вверх
отправить
поиск
админ
главная
|
коррекция оси перед эндопротезированием? |
 |
 |
 |
Отправлено Михаил Н. Полляк 30 Август 2006, 12:30
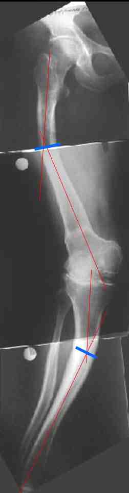
Обратилась дама 57 лет с намерением протезировать коленный сустав. Имется грубая осевая деформация (см. рентгенограммы). Встает вопрос насчет улучшения оси конечности. Даже с мобилизацией на пртяжении при таком вальгусе малоберцовому нерву может не поздоровиться. Уважаемые коллеги, как лучше провести коррекцию? Какой сегмент, на каком уровне, на какую величину? Что бы Вы исправили до протезирования, что можно оставить и сделать вместе с замещением сустава?
<
|
>
|
|
Ответить
|
Re: коррекция оси перед эндопротезированием?
Leonid N.Solomin 30 Август 2006, 22:46
|

Уважаемый Михаил Н. Полляк:
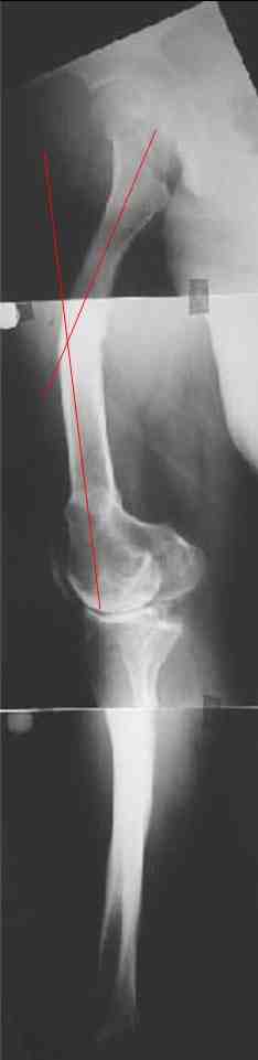
В данном случае перед эндопротезированием мы бы корригировали оси бедренной и большеберцовой костей (см. вложение). Дистальный эпидиафизарный угол бедра будет корригирован при эндопротезировании. Тип остеотомии и коррекции деформации (клиновидная резекция - одномоментная коррекция; формироване треугольных или трапециевидных регенератов во времени) - исходя из
относительной длины конечности.
Успехов,
Л.Соломин
195427, С.-Петербург,
ул. акад. Байкова, 8,
ФГУ «РНИИТО им. Р.Р.Вредена Росздрава»
|
[
Ответить ]
|
Re: коррекция оси перед эндопротезированием?
Alexaander Chelnokov 30 Август 2006, 23:03
|
На бедре дистальный отдел в сгибательной установке после, видимо, когда-то сделанной корригирующей остеотомии. Не надо ли на том же уровне все-таки "разогнуть" бедро до протезирования? Сам протез, наверно, можно поставить в большем или меньшем "сгибании", но весь дистальный эпиметафиз бедра и все нижележащее оказывается кзади от механической оси бедра. Насколько это допустимо, не ведет ли к расшатыванию протеза? Или можно как-то рассчитать такой наклон протеза, что он компенсирует это смещение?
И нет ли смысла аппаратом исправить не только кривые диафизы, но и взимоотношения собственно суставных концов бедренной и большеберцовой костей, они ведь там контактируют с вальгусом градусов 25? Это позволит дозированно удлинить мягкие ткани по латеральной стороне.
|
[
Ответить ]
|
Re: коррекция оси перед эндопротезированием?
Рашид Муртузалиевич Тихилов 31 Август 2006, 00:25
|
Уважаемый Михаил Наумович,
Это один из самых сложных вариантов для эндопротезирования, т.к. мы имеем деформацию бедренной кости в трех проекция, думаю, что есть и
ротационная деформация, плюс к этому - деформация голени. Однозначно в таких случаях, в отличии от возможностей при эндопротезировании ТБС необходимо выполнить корригирующие остетомии на двух уровнях. Что касается сгибательно установки мыщелков бедра - думаю, что это не является проблемой, особенно если на операции будет испрользован заднестабилизированный протез. Относительно вальгуса - все не так однозначно - возможно, что деформация слегка преувеличена за счет проекционной установки из-за ротационной деформации. Поэтому планирование операции необходимо будет делать только после коррекции деформации.
В целом, это очень интересный раздел эндопротезирования и здорово, что мы начинаем обсуждать столь сложные ортопедические вопросы. Поэтому, понимая, что мы вплотную подошли к этой проблеме, одним из вопросов на нашей научной сессии, посвященной 100-летию РосНИИТО (21-22.09) мы поставили эндопротезирование КС при экстра и интраартикулярных деформациях. Кстати, по сравнению с предварительной Программой значительно увеличилось число зарубежных коллег с очень интересными докладами. Окончательный вариант Программы появится в понедельник на сайте нашего института. Александр Николаевич, извини, что использовал ортофорум для рекламы конференции.
С уважением, Р.Тихилов
|
[
Ответить ]
|
Re: коррекция оси перед эндопротезированием?
Отправитель: Alexaander Chelnokov 31 Август 2006, 00:37
|
> интересными докладами. Окончательный вариант Программы появится в
> понедельник на сайте нашего института.
Ссылку или саму программу (если файл не очень большой) переложу сюда.
> Александр Николаевич, извини, что использовал ортофорум для рекламы
> конференции.
Наоборот, спасибо большое за информацию как по обсуждаемому вопросу, так и о предстоящем крупном профессиональном событии. В котором многие здесь присуствующие собираются принять участие.
Так что если какие-то еще конференции или другие профессиональные мероприятия "недорекламировали" - добро пожаловать!
:-)
|
[
Ответить ]
|
|
( Ответить )
|
|