можно ориентироваться в степени
Каков смысл этих действий? Через 5 дней после травмы длина легко восстанавливается одномоментно. Для лечения нагноения лучше хорошо обездвижить фрагменты - после обработки и удаления нежизнеспособных тканей.
НЗ> Получает а/б по результату посева и антибиотикограммы отделяемого
НЗ> из раны.
Нет смысла в системных антибиотиках - проблема локальная, надо очаг санировать местно. Мыть любой водой, убеждаясь, что отмывается из всех уголков, что затеков нет.
НЗ> Учитывая общеизвестный "дефицит" мягких тканей голени, смущает
НЗ> размер кожного дефекта. Отек и воспаление значительно
НЗ> меньше. Купированы явления лимфангоита. Температура в норме.
Как и должно быть.
НЗ> Хотелось бы услышать мнение о дальнейшей тактике ведения
НЗ> такого больного. Чем "прикрыть" рану? Дожидаться ли роста
Надо сначала убрать мертвые куски кости, которые видно на фото, потом истинный размер дефекта обозначится. После этого, возможно, получится сделать vessel loop для постепенного сведения краев. Или пойти на укорочение с гофрированием, в общем, вариант закрытия пока рано обсуждать.
НЗ> Что сделано не так (требуется ли перекомпоновка АВФ для более
Да тут пока не до репозиции. Интересно, голеностопный сустав удастся ли сохранить. Как гнойный процесс купируется, наверно, есть смысл фиксировать дистальный эпиметафиз в отдельной опоре, потом стопу пораньше освободить.
|
[
Ответить ]
|
Re: Открытый вн.суставной перелом голени
Отправитель: Никита Заднепровский 16 Июль 2006, 01:13
|
AC> А помощь при поступлении в каком объеме?
Хирургом в приемном покое: ПХО раны, удаление свободных мелких фрагментов б.б. кости, ушил!!! напрочь рану с резиновым выпускником. Скелетное вытяжение за пяточную кость на шине Белера. За выходные развилось воспаление с нагноением, резкий отек и болевой с-м.
НЗ>> Наложен АВФ,
AC> До или после нагноения?
В понедельник - подобрал аппарат и на стерилизацию. Рану раскрыл, отмыл, но очень осторожно в связи с обильным геморрагическим отделяемым + серозно-гнойным. На следующий день - проведение спиц и монтаж АВФ. Сделал бы все сразу в один день, но не получилось.
AC> Каков смысл этих действий? Через 5 дней после травмы длина легко
AC> восстанавливается одномоментно.
Рана начала "расползаться" при дистракции и кровить со дна. Тогда решил остановиться и продолжить уже дистракцию дискретно в палате.
Теперь думаю, что надо было действовать ешительней ...
AC> из всех уголков, что затеков нет.
Была мысль раздренировать через латеральную сторону, но не стал. Дефект большой - вроде бы и так санация адекватная. Пользуемся раствором бетадина. Или все-же контраппертурный дренаж будет не лишним?
AC> Надо сначала убрать мертвые куски кости, которые видно на фото, потом
На фото край проксимального отломка б.б. кости без надкостницы. Резецировать? Свободно лежащих фрагментов в пределах раны нет.
AC> фиксировать дистальный эпиметафиз в отдельной опоре, потом стопу
AC> пораньше освободить.
Думаю "обжать" эпиметафиз тремя спицами с напайками , так как фрагмент раздроблен. Может какой другой вариант есть?
Спасибо за помощь!
С уважением, Заднепровский Никита Николаевич
|
[
Ответить ]
|
Re: Открытый вн.суставной перелом голени
Отправитель: Alexander Chelnokov 17 Февраль 2007, 15:45
|
НЗ> решил остановиться и продолжить уже дистракцию дискретно в палате.
НЗ> Теперь думаю, что надо было действовать решительней ...
Наверно, придется еще возвращаться в операционную или перевязочную для санации раны.
НЗ> Пользуемся раствором бетадина. Или все-же контраппертурный
НЗ> дренаж будет не лишним?
Да вряд ли он нужен, похоже, все можно контролировать через имеющуюся рану.
AC>> Надо сначала убрать мертвые куски кости, которые видно на фото, потом
НЗ> На фото край проксимального отломка б.б. кости без
НЗ> надкостницы. Резецировать? Свободно лежащих фрагментов в
Участок кости без надкостинцы, контактировавший с гноем и воздухом несколько дней, вряд ли жизнеспособен.
НЗ> Думаю "обжать" эпиметафиз тремя спицами с напайками , так как
НЗ> фрагмент раздроблен. Может какой другой вариант есть?
