AOTRAUMA.ORG Центр Илизарова  

Ортопедия и травматология Общие вопросы/General questions Help Информационные технологии в медицине
 вверх
 отправить
 поиск
 админ
 главная
 Предыдущее
 Весь тред


Re: Несращение бедренной кости
А Ситник 24 Сентябрь 2006, 11:00
1. Рентгенограммы обязательно дошлю.

2. "судя по рентгенограммам старались вы на совесть, когда открывали область перелома при интрамедуллярном остеосинтезе"

? - но как это можно определить по снимкам, да еще и выполненным через 20 месяцев после первичной операции)

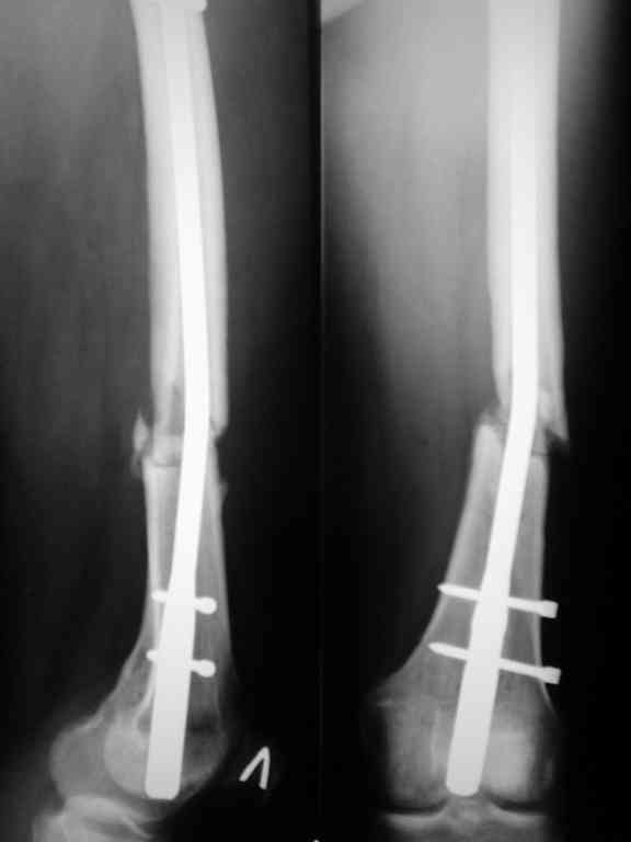
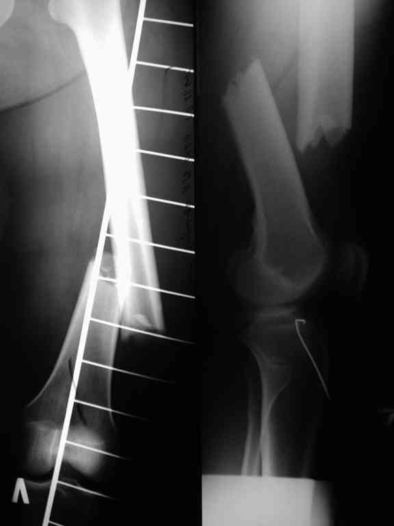
При первичном интрамедуллярном остеосинтезе применялся блокируемый гвоздь диаметром 9 мм ретроградно. У пациентки узкий костномозговой канал, поэтому были сложности (рассверливали долговато). Что касается разреза то его длина была 3-4 см не более. Т.е. насчет девитализации я согласен, но именно за счет рассверливания.
Винты с внутренней стороны кости фиксируют трансплантат, взятый из гребня подвздошной кости. Он довольно массивный и был уложен в дефект по передне-медиальной поверхности кости. тут уж пришлось действительно открываться на совесть.

Винить больную в несоблюдении режима не могу, женщина весьма ответственная и в своем выздоровнении заинтересованная.

Вариант интрамедуллярного остеоснтеза мы рассматриваем. Обсуждается еще одно предложение - удаление сломанной пластины и аппарат (стержневой) на компрессию.

Спасибо за комментарий

А.Ситник




В приложении рентгенограмма бедра за авгутст 2005 с согнутым гвоздем и первичные.

  • Сообщения о Help
  • Также А Ситник
  • Связаться с автором
  • Ответить

    Re: Несращение бедренной кости
    Alexaander Chelnokov 24 Сентябрь 2006, 21:38
    > когда открывали область перелома при интрамедуллярном остеосинтезе" ? - но как это можно
    > определить по снимкам, да еще и выполненным через 20 месяцев после первичной операции)


    Отсутствие сращения косвенно говорит об этом. Хотя, судя по снимкам со стержнем, вероятны и другие проблемы. Раз есть диастаз - надо динамизировать стержень практически сразу, недели в 2-4 после остеосинтеза, а раз уж сращения в динамике не выявляется, зачем было с динамизацией ждать больше 2 мес.?

