вверх
отправить
поиск
админ
главная
|
Травматическая деформация предплечья |
 |
 |
 |
Отправлено Андрианов Антон 19 Июль 2006, 11:41
После чужих ошибок ищу решение Уважаемые коллеги,
После 4 месячного лечения в поликлиниках города 43 летняя пациентка, экономист поступила с грубой деформацией правого предплечья, контрактурой пальцев и невритом срединного нерва средней степени тяжести. После неплохой репозиции чрезсуставного трехфрагментарного перелома луча месяц провела в гипсе без рентгенконтроля. После снятия повязки ввиду лучевой девиации была предпринята какая-то остеотомия без костной пластики, деформация лишь усугубилась, головка локтя в вывихе. Учитывая молодой возраст в моих планах укорачивающая остеотомия локтевой кости, корригирующая остеотомия луча( перелом там похоже не сросся)для восстановления угловых соотношений в суставе с заполнением дефекта кости материалом из локтевой и коллапаном. Локтевая подлежит фиксации АО пластиной, лучевая, скорее всего, обойдется без фиксации. В моей практике ранее были остеотомии луча, удаления головки локтевой кости у престарелых, но укорачивающих остеотомий не производил. Кто имеет опыт подобных операций, поделитесь, понимаю, что необходим невролиз медиануса, но третий разрез в этой зоне не хочется выполнять. На англоязычных сайтах много материала по подобным случаям, на отечественных практически ничего
<
|
>
|
|
Ответить
|
Re: Травматическая деформация предплечья
Alexander Chelnokov 19 Июль 2006, 13:19
|
АА> Учитывая молодой возраст в моих планах укорачивающая остеотомия локтевой кости,
АА> корригирующая остеотомия луча (перелом там похоже не сросся) для
АА> восстановления угловых соотношений в суставе с заполнением дефекта
АА> кости материалом из локтевой и коллапаном.
Если все равно в планах заниматься лучевой костью, то локтевую можно будет вовсе не трогать. Аппаратом лучевую удлинить с восстановлением оси, восстановятся луче-локтевые взаимоотношения, этим и ограничиться.
АА> Локтевая подлежит фиксации АО пластиной, лучевая, скорее
АА> всего, обойдется без фиксации.