Можно и несколько спиц с напайками, можно спиц меньше, но дополнить их компрессирующим винтом иди двумя в переднезаднем направлении... Это непринципиально. Надо некротические ткани из раны убирать, скальпелем и ферментами чистить, закрывать кожей, замещать дефект кости. В общем,
начать и кончить.
|
[
Ответить ]
|
|
Re: Открытый вн.суставной перелом голени
Савранский Александр 16 Июль 2006, 01:15
|
Уважаемый Никита!
Во многом согласен с мнением Александра Челнокова.
Тем не менее местную антибиотикотерапию надо сочетать с общей.Добавить промывное дренирование,иммунотерапию-например иммунофаном.По возможности не растягивать слишком отломки-это дополнительно ухудшает трофику тканей.
В гнойной травме в Одессе для временного закрытия кожного дефекта с наличием воспаления применяют немецкие сетки-Sofratul,Branolind.Они содержат антибиотики,гигроскопичны.
С уважением,
Александр Савранский.
|
[
Ответить ]
|
Re: Открытый вн.суставной перелом голени
Отправитель: Alexander Chelnokov 16 Июль 2006, 01:44
|
Приветствую, Александр
> Тем не менее местную антибиотикотерапию надо сочетать с общей.
Местная антибиотикотерапия - это что подразумевается? В приципе, цементные бусы с антибиотиком после хорошей обработки тут вполне бы подошли, наряду с герметизацией полости и вакуумированием. Не уверен, что это доступно на месте. В общей антиьиотикотерапии смысла здесь уже нет, поскольку в ране очевидны некротические ткани - в организме все антибиотиками можно "пропитать", кроме этих вот некровоснабжаемых участков, которые и представляют проблему.
> Добавить промывное дренирование,
Это другое дело. В общем, нужна хорошая механическая очистка раны.
> иммунотерапию-например иммунофаном.
Вы готовы нас засыпать ссылками на результаты двойных слепых исследований, подтверждающих пользу от этого снадобья в такой ситуации?
> По возможности не растягивать слишком отломки-это дополнительно
> ухудшает трофику тканей.
Слишком - это всегда плохо ;-)
Здесь можно ограничиться восстановлением дилны до исходной, или на 0,5-1 см перерастянуть для увеличения стабильности и уменьшения полости.
> В гнойной травме в Одессе для временного закрытия кожного дефекта с
> наличием воспаления применяют немецкие сетки-Sofratul, Branolind. Они
Это, наверно, больше актуально для ожогов.
|
[
Ответить ]
|
Re: Открытый вн.суставной перелом голени
Отправитель: Савранский Александр 16 Июль 2006, 13:51
|
Спасибо за обстоятельный комментарий,Александр Николаевич!
В раннем периоде системное применение антибиотиков,на мой взгляд,позволяет локализовать инфекционный очаг как раз в месте некроза.Является профилактикой остеомиелита.Возникновение гнойного процесса уже само по себе говорит о слабости иммунного звена,а уж длительно протекающий воспалительный процесс истощает организм однозначно.Наряду с местным лечением,стабилизацией перелома,провожу общеукрепляющее лечение-витамины,десенсибилизирующие,иммунокорректоры(иммунофан,пробиолин),из антибиотиков при открытом переломе-зинацеф или цефтриаксон обязательно,метрогил.Сетки не пропагандирую,но эффект отграничения от окружающей среды есть(как и при ожогах).
С уважением,
Александр Савранский.
|
[
Ответить ]
|
Re: Открытый вн.суставной перелом голени
Отправитель: Alexaander Chelnokov 22 Июль 2006, 13:26
|
> В раннем периоде системное применение антибиотиков,на мой
> взгляд,позволяет локализовать инфекционный очаг как раз в месте
> некроза.Является профилактикой остеомиелита.
К сожалению, это благие пожелания. Уже лет 15 как показано, что применение антибиотиков дольше перваых суток не ведет к снижению числа нагноений. Как пример см. реферат:
==========================================
Arch Surg. 1988 Mar;123(3):333-9.
Duration of preventive antibiotic administration for open extremity fractures.
Dellinger EP, Caplan ES, Weaver LD, Wertz MJ, Droppert BM, Hoyt N, Brumback R,
Burgess A, Poka A, Benirschke SK, et al.
Department of Surgery, University of Washington, Seattle 98104.
The necessary duration of antibiotic administration after open fracture has not
been established. In a double-blind prospective trial we randomized 248 patients with open fractures to receive one or five days of cefonicid sodium therapy or five days of cefamandole nafate therapy as part of the initial treatment. Rates of fracture-associated infections in the three groups were ten (13%) of 79, ten (12%) of 85, and 11 (13%) of 84, respectively. The 95% confidence limit for the difference in infection rates between the one-day group and the combined
five-day groups was 0% to 8.3%. The actual difference was 0.2%. A brief course of antibiotic administration is not inferior to a prolonged course of antibiotics for prevention of postoperative fracture-site infections.
