AOTRAUMA.ORG Центр Илизарова  

Ортопедия и травматология Общие вопросы/General questions Help Информационные технологии в медицине
 вверх
 отправить
 поиск
 админ
 главная


Какой способ лечения наиболее приемлем в данном случае
Ортопедия и травматология Отправлено Русецкий Вячеслав Юрьевич 01 Ноябрь 2006, 23:27
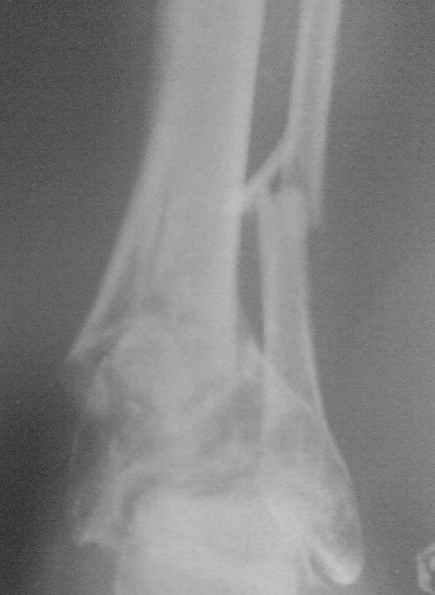
Уважаемые коллеги! В данном случае пациенту был наложен аппарат Илизарова, который через три месяца был снят из-за нагноения мягких тканей вокруг спиц.Ранняя нагрузка привела к смещению.
Какой выход из данной ситуации? Заранее благодарен.

<  |  >

 

  • Сообщения о Ортопедия и травматология
  • Также Русецкий Вячеслав Юрьевич
  • Связаться с автором
  • Ответить

    Re: Какой способ лечения наиболее приемлем в данном случае
    katsevman haim israel 02 Ноябрь 2006, 21:23
    po moemu mneniu nuzna otkrytaia repositia chtoby osvezit perelom - plata DCP na fibula, idealno LCP na tibia + bone graft iliac . gips .
    [ Ответить ]

    Re: Какой способ лечения наиболее приемлем в данно
    Alexander Chelnokov 02 Ноябрь 2006, 22:57
    По-моему, одномоментная репозиция тут и трудна, и есть риск - и инфекции, и неудачной репозиции, и несостоятельности фиксации. Ситуация идеальна для аппарата - несколько спиц с упорами в дистальный
    эпиметафиз и через обе кости, 2-3 стержня 6 мм в диафиз, fibula если прихватилась - пересечь, потом дистракция и устранение угла на шарнирах. После восстановления оси и длины будет момент подумать, оставить ли в аппарате до конца, или перейти на ту или иную внутреннюю фиксацию.
    [ Ответить ]

    Re: Какой способ лечения наиболее приемлем в данном случае
    Максимов Сергей 03 Ноябрь 2006, 02:15
    Как всегда мало информации... какое состояние м\т сейчас? Нагноение даже нескольких спиц аппарата еще не повод для его демонтажа, можно было перепровести часть спиц или сохранить минимальную, "стабилизирующею" компоновку аппарата (?). Может была опасность генерализации процесса? ЧКОС используется (и является методом выбора) в том числе и при лечение остеомиелита.
    По представленным данным, я бы выбрал ЧКОС, но для "свободы" коррекции на аппарате резецировал бы участок малоберцовой кости в области перелома 2-3 см. После устранения угловой деформации на шарнирах, попытался бы лечить перелом дистракционно-компрессионным методом.
    С уважением, Сергей.

    [ Ответить ]

    • Re: Какой способ лечения наиболее приемлем в данном случае
      Отправитель: Вячеслав Русецкий 03 Ноябрь 2006, 19:59
      Благодарю за отзывы! Есть мнение, что в этой ситуации было бы резонно дать отсрочку на 1-2 месяца, т.к. остеопороз дистального отломка довольно выраженный и отек не меньше. После этого пойти открыто: остеотомия и накостный остеосинтез. А воспалительный процесс купирован.

      [ Ответить ]
      • Re: Какой способ лечения наиболее приемлем в данно
        Отправитель: Alexander Chelnokov 03 Ноябрь 2006, 20:30
        ВР> Благодарю за отзывы! Есть мнение, что в этой ситуации было бы резонно
        ВР> дать отсрочку на 1-2 месяца, т.к. остеопороз дистального отломка
        ВР> довольно выраженный и отек не меньше.


        И какую проблему решит отсрочка? Пациент уже и так потерял несколько месяцев на лечение, надо ли и дальше "растягивать удовольствие"? Иммобилизационный остеопороз за это время не исчезнет, разве только усугубится. Отек пройдет, стоит начать дистракцию.

        ВР> После этого пойти открыто: остеотомия и накостный остеосинтез.

        И чем тут предпочтительнее более инвазивная операция и травматичная одномоментная корркция? Это куда более рискованно. И при этой локализации, да в остеопорозе, накостный фиксатор даже с угловой стабильностью не всякий еще удержит. Если уж пластиной заканчивать, то лучше сделать малоинвазивно, для чего предварительно аппаратом
        восстановить длину и ось.

