ВХОД ДЛЯ ПАЦИЕНТОВ
вверх
поиск
админ
главная
исходное
последующие
|
Re: Когда давать нагрузку?
послал Алексей Семенистый 15 Сентябрь 2006, 23:24
|
> Посмотрел - как летит время, книжка вроде почти новая, пишут про "new
> PFN", а в другой книжке (2005 г.) пишут, что этот фиксатор в США уже
> больше не применяется...
Из АО-ассортимента в Америке вроде бы сейчас используют TFN?
> Да, тут пишут:
> ================================
> It should be used:
> If the fracture is unstable
> if rotational stability is required
> When there is a wide disparity between the diameter of the nail and
> the femoral cavity
> ================================
>
> То есть как минимум он не нужен вообще в каждом случае, а только в
> указанных. Подпадает ли обсуждаемый случай под что-то из
> перечисленного - вроде нет.
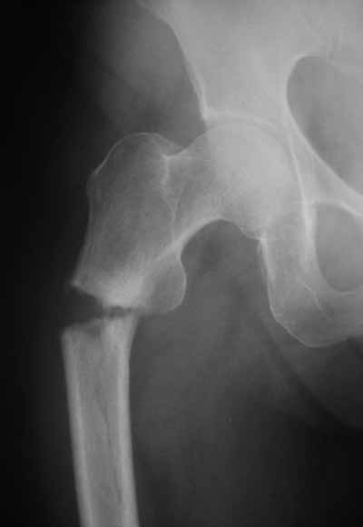
Да? Качество рентгенограмм конечно неочень, но ведь это нестабильный перелом 31.А2.2, не так ли?
> > С PFN, у которого, дистальнее винта имеется довольно длинный, как
> > говорят, эластичный конец, видел 1 случай у 93 летней пациентки
>
> У многих докладчиков видел. А этот "довольно длинный" конец сделан с
> хорошим намерением, для деконцентрации напряжений, но - бывает,
> проламывает переднюю стенку канала из-за этой большей длины.
Если это случилось, то значит была некорректной хирургическая техника: неудовлетворительная репозиция, неправильная точка введения, толстый штифт...
> >> Именно поэтому, кстати, лучше вообще короткими (вертельными)
> >> гвоздями не пользоваться.
>
> > Неужели Вы так и поступаете?
>
> По крайней мере стремлюсь. Нет, серьезно.
Стремишься? А что мешает вообще не использовать короткие штифты?
> >> штифте вообще дистальное отверстие одно статическое?
> > Это что за штифт такой?
>
> Например, Gamma-2.
Да вроде там две дырки. Может в Gamma1? - никогда не держал в руках.
> > Я имею ввиду довольно редкий простой поперечный перелом на 1-2 см
> > ниже малого вертела.
>
> Тут шеечный винт Не фиксировал бы периферический отломок, так что
> конечно, дистальный винт был бы нужен. Хотя для такого перелома вообще
> короткий штифт какой-то неуютный выбор.
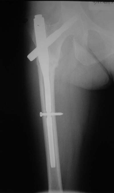
Не думаю так. см вложение.

|
| Послать ответ |
Обратите внимание: Поля с жирными названиями обязательны.
Старайтесь отвечать в рамках обсуждаемой темы, а не начинать новые обсуждения.
Указывайте адекватную тему сообщения, чтобы было ясно, о чем оно.
Не послайте сообщений не по теме (оффтопик), раздраженных, грубых или обидных комментариев. Здесь это неуместно.
|