==========================================
> Возникновение гнойного процесса уже само по себе говорит о слабости
> иммунного звена,
А не наоборот? О "слабости иммунного звена" говорила бы ареактивность, а нагноение - это как раз нормальная реакция иммунной системы на инфекцию, которая развивается не на фоне полного благополучия, а в поврежденных и плохо кровоснабжаемых тканях.
> Наряду с местным лечением,стабилизацией перелома,провожу
> общеукрепляющее лечение - витамины, десенсибилизирующие,
> иммунокорректоры (иммунофан, пробиолин),
А есть доказательства пользы этих воздействий при открытых переломах? Может, пора прекращать выбрасывать деньги на ветер, продолжая следовать архаичным традициям? Это ведь может и дезориентировать врача, который полагается на сомнительные меры вместо того, к примеру,
чтобы сделать повторную хирургическую обработку.
> Сетки не пропагандирую,но эффект отграничения от окружающей среды
> есть(как и при ожогах).
В данном случае отграничение от окружающей среды вряд ли решит какие-то проблемы, микроб и среда для него уже давно внутри.
|
[
Ответить ]
|
Re: Открытый вн.суставной перелом голени
Отправитель: Савранский Александр 23 Июль 2006, 00:36
|
Спасибо за предоставленную информацию!
В моей больнице подобного мнения придерживается еще один травматолог.
Возможно у Вас есть свежая информация об антибиотикопрофилактике.
С ув.Александр Савранский.
|
[
Ответить ]
|
Re: Открытый вн.суставной перелом голени
Отправитель: Alexander Chelnokov 23 Июль 2006, 12:49
|
СА> В моей больнице подобного мнения придерживается еще один травматолог.
В смысле, в семье не без урода? :-)
А вообще, это не тот случай, когда надо полагаться на чье-то мнение - по этой теме уже существует достоверное знание, отраженное в большом количестве публикаций.
СА> Возможно у Вас есть свежая информация об антибиотикопрофилактике.
Благодаря Internet у всех нас равные воможности раздобыть свежую информацию. Например, можно зайти на google.com, набрать 'antibiotic prophylaxis surgery', и получить искомое. Например,
www.east.org/tpg/openfrac.pdf
http://www.aaos.org/wordhtml/papers/advistmt/1027.htm
http://www.montrosehospital.com/docspot/pdf/SIPAdvisoryStatement.pdf
Кстати, и поиск на Яндексе (http://ya.ru)
по "антибиотикопрофилактика в хирургии" тоже не безрезультатен, например, находится переведенная Николаем Прихненко (он ведет сайт http://odoc.ru) со товарищи французская статья
"Рекомендации по проведению антибиотикопрофилактики в ортопедической хирургии".
На http://www.antibiotic.ru/index.php?article=947 есть "Основные принципы антибиотикопрофилактики в хирургии: рекомендации Рабочей группы по разработке руководств по предупреждению хирургической инфекции".
На этом же сайте статья "Профилактическое применение антибиотиков в хирургии" Э.П. Деллинджер
http://www.antibiotic.ru/cmac/2001_3_3/260.htm
Ну и т.д. и т.п.
|
[
Ответить ]
|
Re: Открытый вн.суставной перелом голени
Отправитель: Савранский Александр 24 Июль 2006, 01:46
|
Большое спасибо за ссылки!
Будем изучать.
С уважением Савранский Александр.
|
[
Ответить ]
|
|
Re: Открытый вн.суставной перелом голени
дмитрий бондарь 16 Июль 2006, 01:49
|
здравствуйте Коллеги!Мне кажется,что стоило бы
1.Максимально точно репонировать перелом с целью уменьшить свободное пространство.Этим же мы создадим условия для консолидации.
2.усилить раму аппарата и добавить спиц в дистальный отлолмок,а может быть и в проксимальный(создать перекрест).Этим мы добъемся большей стабильности.
3.В подобных случаях использовал мазь "Левосин" или что-то аналогичное.Эффект мне понравился.
4.Не факт,Что кость мертвая.в 2 случаях из 5 подобных,после купирования воспаления,сверлом 2мм насверливал много отверстий по появления кровотечения из кости.Через 7-12 дней появлялись грануляции,пересадка кожи.
5.Возможно стоит подумать несвободной пластике.
Я.Золтан в рукводстве по кожной пластике Указывает на возможность "биологической элиминации"ран.(сам не пробовал,только читал)
6.Может быть стоит установить спейсер?(бусы)в дефект?Кто-нибудь выполнял подобное?
Удачи
С уважением Д.Б.
|
[
Ответить ]
|
Re: Открытый вн.суставной перелом голени
Отправитель: Никита Заднепровский 16 Июль 2006, 15:25
|
дб> 1.Максимально точно репонировать перелом с целью
дб> уменьшить свободное пространство.Этим же мы создадим
дб> условия для консолидации.