        ВР> А воспалительный процесс купирован.

        Это хорошо при любом дальнейшем варианте.


        [ Ответить ]
        • Re: Какой способ лечения наиболее приемлем в данно
          Отправитель: Вячеслав Русецкий 03 Ноябрь 2006, 22:09
          Благодарю за уделенное мне внимание, с вами согласен

          [ Ответить ]
        • Re: Какой способ лечения наиболее приемлем в данно
          Отправитель: дмитрий бондарь 03 Ноябрь 2006, 22:28
          АВФ,АВФ и еще раз АВФ!!!Отсрочка смысла не имеет,пороз только усугубиться-однозначно.Зачем открывать,если можно сделать закрыто?Отек исчезнет после репозиции и создания более-менее стабильной фиксации(закон природы.Лазить в такие отломки открыто-неприятно(по собственному опыту)Однажды залез 3 часа му...чился,а потом 8 месяцев ждал сращения и восстанавливал функцию.
          Так что (IMHO)АВФ,ну возможно глазным долотом остеотомия,репозиция,фиксация.Максимально атравматично.
          С уважением Д.Б.


          [ Ответить ]
    Re: Какой способ лечения наиболее приемлем в данном случае
    Роман Дендымарченко 03 Ноябрь 2006, 22:53
    Если было нагноение вокруг спиц, то при внутренней фиксации вероятность его еще больше, сколько бы времени ни прошло. В этой связи метод выбора - остеотомия и аппарат Илизарова
    [ Ответить ]

    Re: Какой способ лечения наиболее приемлем в данном случае
    Odessky Jacob M.D. 04 Ноябрь 2006, 00:51
    Уважаемые коллеги!
    Маловато информации, только один снимок в прямой проекции, не пойму есть сращение или нет???
    В любом случае оставлять так не гоже.
    В случае если нет сращения, я бы наложил либо классический аппарат Илизирова, либо гексаподный аппарат Илизарова. Малоберцовую кость надо разъединить, деформацию править постепенно.
    В случае если есть сращение - остеотомия обеих костей на вершине деформации.
    Пользуясь случаем позволю себе представить вам, уважаемые коллеги "гексаподный аппарат Илизарова"
    Гексапод представляет собой кинематический механизм, реализующий движения в 3-х мерном пространстве с помощью изменения длины 6-и стержней, закрепленных к 2-м платформам. Этот механизм хорошо известен в технике и применяется для имитации полётов, к примеру.
    Эта система была впервые представлена в Гамбурге 11 лет назад и разработана доктором Сейде и профессором Волтером.
    Гексапод сет для аппарата Илизарова состоит из 6-и телескопических стержней с переменной длиной от 105 до 240 мм, 6-и У-образных адапторов, измерительной линейки и компьютерной программы.
    У-образные адапторы подходят для всех размеров и типов колец аппарата Илизарова и свободно распределяются по кольцам. Шаровидное соединение адапторов с телескопическими стержнями придает прочность системе.Программа очень проста и не требует подключения к интернету. Базовые данные включают размеры колец, положение У-адапторов на кольцах и размеры дистракционных стержней. После введения в компьютер этих данных, программа выдает положение проксимального кольца относительно дистального. Средина дистального кольца является центром отсчёта, относительно этой точки вводится в программу место расположения оси исправления деформации или репозиции и ее величины последовательно во всех плоскостях относительно 3-х осей в 6-и степенях свободы. После соотвтетсвующей обработки, компьютер выдаёт программу, дающую возможность с точностью до 1 градуса и 1 мм. производить закрытые манипуляции с фрагментами!!!
    Нет необходимости накладывать гексаподный вариант в операционной, перевод классического аппарата Илизарова в его гексаподный вариант и наоборот занимает всего 15-20 минут. Поэтому имея 3-4 гексаподных сета, можно лечить с их помощью большое колличество пациентов. К примеру, за последние 2 года у нас в клинике было сделано 40 случаев с применением гексаподного аппарата Илизарова, при этом в первый год у меня было 2 сета, во второй добавился ещё один!
    Добавление гексаподного сета к аппарату Илизарова сохраняет все его преимущества, но придаёт ему аккуратность, благодаря компьютерной поддержке, упрощает его применение, добовляет елегантность в работу с ним!!!
    Я очень рекомендую вам всем взять его на вооружение!!!С уважением!!!
    Dear colleges! I would like to present an Ilizarov Hexapod Apparatus.

