вверх
отправить
поиск
админ
главная
Предыдущее
Весь тред
|
Re: В защиту коллапана
Alexander Chelnokov 11 Август 2006, 01:01
|
АА> лишь показать, что на сегодняшний у российских ортопедов есть
АА> доступный повсюду недорогй материал, о котором и не мечталось десяток
О существовании этого препарата общественность информирована, его применяют от провинциальных больниц до ЦИТО. И хотелось бы обратить внимание не на доступность, а на то, что обоснования его применения на современном уровне доказательности почему-то до сих пор нет.
АА> Пример, который я привел, иллюстрировал мои эмоции, которые
АА> я испытал, увидя снимки через 3 месяца- на месте пустоты выросла
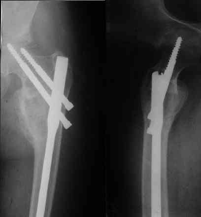
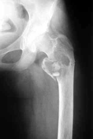
Под рукой нашелся повод для похожих эмоций. Патологический перелом на месте рецидива костной кисты у девочки 16 лет (обсуждали этот случай
года два назад). Ни коллапана, ни трансплантатов, ничего другого в очаг не вводили, кроме нержавеющей стали. Она, видимо, тоже остеоиндуктор - видно, что на месте пустоты через несколько месяцев кость.

АА> десяток наблюдений с энхондромами на пальцах убедительны \для меня\
Методология доказательной медицины оттого и появилась, что осознана недостоверность оценок лишь на основе текущей практики.
АА> Антибиотик выделяется 3 недели, по данным разработчиков.
Спасибо, примем к сведению.
АА> Каждый делает выбор сам,
Важно, на чем он основан.
АА> но все же опыт коллег более достоверен, чем публикации в
АА> брошюрахх, полученных у стендов выставок.
Поэтому надежнее руководствоваться не рекламными материалами и чьими-то личными впечатлениями, а независимыми данными контролируемых испытаний.
|
|
|