ВХОД ДЛЯ ПАЦИЕНТОВ
вверх
поиск
админ
главная
исходное
|
Re: коррекция оси перед эндопротезированием?
послал Leonid N.Solomin 30 Август 2006, 22:46
|

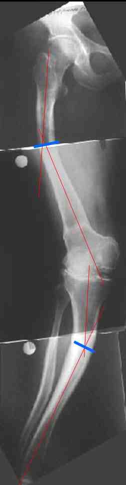
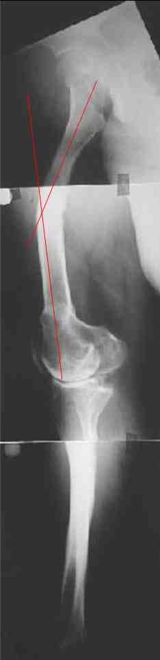
Уважаемый Михаил Н. Полляк:
В данном случае перед эндопротезированием мы бы корригировали оси бедренной и большеберцовой костей (см. вложение). Дистальный эпидиафизарный угол бедра будет корригирован при эндопротезировании. Тип остеотомии и коррекции деформации (клиновидная резекция - одномоментная коррекция; формироване треугольных или трапециевидных регенератов во времени) - исходя из
относительной длины конечности.
Успехов,
Л.Соломин
195427, С.-Петербург,
ул. акад. Байкова, 8,
ФГУ «РНИИТО им. Р.Р.Вредена Росздрава»
|
| Послать ответ |
Обратите внимание: Поля с жирными названиями обязательны.
Старайтесь отвечать в рамках обсуждаемой темы, а не начинать новые обсуждения.
Указывайте адекватную тему сообщения, чтобы было ясно, о чем оно.
Не послайте сообщений не по теме (оффтопик), раздраженных, грубых или обидных комментариев. Здесь это неуместно.
|