    > При первичном интрамедуллярном остеосинтезе применялся блокируемый
    > гвоздь диаметром 9 мм ретроградно. У пациентки узкий костномозговой
    > канал, поэтому были сложности (рассверливали долговато).


    Мы перестали последние годы применять столь тонкие бедренные гвозди, т.е. встречаемость проблем с ними выше. 10 мм минимум, только в основном у молодежи, остальным потолще. "Рассверливали долговато" - что за трудности подразумеваются?

    > Что касается разреза то его длина была 3-4 см не более. Т.е. насчет
    > девитализации я согласен, но именно за счет рассверливания.


    Чтобы рассверливание обусловило несращение, надо сверлить невесть чем и как, чтобы вызвать термический некроз на всю толщину кости. Так что в рассверливании искать источник бед я бы не стал. Проблемы обычно бывают от скелетирования кости. Плюс оставлен диастаз (мальротация?). Да и функция/нагрузка конечности были долго ограничены, что тоже неполезно.

    > гребня подвздошной кости. Он довольно массивный и был уложен в
    > дефект по передне-медиальной поверхности кости. тут уж пришлось
    > действительно открываться на совесть.


    Обычно достаточно закрыто перештифтовать стержнем большего диаметра, рассверлив канал. Зачем перешли на пластину?

    > Винить больную в несоблюдении режима не могу, женщина весьма

    Состоятельный остеосинтез при диафизарных переломах не должен бы требовать какого-то специального режима, разве что движения в колене восстанавливать поскорее. Если не обеспечивается ходьба без ограничения нагрузки - "фтопку" такой остеосинтез.

    > Вариант интрамедуллярного остеоснтеза мы рассматриваем. Обсуждается
    > еще одно предложение - удаление сломанной пластины и аппарат


    Вариант с аппаратом вполне рабочий, даже пластину можно не удалять, но - все известные минусы аппаратного лечения, плюс иной раз рефрактуры после снятия. Так что IMHO думать тут особо не о чем. Раз нет инфекции, то мы бы малоинвазивно убрали пластину и винты, да и заштифтовали бы с рассверливанием, динамически сразу. Раз уже делали через колено - то новй канал тогда и не делать.
    Успехов!
    [ Ответить ]

    • Re: Несращение бедренной кости
      Отправитель: Александр Артемьев 24 Сентябрь 2006, 22:10
      Много всего наговорили...
      Усложнили Вы всё с пластиками, переходом одного остеосинтеза на другой и пр...
      Надо выйти из этой ситуации с наименьшими усилиями.
      Вижу несколько вариантов.
      1. Запретить нагрузки, перейти на костыли, возможно - наложить лонгету. Через 2-3 мес - всё срастется.
      2. Самый простой внешний остеосинтез - монолатеральный по наружной поврехности. Два винта сверху, два снизу - соедините планкой от аппарата. Результат в те же сроки.
      3. Интрамедуллярный остоеосинтез - если ещё не наигрались...
      Начните с простого, честное слово...

      С уважением Александр Артемьев

      [ Ответить ]
      • Re: Несращение бедренной кости
        Отправитель: Alexaander Chelnokov 25 Сентябрь 2006, 00:37
        > Усложнили Вы всё с пластиками, переходом одного остеосинтеза на другой и пр...

        Эт точно.

        > Надо выйти из этой ситуации с наименьшими усилиями.

        Это если главное сейчас видеть в том, чтобы не перегреться от усилий.
        Если же основная задача видится в том, чтобы максимально быстро обеспечить независимость пациента с опороспособной и функционально пригодной конечностью, причем без риска рефрактур, то предпочтения в выборе тактики могут поменяться.

        > 1. Запретить нагрузки, перейти на костыли, возможно - наложить
        [...]
        > аппарата. Результат в те же сроки.


        Оба этих пути как минимум отсрочивают нормальное использование конечности и независимость пациента на месяцы, а то и желаемый результат опять могут не обеспечить, плюс создать проблемы с движениями в колене.

        > 3. Интрамедуллярный остоеосинтез - если ещё не наигрались...

        Саша, у нас на сегодня более 60 интрамедуллярных остеосинтезов после неудач накостного - люди не просто ходят, а выходят на работу через 6-8 недель после реостеосинтеза.

        > Начните с простого, честное слово...

        Если пациент готов "лечиться, лечиться и лечиться", то выжидательная тактика оправдана.

        [ Ответить ]

     

    ( Ответить )

    Powered by Zope  Squishdot Powered MedLink
    Посетитель: 0406299
      "По форме правильно, а по существу - издевательство" В.И.Ленин
    ©2001-2019Orthoforum Coordinator.
    [ Главная | Отправить сообщение | Поиск | Админ ]