Нет, видимо придется "срубить" фрагмент медиального угла отломка, т.к. по снимку есть ощущение дефекта костной массы с латеральной стороны. Тем самым добъемся "паритета".
дб> 2.усилить раму аппарата и добавить спиц в
По завершении репонирования и санации в операционной, так и сделаю.
дб> 3.В подобных случаях использовал мазь "Левосин" или
дб> что-то аналогичное.Эффект мне понравился.
Есть мазь "Ируксол". Содержит протеолитические ферменты + антибиотик. Пользовался при очищении гнойных ран, вроде бы "работает". У нас аптека готовит некролитическую мазь, вот ее и используем на перевязке.
дб> 4.Не факт,Что кость мертвая.в 2 случаях из 5
дб> подобных,после купирования воспаления,сверлом 2мм
дб> насверливал много отверстий по появления кровотечения из
дб> кости.Через 7-12 дней появлялись грануляции,пересадка
дб> кожи.
Если не ошибаюсь, прием называется - "туннелизация по Беку".
дб> 5.Возможно стоит подумать несвободной пластике.
После купирования гнойного процесса.
дб> 6.Может быть стоит установить спейсер?(бусы)в
дб> дефект?Кто-нибудь выполнял подобное?
Да чувствую давно пора внедрить это дело. В предыдущих темах док. Кульджанов уже описывал подобное, и статья по добавлению антибиотиков (каких и сколько) тоже есть. Одним глазком бы увидеть как самому бусы на нить приспособить и
вперед...
С уважением, Заднепровский Никита Николаевич
|
[
Ответить ]
|
Re: Открытый вн.суставной перелом голени
Отправитель: Anton Kovalenko 19 Июль 2006, 10:04
|
Прошу прощения за оффтоп, но у нас уже давно говорят что мазь снята с производства, и в родной отчизне ее не достать. Если это не правда подскажите, кто постовляет ее в Россию, будем искать в аптеках.
Спасибо.
|
[
Ответить ]
|
Re: Открытый вн.суставной перелом голени
Отправитель: Никита Заднепровский 19 Июль 2006, 10:10
|
Как быстро летит время ... Пробил у нас по аптекам. Да, мазь выпускалась немецкой фирмой. Затем совместное производство с Хорватией с заменой коммерческого названия, но год назад выпуск препарата прекращен. Вы правы. Еще год назад я довольно успешно лечил молодую девушку с общирнейшей посттравматической отслойкой кожи бедра, используя именно эту мазь. Еще прошло несколько пациентов подряд с нагноительными проблемами, кто мог себе позволить растраты на собственное здоровье ;-) Эффект от применения - приятный. Грустно, хорошие впечатления ЕЩЕ остались, а препарата УЖЕ нет ...
Прошу коллег извинить за некорректное информирование.
С уважением, Заднепровский Никита Николаевич
|
[
Ответить ]
|
|
Re: Открытый вн.суставной перелом голени
Waldemar Kindswater 16 Июль 2006, 15:22
|
Уважаемый Никита Николаевич,
При виде снимков всплавают нехорошие воспоминания... Подобного больного мы лечили 4 месяца. Прикравали рану вакуумной повязкой. Еженедельные некректомии. Я думаю что только при помощи вакуума нам удалось „вытянуть“ грануляции. Очень рекомендую.
У другого подобного больного пришлось ампутировать...
С уважением
Вальдемар.
|
[
Ответить ]
|
Re: Открытый вн.суставной перелом голени
Отправитель: Никита Заднепровский 18 Июль 2006, 09:44
|
Здравствуйте, kw.
А возможно ли сделать вакуумную повязку из подручных
средств? Полагаю, это было бы интересно и полезно не
только мне.
С уважением, Заднепровский Никита Николаевич
|
[
Ответить ]
|
Re: Открытый вн.суставной перелом голени
Отправитель: Waldemar Kindswater 18 Июль 2006, 10:04
|
Уважаемый Никита Николаевич,
Я даже не знаю что и посоветовать. Кассы пока оплачивают это лечение, поэтому мы закупаемся в фирме http://www.kci.de/.
Проблема в стерильных губках. Их самому не сделать. Вакуум можно создать редоновой бутылкой. Приемущество пумпы состоит в возможности дозировки давления. Если давление слишком большое, то под губкой могут возникнуть некрозы. Условия для VAC - удаление всех некрозов и костных обломков.
Лечение очень дорогое, но эффективное. Публикаций по этому поводу достаточно.
Удачи
Вальдемар.
|
[
Ответить ]
|
Re: Открытый вн.суставной перелом голени
Отправитель: Alexander Chelnokov 19 Июль 2006, 11:19
|
k> Проблема в стерильных губках. Их самому не сделать. Вакуум можно создать.