Как-то это "без фиксации" настораживает... Отстутствие стабильности после открытого вмешательства особенно чревато.
АА> В моей практике ранее были остеотомии луча, удаления головки
АА> локтевой кости у престарелых,
Кстати, это и здесь возможный путь, операция Darrach не обязательно ориентирована именно на пожилых.
А вторую проекцию можно посмотреть?
|
[
Ответить ]
|
Re: Травматическая деформация предплечья
Андрианов Антон 19 Июль 2006, 22:02
|
Уважаемый Александр,
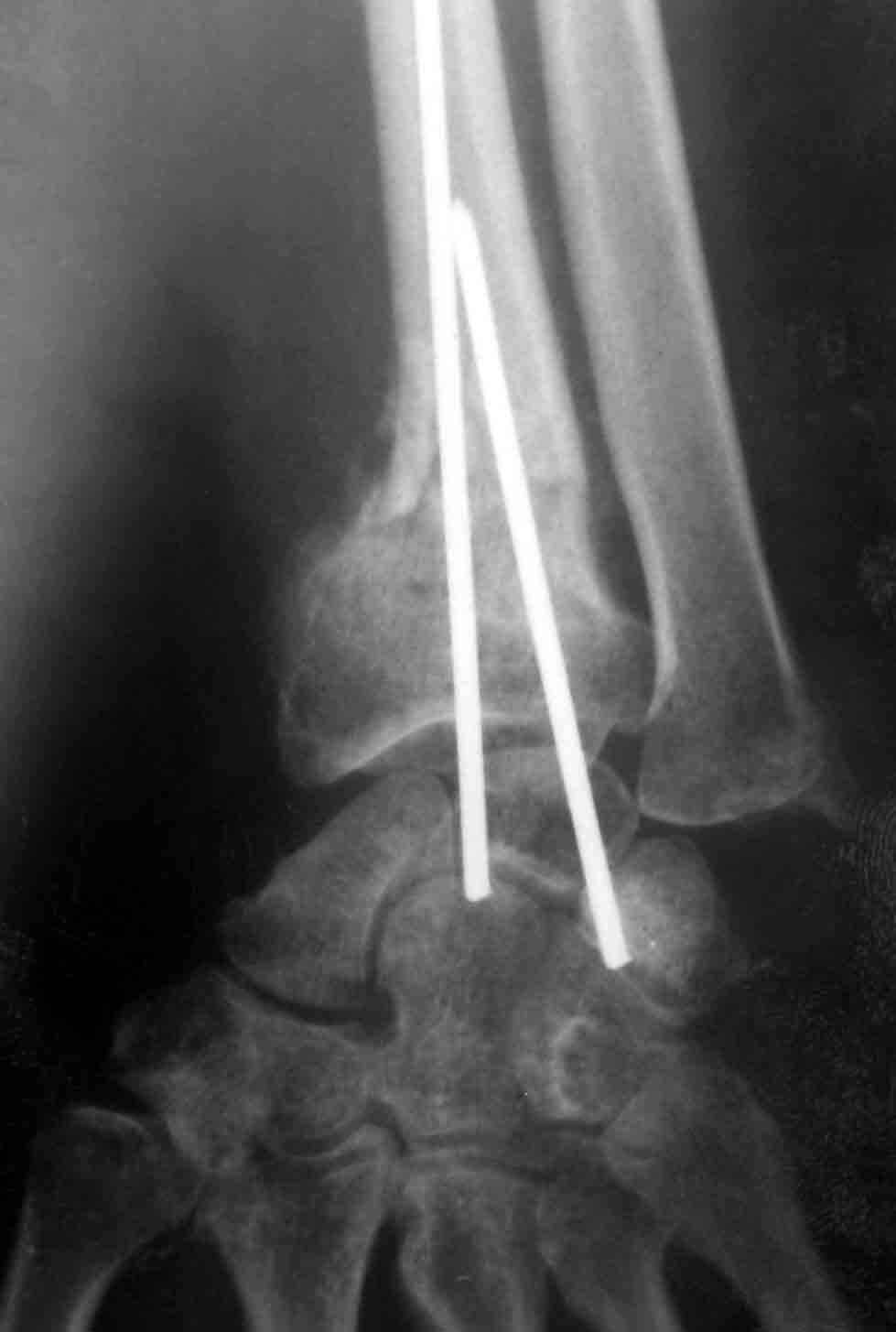
Прилагаю профильный снимок, на нем видно несрастание линии неудачной остеотомии. Если во время операции будет достаточно материала из локтевой для сохранения коррекции угла эпифиза луча и самокомпрессия удержит трансплантат попробую обойтись без дополнительной пластины. У молодых субъектов мне удавалось полностью исправить деформации\ менее тяжелые\ кортикотомией и введением клиновидного трансплантата из крыла подвздошной кости. Главное было правильно рассчитать линию и угол остеотомии, самокомпрессия была достаточной для консолидации в течение 5 недель. По поводу ЧКДО-больная категорически отказалась. Операция Sauve Kapandji с укорочением локтевой кости, но без удаления хряща луче-локтевого сустава мне видится предпочтительней удаления головки локтевой. Пациентка- экономист по профессии и работает мышью и клавой, так что после удаления дистального локтя неизбежны последующие проблемы в локтевом суставе, а так при восстановлении градусов 25-30 пронации-супинации сможет трудиться. Стоит ли одномоментно мобилизовать срединный нерв в карпальном канале?
rad2 копия.jpg
46KB (48031 bytes)
|
[
Ответить ]
|
Re: Травматическая деформация предплечья
Отправитель: Alexander Chelnokov 20 Июль 2006, 10:20
|
АА> клиновидного трансплантата из крыла подвздошной кости. Главное было
АА> правильно рассчитать линию и угол остеотомии, самокомпрессия была
Я к тому и клоню. И этот этап сложный (и чтоб форма восстановилась, и чтоб еще само держалось, и чтобы не ободрать всю кость от мягких тканей), да еще и обе кости надо по длине друг к другу подогнать.