    The Hexapod represents the kinematic mechanism that realizes the three dimensional movements by different lengths of the six distractors connected to the two platforms. It's well known in technique and uses for imitation of flying and other machines.
    The system has been developed in Germany and first presented at the Ilizarov meeting in 1995 by Dr. K. Seideand prof Wolter. It consists of six telescopic distractors of varying length from 105-240 mm, 6 y adaptors, a measuring stick and software. The Y adaptors can be utilized with all types of the Ilizarov rings. It is possible to place the adaptors freely along the rings as necessary. The connection between the Y adaptors and the distractors is through a universal ball and socket joints. The software is very simple to use and does not need any connection to the Internet. The base data needed includes the diameter of the upper and lower rings, the positions of the Y adaptors on each ring and the length of the distraction rods. After the input of this data into the computer, the program shows the initial position of center of the upper ring in relation to the lower. From this point, all adjustments are made with specific reference to the central point of the lower ring, since this ring remains in a static position. All adjustments can be in three planes. The CORA is entered in relation to the center of the distal ring and the desired correction entered into the computer.
    The software then makes the appropriate adjustments for deformity correction consistently for each plane according to the plan developed on the basis of the malalignment test along three axes with six degrees of freedom.
    The software displays a plan for correction detailing the steps according to the surgeons input of the number of days and steps desired. Beyond this, the software determines the final length of the distractors and the changes between the rings so that the progress and changes can be monitored to assure that the changes have occurred appropriately along the scheduled plan.
    There is no necessity to establish Hexapod in operation room, it application and removal is quick, taking only about fifteen minutes for each procedure, and is pain-free.
    After removal, it is possible to put it to the following patient, thus, having 3-4 Hexapod sets it is possible to treat consistently big number of patients. I, for example for a year having 3 sets, have applied them 40 times.
    The addition of the Hexapod set to standard Ilizarov apparatus preserves the independence and universality of the original system while enabling precision accurate corrections of deformity through its software support. It is simple, easy and economically effective. And I recommend it for use very much.
    Кликните для загрузки файла 6_resize.jpg
    57KB (58533 bytes)

    [ Ответить ]

    • Re: Какой способ лечения наиболее приемлем в данно
      Отправитель: Никита Заднепровский 04 Ноябрь 2006, 14:17
      Очень интересно. Если есть возможность, покажите адапторы крупным планом. Картинки размыты и детали не просматриваются, но в целом идея понятна. По-моему, уже была Ваша презентация гексаподобного аппарата в апреле этого года, но тема не прошла должного обсуждения и развития (Ilizarov vs Orthofix)на Форуме среди российских коллег.

      Подскажите адрес где можно "вооружиться" сетами и самой программой?


      С уважением, Заднепровский Никита Николаевич

      [ Ответить ]
      • Re: Какой способ лечения наиболее приемлем в данно
        Отправитель: Odessky Jacob M.D. 04 Ноябрь 2006, 21:57
        Уважаемый Никита!
        Я вышлю Вам на электронную почту несколько файлов о Гексаподном аппарате Илизарова.
        Файлы большие, послать их на форум не могу. Только что говорил с Александром Челноковым - он обещал поместить их на форуме. А пока всем, кто интересуется этой системой - могу послать на электронную почту.
        23-24 февраля 2007 в Гамбурге будет проходить учёбы на рабочем месте, где Вы сможете научиться применять эту систему.
        С уважением!!!


        [ Ответить ]
        • Re: Какой способ лечения наиболее приемлем в данно
          Отправитель: Георгий Голубев 05 Ноябрь 2006, 10:45
          Уважаемый Яков,
          Был бы рад ознакомиться с имеющимися у Вас материалами
          С уважением,
          Г. Голубев

          [ Ответить ]
        • Re: Какой способ лечения наиболее приемлем в данно
          Отправитель: Ринат Н. Рахматуллин 06 Ноябрь 2006, 18:37
          Прошу выслать информацию на адрес inatufa(at)ufacom.ru, спасибо

          [ Ответить ]
        • Re: Какой способ лечения наиболее приемлем в данно
          Отправитель: Алексей Семенистый 06 Ноябрь 2006, 18:38
          Уважаемый Jacob, очень интересная информация, если не затруднит вышлите и на salut.13(at)mail.ru. Да, и если можно, по-подробнее про то, что и где будет в Гамбурге.

          С уважкнием А.Семенистый

          [ Ответить ]
        • Re: Какой способ лечения наиболее приемлем в данно
          Отправитель: Alexander Zolotov 06 Ноябрь 2006, 18:38
          Глубокоуважаемый Odessky Jacob M.D.,

          Не могли бы Вы выслать информацию на адрес dalex(at)mail.primorye.ru

          [ Ответить ]
        • Re: Какой способ лечения наиболее приемлем в данно
          Отправитель: Alexander Chelnokov 06 Ноябрь 2006, 18:40
          Мини-лекция Я.Одесского про гексаподный аппарат переверстана из громоздких файлов Word и находится тут.

          [ Ответить ]
          • Re: Какой способ лечения наиболее приемлем в данно
            Отправитель: Jacob Odessky 06 Ноябрь 2006, 19:34
            Thank you very much!!!

            [ Ответить ]
            • Re: Какой способ лечения наиболее приемлем в данно
              Отправитель: Alexaander Chelnokov 06 Ноябрь 2006, 19:34
              На моем месте так поступил бы каждый! ;-)

              [ Ответить ]

     

    ( Ответить )

    Powered by Zope  Squishdot Powered MedLink
    Посетитель: 0000025
      "По форме правильно, а по существу - издевательство" В.И.Ленин
    ©2001-2019Orthoforum Coordinator.
    [ Главная | Отправить сообщение | Поиск | Админ ]