вверх
отправить
поиск
админ
главная
Предыдущее
Весь тред
|
Re: Когда давать нагрузку?
Alexander Chelnokov 15 Сентябрь 2006, 23:19
|
> Ну кое-что об этом на стр. 443 "AO Principles of Fractures
> Management" T.P.Ruedi, W.M.Murphy, -2000. (правда это не от
Посмотрел - как летит время, книжка вроде почти новая, пишут про "new PFN", а в другой книжке (2005 г.) пишут, что этот фиксатор в США уже больше не применяется...
Про нижний винт на этой страничке ничего не увидел.
> Или, например, стр. 32 в страйкеровском буклете "Gamma 3. Operative
> Technique",
Да, тут пишут:
================================
It should be used:
• If the fracture is unstable
• if rotational stability is required
• When there is a wide disparity between the diameter of the nail and
the femoral cavity
================================
То есть как минимум он не нужен вообще в каждом случае, а только в указанных. Подпадает ли обсуждаемый случай под что-то из перечисленного - вроде нет.
> С PFN, у которого, дистальнее винта имеется довольно длинный, как
> говорят, эластичный конец, видел 1 случай у 93 летней пациентки
У многих докладчиков видел. А этот "довольно длинный" конец сделан с хорошим намерением, для деконцентрации напряжений, но - бывает, проламывает переднюю стенку канала из-за этой большей длины.
>> Именно поэтому, кстати, лучше вообще короткими (вертельными)
>> гвоздями не пользоваться.
> Неужели Вы так и поступаете?
По крайней мере стремлюсь. Нет, серьезно.
>> штифте вообще дистальное отверстие одно статическое?
> Это что за штифт такой?
Например, Gamma-2.
> Я имею ввиду довольно редкий простой поперечный перелом на 1-2 см
> ниже малого вертела.
Тут шеечный винт не фиксировал бы периферический отломок, так что конечно, дистальный винт был бы нужен. Хотя для такого перелома вообще короткий штифт какой-то неуютный выбор.
|
|
|
Ответить
|
Re: Когда давать нагрузку?
Алексей Семенистый 15 Сентябрь 2006, 23:24
|
> Посмотрел - как летит время, книжка вроде почти новая, пишут про "new
> PFN", а в другой книжке (2005 г.) пишут, что этот фиксатор в США уже
> больше не применяется...
Из АО-ассортимента в Америке вроде бы сейчас используют TFN?
> Да, тут пишут:
> ================================
> It should be used:
> If the fracture is unstable
> if rotational stability is required
> When there is a wide disparity between the diameter of the nail and
> the femoral cavity
> ================================
>
> То есть как минимум он не нужен вообще в каждом случае, а только в
> указанных. Подпадает ли обсуждаемый случай под что-то из
> перечисленного - вроде нет.
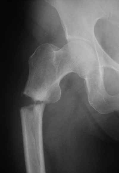
Да? Качество рентгенограмм конечно неочень, но ведь это нестабильный перелом 31.А2.2, не так ли?
> > С PFN, у которого, дистальнее винта имеется довольно длинный, как
> > говорят, эластичный конец, видел 1 случай у 93 летней пациентки
>
> У многих докладчиков видел. А этот "довольно длинный" конец сделан с
> хорошим намерением, для деконцентрации напряжений, но - бывает,
> проламывает переднюю стенку канала из-за этой большей длины.
Если это случилось, то значит была некорректной хирургическая техника: неудовлетворительная репозиция, неправильная точка введения, толстый штифт...
> >> Именно поэтому, кстати, лучше вообще короткими (вертельными)
> >> гвоздями не пользоваться.
>
> > Неужели Вы так и поступаете?
>
> По крайней мере стремлюсь. Нет, серьезно.
Стремишься? А что мешает вообще не использовать короткие штифты?
> >> штифте вообще дистальное отверстие одно статическое?
> > Это что за штифт такой?
>
> Например, Gamma-2.
Да вроде там две дырки. Может в Gamma1? - никогда не держал в руках.
> > Я имею ввиду довольно редкий простой поперечный перелом на 1-2 см
> > ниже малого вертела.
>
> Тут шеечный винт Не фиксировал бы периферический отломок, так что
> конечно, дистальный винт был бы нужен. Хотя для такого перелома вообще
> короткий штифт какой-то неуютный выбор.
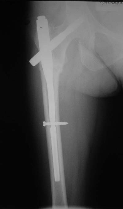
Не думаю так. см вложение.

|
[
Ответить ]
|
Re: Когда давать нагрузку?
Отправитель: Alexaander Chelnokov 15 Сентябрь 2006, 23:31
|
> Из АО-ассортимента в Америке вроде бы сейчас используют TFN?
Насколько я знаю, да.
Пытался уяснить отличия между TFN и PFN-A и как-то не очень преуспел.
> Да? Качество рентгенограмм конечно неочень, но ведь это
> нестабильный перелом 31.А2.2, не так ли?
Ну, после помещения туда такого гвоздя даже без дистального винта заметной нестабильности уже не остается ;-)
>> проламывает переднюю стенку канала из-за этой большей длины.
> Если это случилось, то значит была некорректной хирургическая
> техника: неудовлетворительная репозиция, неправильная точка введения, толстый штифт...
Проблема именно в избыточной длине, особенно когда врача убедили, что надо сформировать канал только под проксимальную часть гвоздя, без рассверливания диафиза, мол, штифт дальше тоненький такой. А у невысоких тетушек 240 мм хватает, чтобы прямым стержнем такой длины уже перфорировать кортекс. Был бы он 180-200 мм - проблемы бы не было.
> Стремишься? А что мешает вообще не использовать короткие штифты?
Инерция, наверно. Плюс некоторое психологическое давление - "что я, умнее всех?" ;-) Да и они подешевле.
>> Например, Gamma-2.
> Да вроде там две дырки. Может в Gamma1? - никогда не держал в руках.
В Trochanteric Gamma Nail (короткий) - одна круглая.
>> короткий штифт какой-то неуютный выбор.
> Не думаю так. см вложение.
Для такого перелома вполне может быть использован диафизарный штифт, который отечественного производства я даже боюсь считать во сколько раз дешевле... Недавно несколько примеров я закидывал.
|
[
Ответить ]
|
Re: Когда давать нагрузку?
Отправитель: Андрей Грибов 07 Октябрь 2006, 15:40
|
Александр, у моего друга случилась беда - сломал шейку бедра.Ему 65.Мы, его друзья, ищем ему или PFN,или DHS, или Gamma nails.Не знаю где можно купить данные болты гайки,не в автомагазине же.
Не подскажете, где их можно приобрести ?
Спасибо.
|
[
Ответить ]
|
|
( Ответить )
|
|