А нельзя женские прокладки или тампаксы какие вместо губок использовать?
|
[
Ответить ]
|
Re: Открытый вн.суставной перелом голени
Отправитель: Waldemar Kindswater 19 Июль 2006, 11:31
|
Уважаемый Александер,
Идея интересна. Я не знаю на сколько они стерильны. Попробовать можно. У нас эксперименты на людях запрещены... (шутка)
Как только ввели эту методику мы то тоже немного импровизировали. Главная проблема - герметичность. Я тогда обкладывал рану колостомной мазью, получалось неплохо. Фирмы сейчас имеют все, только плати.
Теоретически, если в россии это не распрастранено, то можно этим заняться и изготовлять свой материалы, обеспечив тем самым безоблачную пенсию...
Удачи
Вальдемар
|
[
Ответить ]
|
|
Re: Открытый вн.суставной перелом голени
дмитрий бондарь 16 Июль 2006, 15:35
|
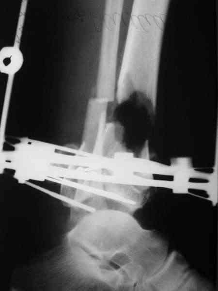
здравствуйте коллеги!имеется ввиду не туннелизация по Беку,а насверливание кортикала на глубину 1-2-3мм(до появления крови)подобный прием использовался при ожогах свода черепа 4 ст.Против Ируксола не имею ничего против,но лично мне Левомиколь нравится больше(он на водорастворимой основе).Стабилизаию перелома,думаю,надо сделать пораньше.Насчет резекции не знаю,может сделать так(см приложение)
Удачи.Суважением Д.Б.
Doc1.doc
212KB (217600 bytes)
|
[
Ответить ]
|
Re: Открытый вн.суставной перелом голени
Отправитель: Alexander Chelnokov 16 Июль 2006, 17:58
|
Приветствую,
> здравствуйте коллеги!имеется ввиду не туннелизация по Беку,а
> насверливание кортикала на глубину 1-2-3мм(до появления крови)подобный
По тому, как выглядят фрагменты в ране, на подобное я бы не стал скоро рассчитывать. Этак можно годами ждать реваскуляризации. И надеяться на авось. А можно взять все под свой контроль - все мертвое и сомнительно жизнеспособное иссечь, и заживлять нормально кровоснабжаемые ткани. с последующим замещением дефекта удлинением. Понятно, что это таксть "программная установка", а не конкретный и точный рецепт.
> прием использовался при ожогах свода черепа 4 ст.Против Ируксола не
> имею ничего против,но лично мне Левомиколь нравится больше(он на
Оба хороши, сначала ируксол для некролиза, потом левомеколь.
>Стабилизаию перелома,думаю,надо сделать пораньше.
Так вроде уже сделана?
Насчет резекции не знаю,может сделать так(см приложение)
Там схемки замещения краевого дефекта по Илизарову. Если рассчитывать на такие операции в этой ране, то они будут неактуальными еще многие месяцы. Дела пойдут быстрее при более активной и радикальной санации с формированием сегментарного, а не краевого дефекта.
|
[
Ответить ]
|
|
Re: Открытый вн.суставной перелом голени
Каминский Андрей 16 Июль 2006, 23:39
|
Да, поломался человечек качественно.
Кость в ране, думаю, мертвая и подлежит резекции. Кстати, если будете её кусачками крошить, то и живую кость найдете точнее, а резекция выйдет экономная. В настоящее время рану можно заполнить мазями (как коллеги и предлагали, типа Левомеколь), есть маленькая хитрость. Тюбик в горячей воде из под крана держите несколько минут, мазь принимает консистенцию водички и затекает во все кармашки. Внешний вид дистального отдела голени пока не пугает и 3 спицы в него провести вполне оправдано, все их на отдельную опору. Фиксацию сустава сохранить и можно даже чуть его растянуть. После этого можно сделать такой финт - поставить шарниры и создать варусную (варусно-рекурвационнную) деформацию в области перелома. Рана значительно уменьшится. А после определения жизнеспособности кожи и ее подлежащих тканей можно попробовать провести гидропрепаровку кожи новокаином, отслоить ее скальпелем и попробовать ушить. (Опыт такой был получилось.) А вот потом, когда кожа зарастет, постепенно устранять угловую деформацию и добиваться сращения.
Теперь о причинах возникновения дефекта. Да, наверно, врач приемника неадекватно рану помыл, да дренировал плоховато, но, думаю, причина возникновения дефекта в неустраненном смещении отломков. Тот, что сейчас в ране, просто давил на область шва, а ткани (и без того с нарушеной трофикой) просто ушли в некроз. Думаю что приходилось видеть при закрытых переломах, как над остомком фликтены вздуваются. Вот и выходит, что если бы скелетку правильно сладили и смещение устранили все моглобы по другой схеме развиваться.
По рентгену мне кажется, что остается ротация проксимального фрагмента.
