ВХОД ДЛЯ ПАЦИЕНТОВ
вверх
поиск
админ
главная
исходное
последующие
|
Re: Тугой ложный сустав правого бедра в сочетании
послал Alexander Chelnokov 03 Сентябрь 2006, 21:11
|
> Разгибание до 170 град, сгибание до 90 град, при максимальном
> сгибании ротация голени кнаружи видна отчеливо и составляет 10-12 град.
Движения приличные, есть за что бороться. Такая ротация голени кнаружи, если она действительно есть (для уточнения можно сделать КТ на уровне обоих метафизов и бедреных, и берцовых ксотей, не меняя положение ног во время съемки), большого значения не имеет. А уж на фоне всего остального тут - вообще говорить не о чем.
> Имелось ввиду, что не будут применяться пористый никелид титана,
> пористая керамика для заполнения довольно большого дефекта бедренной
Наверно, есть в этом резон.
> решения об удалении всех конструкций: +1 час на строле = - 1
> дополнительный визит на стол. Конечно, если на бедре все пройдет без
Тут "-1 визит" не получится, раз все равно предполагается операция и на прокимальном отделе большеберцовой.
> трансформировать рубцовую ткань и наверняка устранить все
> деформации, но есть некоторые сомнения в перспективах оссификации.
Давайте будем последовательны. Диагноз определяет тактику. То есть если это "тугой ложный сустав", тогда какие сомнения? Тугие псведартрозы успешно лечатся одной дистракцией, что известно более 30
лет.
> Предполагалось внесение материала для остеогенеза.
Тогда давайте диагноз менять.
> имелся ввиду T2? Femoral Nailing System: возможность как
> антеградного, так и ретроградного введения, низкое расположение
Сгодится, наверно.
>> закрыто бы заштифтовали антеградно, с введением в дистальный >
>> отломок 3-4 запирающих винтов.
> Этот вариант рассматривался, может и будет еще анализироваться.
> Вопрос все тот же - как будет перестариваться рубцовая ткань в зоне
> ложного сустава?
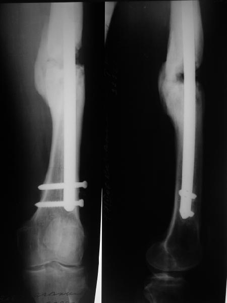
Давайте посмотрим на снимки бедра. В принципе, с наличием "эндопротеза диафиза" в виде мощного интрамедуллярного стержня не надо убиваться с обширными вмешательствами на очаге с кровопотерями, создавать большую площадь контакта, замещать все дефекты. Достаточно образования после дистракции узенького мостика по одной стороне. Со временем он упрочится, стержень в канале будет помогать сохранять длину и ось несколько лет. Даже если не будет смыкания трубок, можно потом стержень отпереть, за счет этого улучшиться контакт. Можно сделать реостеосинтез с рассверливанием стержнем большего диаметра. Важно, что все это время можно нормально пользоваться конечностью.
В приложении снимки бедра - с такой картинкой пациентка ходит, не хромает, работает инженером 3,5 года после операции с первых дней, хотя еще и инсулинозависимый диабет.

> Что заставит ее трансформироваться в костную,
Как что - напряжение растяжения.
> особенно если мы снимем дистракционные усилия после IM-nailing?
А зачем их снимать? Насколько растянули, так в
напряжении на дистракцию надо гвоздь и запереть, не теряя ни мм.
> Сроки восстановления опороспособности?
Зависит от массы тела пациента, длины, диаметра и количества запирающих винтов. Если винты диаметром 6 мм, мы вообще нагрузку не ограничиваем. У T2 они 5 мм, но можно взять дистальные винты partially threaded.
|
| Послать ответ |
Обратите внимание: Поля с жирными названиями обязательны.
Старайтесь отвечать в рамках обсуждаемой темы, а не начинать новые обсуждения.
Указывайте адекватную тему сообщения, чтобы было ясно, о чем оно.
Не послайте сообщений не по теме (оффтопик), раздраженных, грубых или обидных комментариев. Здесь это неуместно.
|