АА> По поводу ЧКДО-больная категорически отказалась.
Хороший врач должен уметь убедить пациент на ампутацию здоровой конечности ;-)
А серьезно - можно ей пояснить, что важен результат, а не сиюминутный комфорт. Еще можно было понять, если бы она устала от многомесячного пребывания в аппарате. Одномоментная операция на обеих костях сопряжена с бОльшим риском неудачи. А с аппаратом мы управляем ситуацией.
Можно ведь аппаратом восстановить форму и длину лучевой кости, и уже в заданном положении отломков вторым этапом через 2-3 недели уложить в дефект трансплантат из крыла подвздошной кости. Локтевая останется целой.
АА> Операция Sauve Kapandji с укорочением локтевой кости, но без
АА> удаления хряща луче-локтевого сустава мне видится предпочтительней
Может быть - если бы луч уже был сросшийся, то укоротить локтевую так или иначе несложно.
АА> Пациентка- экономист по профессии и работает мышью и клавой, так что
АА> после удаления дистального локтя неизбежны последующие проблемы в
Так вроде наоборот, эта операция делается для решения проблем, когда они уже есть?
АА> Стоит ли одномоментно мобилизовать срединный нерв в карпальном канале?
Наверно, декомпрессию карпального канала стоит сделать. Это тут самое простое. А может, с нее даже и начать.
|
[
Ответить ]
|
|
Re: Травматическая деформация предплечья
Савранский Александр 20 Июль 2006, 01:15
|
Удалить спицы,резецировать головку локтевой-начать активную разработку.Учитывая предыдущие вмешательства эта тактика оптимальна.В последующем,если четко сформируется ложняк,что бывает довольно редко,можно предпринять остеотомию с аутопластикой.
Опыт подобных случаев есть-результаты хорошие.
Проблем о которых Вы говорите при резекции головки локтя не встречал.В том числе и у молодых пациентов.Удачи.
|
[
Ответить ]
|
Re: Травматическая деформация предплечья
Константин Шевырев 22 Июль 2006, 12:37
|
Уважаемый Антон! Не совсем понятно Ваше не желание обратиться к аппаратной коррекции деформации лучевой кости. О желаниях пациентки написал Александр Николаевич. Ведь действительно давно существующая, сравнительно(с открытой реконструкцией) простая и самое главное управляемая методика. При (не дай Бог) несращении лучевой кости легко переходит во второй этап, а не в повторную операцию. Действительно, переносят лечение пациенты по разному, особенно в период коррекции.Но окончательным результатом довольно большинство. И не затратно. Кстати, существует мнение, что сложноустроенный кистевой сустав не любит одномоментных коррекций в условиях длительно существующих деформаций.
С уважением и наилучшими пожеланиями Шевырев К.В., МОНИКИ
|
[
Ответить ]
|
Re: Травматическая деформация предплечья
Антон Андрианов 26 Июль 2006, 21:02
|
Спасибо всем коллегам за полезные советы. На АВФ больную уговорить не смог, т.к. она пожелала в гипсовой повязке выйти на работу\ капитализм на дворе\. Сделал укорочивающую остеотомию с удалением до 13 мм блока ульны осциллирующей пилой и после адапатации с фиксацией пластиной уже рука выглядела симпатичнее. На уровне прежней остеотомии псевдоартроз освежил с удалением остеоидной ткани и косой кортикотомией коррегировал смещение эпифиза. В дефект насыпал коллапан, кортикал плотно закрылся резецированным из ульны фрагментом. Фиксация пластиной была бы предпочтительнее гипсовой, но состояние кожи с рубцами и отеком остановило меня. Рентгеноскопия на столе показала хорошую коррекцию, снимки выложу позднее. Через пять дней появилась незначительная динамика неврита срединного нерва.
|
[
Ответить ]
|
( Ответить )
|
|