Удачи Вам и держите в курсе.
|
[
Ответить ]
|
Re: Открытый вн.суставной перелом голени
Djoldas Kuldjanov, M.D. 18 Июль 2006, 00:22
|
Мы бы применили более агрессивную тактику: Irrigation&Debridment c удалением некротических костных фрагментов, с мягкотканним прикрытием мышцей или с укорочением кости ради закрытием дефекта мягких ткани с последующим удлинением костей голени.
Использование high speed bur или бура от артроскопа, где контролируется экономность удаления некротической кости и закрытия
раны с антибиотическим цементом является общепринятой тактикой лечения осложненых открытых переломов конечности.
Бусы изготавливались экстемпоре размерами от 0.5 до 0.8 см до затвердения цемента с антибиотиком, через них проводится любая нитка размером № 5, из антибиотиков предпочтение отдаем Тобрамицину с
Ванкомицином по 1 млн дозе.
Идею создание герметичной вакуумной системы, при наличии стерильной пленки, используемой для закрытия раневых поверхностей, или любой клейкой стерильной пленки, можно осуществить самим.
Простерилизованная губка на поверхность раны, трубка от системы, закрывается пленкой к коже (пару лет назад, по подсказке, в Африке
Женя соорудил подобное), подключается к любому отсосу и ваша импровизированная вакуум машина, как любая заводская, готова для работы. Сопротивление со стороны KCI о регулировке давления, это не что иное, как защита своего маркета (они рентуют вакуум машину в госпитали), пробовал у себя с установленными в стенах палаточными отсосами, работает превосходно.
Залог успеха в лечении осложненных открытых переломов - это создание стабильной конструкции в месте перелома. Сделанная КТ грамма поможет определить вовлечение внутрисуставного компонента, при вовлечении в сустав, для профилактики дальнейшего смещения, мы бы применили пару шурупов в дистальном эпиметафизе, в ваших условиях, стабилизацию аппарата можно достичь дополнительными проведенными спицами и спицами с упорной площадкой на эпифизе.
К замещению кости я бы приступил только после убеждения, что рана чистая, после неоднократных отрицательных результатов на чувствительность на анэробную и аэробную инфекцию.
В данный момент можно приступить к замещению мягкотканого дефекта, если больной курильшик, то рекомендуется остановить курение!
При отсутствии службы пластической хирургии, если позволяет размеры после дебридмента, то ротационная техника позволит прикрыть медиальную сторону голени, а на образовавший дефект (донорский участок) - ссвободная кожная пластика.
При согласии больного на временные трудности нахождения со скрещенными ногами, можно применить технику Cross leg с заранее приготовленным донорским участком, это давно забытая техника, но свое время выручало при закрытии дефектов.
Я бы предпочел применения старой технике Папинау, после очистки кости на образовавшийся кратер, до нормального уровня болшеберцой кости уложил бы ауто спонгиозную кость и на пробивший грануляцию из под спонгиозного слоя, посадить расщепленные кожные лоскуты.
Успеха вам.
Djoldas Kuldjanov, MD
Department of Orthopedic Surgery
St. Louis University Medical Center
|
[
Ответить ]
|
Re: Открытый вн.суставной перелом голени
Отправитель: Никита Заднепровский 23 Июль 2006, 16:54
|
DK> Cнимки из моего архива, перелом с мягкотканым дефектом, леченный
DK> антибиотическими бусами с последующей кожной пластикой и
DK> вакуумированием.
Кожные перфоранты не подшиваете? Судя по фото, расщепленные лоскуты фиксированы только атмосферным давлением опосредованно через губку в условиях вакуума. Через какое время первая перевязка и с чем? Джолдас, если Вы самостоятельно делали вакуумную повязку, то каким способом соединили трубку отсоса и пленку? Или в
ходе создания разряжения пленка самогерметизируется" как по краям раны так и в месте контакта к стенкам трубки? Если нет датчика давления, то по каким критериям можно ориентироваться, чтобы не спровоцировать некроз подлежащих тканей из-за чрезмерного разрежения?
С уважением, Заднепровский Никита Николаевич
|
[
Ответить ]
|
|
Re: Открытый вн.суставной перелом голени
дмитрий бондарь 18 Июль 2006, 00:26
|
Очень интересный финт!Просто,дешево и сердито!
Раны Левомиколем заполняю через шприц с трубочкой после разогрева водой.Ротация есть ,согласен.Думаю,что подобные переломы следует изначально дренировать промывкой.ХИРУРГАМ следует поставить на вид.
Удачи.С уважением Д.Б.
|
[
Ответить ]
|
Re: Открытый вн.суставной перелом голени
Скребцов Владимир 18 Июль 2006, 02:44
|
Уважаемый коллега! У нас уже накоплен большой опыт лечения больных с подобной травмой. Из своего опыта хотелось бы дать несколько советов:
1. фиксация отломков в аппарате недостаточна, необходимо провести дополнительные спицы в ср/з голени. Чем стабильнее-тем быстрее заживёт
2. необходимо сначала убрать перефокальное воспаление-до этого думать о пластике нерационально, всё развалится
3.отломки в ране мёртвые-их надо убирать, перфорация отломков в таких ситуациях малоэффективна, ещё не удавалось полностью покрыть отломки грануляциями
4. Я бы обязательно убрал сдвиг стопы кнаружи-потом будет сложнее
5. После стихания перифокального воспаления (если отломки не покроются грануляциями) единственный выход это закрытие раны перемещённым языкообразным лоскутом (в Золтане есть), только лоскут должен быть с клетчаткой, а ещё лучше с фасцией
6. Сильно дорогие антибиотики назначать не стоит-потом некуда будет отступать
Последнего такого больного я прооперировал неделю назад, пока всё хорошо, если интересно-вышлю фото этапов лечения
7.перевязки достаточно делать с левомеколем и дезмистином
Удачи!!! Скребцов Владимир
|
[
Ответить ]
|
Re: Открытый вн.суставной перелом голени
Отправитель: Никита Заднепровский 19 Июль 2006, 10:53
|
СВ> 1. фиксация отломков в аппарате недостаточна, необходимо провести
СВ> дополнительные спицы в ср/з голени. Чем
В понедельник в операционной выполнена санация раны с резекцией всех участков кости выступающих в просвет раны, удалены свободнолежащие фрагменты, некрэктомия. Промыто и заполнено салфеткой с некролитической мазью. Дополнительно проведена спица в с/3 голени. "Вытянул" голень до анатомичекой длины. После операции получил неприятный "сюрприз" - дистальный фрагмент б/б кости "разнесло". Снимки выложу завтра. Думаю опять ослабить дистракцию с целью собрать "в кучку" отломки дистального фрагмента, а также для
уменьшения раневой полости (которая меня, по-правде говоря, ужасает).
СВ> 6. Сильно дорогие антибиотики назначать не стоит - потом некуда будет
СВ> отступать
Антибиотик отменен. Думаю его назначение было моим рутинным, стандартным подходом к ситуации. Да, конечно, и путях отступления забывать нельзя.
СВ> Последнего такого больного я прооперировал неделю назад, пока всё
СВ> хорошо, если интересно-вышлю фото этапов лечения
Был бы признателен за любую предоставленную информацию.
Тут коллеги из соседней темы говорят: "Remember to put your toe in the water with someone who knows
how to swim". Но, так как "инструктора" по плаванию рядом нет, то для меня - "спасение утопающих - дело рук самих утопающих".
СВ> 7.перевязки достаточно делать с левомеколем и дезмистином
Да, маленькая хитрость с "плавленным" левомеколем мне понравилась, начал использовать. :-))
С уважением, Заднепровский Никита Николаевич
|
[
Ответить ]
|
Re: Открытый вн.суставной перелом голени
Отправитель: Alexander Chelnokov 19 Июль 2006, 12:14
|
У нас он в стеклянных флаконах, так что секунд на 20 в микроволновку, и он жидкий.
|
[
Ответить ]
|
Re: Открытый вн.суставной перелом голени
Отправитель: Владимир Скребцов 22 Июль 2006, 02:24
|
К сожалению не знаю ваш адрес в сети, если интересны иллюстрации, напишите мне по адресу skrebtsov(at)mail.ru я вам их скину
|
[
Ответить ]
|
Re: Открытый вн.суставной перелом голени
Отправитель: Alexaander Chelnokov 22 Июль 2006, 11:50
|
Можно писать на адрес ortho(at)weborto.net. Понятное дело, заменив (at) на @.
|
[
Ответить ]
|
|
Re: Открытый вн.суставной перелом голени
Никита Заднепровский 26 Июль 2006, 00:01
|
Здравствуйте, коллеги.
Состояние раны: постепенно очищается, заполняется грануляциями с участками фибрина. Воспаление мягких тканей вокруг раны купировано. В глубине раны, ближе к дистальному отломку, остается небольшой "гнилой угол" с весьма скудным отделяемым. Две "большие" перевязки в течение недели, с частичными некр- и секвестрэктомиями в условиях операционной.
При закрытой попытке поймать и собрать отломки дистального фрагмента спицами с напайками, удача покинула меня.:-(
Срепонировать суставную поверхность мне не удалось. Только зря прошил ткани, а отломки остались в прежней позиции. Так и подмывало провести спицу через ахилл ... или пойти открыто задним доступом и притянуть винтом. Но смущает один момент: на чем будет держаться резьбовая часть винта, если передная поверхность разбита в хлам? Винт будеть елозить и не даст должной копрессии. Есть ли резон, при нынешнем состоянии раны, пойти на открытую репозицию заднего отдела суставной поверхности?
Так и не определился с тактикой по закрытию дефекта. Вариант с гофрированием подразумевает резекцию малоберцовой кости на длину дефекта или "пустить" отломки вдоль, относительно друг друга, чтобы не наносить дополнительной травмы и не открываться? Вариант с рекурвационно-медиальной ангуляцией подкупает своей необычностью, но тоже, наверное, требует резекции малоберцовки, дабы не натянуть кожный покров с противоположной стороны голени. Думаю, оба варианта реальны для выполнения в наших условиях. Не нашел методики по ротационной технике замещения раневого дефекта предложенного Александром Николаевичем.
Нуждаюсь в комментариях и советах по дальнейшей тактике ведения такого больного.
С уважением, Заднепровский Никита Николаевич
|
[
Ответить ]
|
Re: Открытый вн.суставной перелом голени
Отправитель: Савранский Александр 26 Июль 2006, 00:34
|
Здравствуйте Никита!
На мой взгляд необходимо уменьшить дистракцию до полного сближения отломков.Не видно,что в ране-возможно стоит произвести ревизию с тщательной санацией,секвестрэктомией(почти наверняка без этого не обойтись)-судя по снимкам идет воспалительная резорбция концов отломков.
Не заметил признаков проведения проточно-промывного дренирования.
Несколько лет назад у пациентки с подобным переломом результата достичь удалось с помощью сознательного укорочения голени с последующим ее удлинением после сращения.В Вашем случае необходимости трогать малоберцовую нет.
Стояние отломков неплохое,может быть лучшее враг хорошего?
|
[
Ответить ]
|
Re: Открытый вн.суставной перелом голени
Отправитель: Evgueny Tchekashkine 26 Июль 2006, 20:26
|
Здравствуйте Никита,
Возникшее расхождение отломков дистального метафиза наиболее вероятно связано с дистракцией в аппарате - лигаментотаксис : задняя тиб.фиб. связка *утянула* задний фрагмент.
Уменьшите дистракцию - всё вернется на свою предыдущую позицию, фиксируйте метафизарные фрагменты спицами 2-3-4 в разных направлениях.
Удачи,
Евгений
|
[
Ответить ]
|
|
Re: Открытый вн.суставной перелом голени
дмитрий бондарь 26 Июль 2006, 00:52
|
Вечер добрый!попытайтесь садаптировать и сводите отломки.И рану закроете и дорога к консолидации открыта .А затем можно и билокальный сделать.
С уважением Д.Б.
|
[
Ответить ]
|
Re: Открытый вн.суставной перелом голени
Отправитель: Попов Виктор 26 Июль 2006, 15:07
|
Уважаемый Никита!
> Срепонировать суставную поверхность мне не удалось. Только зря прошил ткани, а отломки остались в прежней позиции. Так и подмывало провести спицу через ахилл ... или пойти открыто задним доступом и притянуть винтом. Но смущает один момент: на чем будет держаться резьбовая часть винта, если передная поверхность разбита в хлам? Винт будеть елозить и не даст должной копрессии. Есть ли резон, при нынешнем состоянии раны, пойти на открытую репозицию заднего отдела суставной поверхности?
Задний край достаточно большой и поставить его на место следовало бы. Подтянуть задний край можно тонким стержнем Шанца диаметром 3-3,5-4 мм с резьбой на хвосте, вкрученным в задний край спереди через канал большего диаметра. Вариант этим же стержнем, но из задне-латерального прокола. Отправляю пример.

После сопастовления заднего края постепенная компрессия зоны перелома.
С уважением Виктор!
|
[
Ответить ]
|
|
Re: Открытый вн.суставной перелом голени
Владимир Скребцов 28 Июль 2006, 20:12
|
Уважаемый Никита!!! Я думаю в такой ситуации (спасибо за свежие рентгенограммы) будет правильно выполнить :
Радикальную некрэктомию б/берцовой кость с последующим одномоментным закрытием раны перемещённым языкообразным лоскутом. В Последующем- остеотомия в в/з с формированием дистракционного регенерата. Лоскут лучше выкроить с задне-внутр. пов-ти, там кожи больше и она подвижная. Полость надо затомпонировать икроножной мышцей !!!! Ничего страшного нет, всё будет ХОРОШО!!! С уважением Скребцов Владимир
|
[
Ответить ]
|
|
|
Re: Открытый вн.суставной перелом голени
Ирина Колесникова 07 Август 2006, 00:35
|
Закрыть такой дефект возможно только при помощи одного из кровоснабжаемого комплекса тканей голени (напр. суральным), после операции на 2-3 суток полезно наладить приточно-промывное дренирование области перелома для профиласктики посттравматического остеомиелита.
|
[
Ответить ]
|
( Ответить )
|
|