Ответить
|
Re: Стоит ли фиксировать брейсом?
Alexander Chelnokov 06 Ноябрь 2006, 19:23
|
КА> Как альтернатива "гаражной ортопедии" предлагается ретроградный синтез
КА> расширяющимся штифтом Fixion с блокированием.I
Почем он сегодня продается в России?
Отечественные гвозди, вполне удовлетворительно решающие проблему переломов типа обсуждаемого, стоят 2-4 тыс. руб., т.е. $80-150.
КА> В этом случае отпадет необходимость в т.н. "подгонке" штифта под
КА> больного.
Разве его раздуванием не достигается как раз "подгонка штифта под больного"?
КА> Материалы по штифту на Novomed2000(at)mail.ru.
Вы не ошиблись, давая адрес e-mail, а не ссылку на веб-страницу?
КА> Первые имплантации данных штифтов в России уже успешно проведены.
А где их используют? Много ли операций сделано? А можно посмотреть на клинические примеры?
КА> Данный штифт применяется как экспертный имплант
Что такое "экспертый имплант"?
КА> после ранее проведенных операций, в том числе и с использованием
КА> стандартных strong nales.
В принципе, любой блокируемый стержень соответствующего диаметра можно использовать как ревизионный, в том числе и после надувных штифтов Fixion ;-)
Есть ли результаты исследований, показывающих преимущества Fixion nails перед "стандартными strong nails" в виде лучших результатов, меньшего числе осложнений, более раннего восстановления способности нагружать конечность, меньшего числа реостеосинтезов? Буду признателен за ссылки.
|
[
Ответить ]
|
Re: Стоит ли фиксировать брейсом?
Отправитель: Sadovnik Igor 07 Ноябрь 2006, 02:16
|
Уважаемый Александр, в продолжение Вашего замечания по поводу "Отечественных гвоздей", которые удовлетворительно решают проблему, может быть, Вы смогли бы указать на гвозди, которые решают проблему хорошо или даже отлично?
Может быть, Вам известно, сколько "стоит" "ковыряние" в дистальном отделе с направителем и без,пять инцизий вместо одной или дополнительное облучение,а также необходимость удалять винты, когда они приросли так, что нужны фрезы или "случайно обломались головки" при удалении, а как ломаются отечественные шурупы знают, наверно, не все.
Может быть, Вы считали, сколько "стоит" каждая минута операционного времени, не для врача, но для больного в плане осложнений?
Да и зачем все эти новые технологии, если есть "Отечественные стержни"?
|
[
Ответить ]
|
Re: Стоит ли фиксировать брейсом?
Отправитель: Alexander Chelnokov 07 Ноябрь 2006, 09:50
|
SI> проблему, может быть, Вы смогли бы указать на гвозди, которые
SI> решают проблему хорошо или даже отлично?
Если подразумевается именно ретроградный остеосинтез бедра при подобном (не самом низком) переломе у пациента крупного сложения, то это любой бедренный гвоздь диаметром 11 мм и более, с запирающими винтами больше 5 мм. Пример такого а этом обсуждении приводился. Очень удобно использовать и большеберцовый гвоздь, опять же, диаметром не 10 мм, чтобы запирающие винты можно было бы тоже взять 6 мм.
SI> Может быть, Вам известно, сколько "стоит" "ковыряние" в
SI> дистальном отделе с направителем и без,пять инцизий вместо одной
Мы как раз в основном пользуемся отечественными фиксаторами, делаем эти операции более 5 лет. Полагали, что уже практически на все "грабли" наступили, но Вы упоминаете нечто новое. Пожалуйста, поподробнее, если можно, про эти проблемы.
Мы практически всегда делаем ретроградный остеосинтез бедра через разрез 1,5 см. До разреза вводим спицу в intercondylar notch по направлению канала. Убедившись по обеим проекциям, что она находится там, где надо, делаем прокол и используем канюлированное шило 13 мм.
SI> или дополнительное облучение,
Это отдельная проблема, и она не очень зависит от модели фиксатора. Какое облучение еще основное, а какое уже дополнительное, насколько и чем оно опасно - эти и смежные вопросы нас еще волнуют, но уже не тревожат.
SI> а также необходимость удалять винты, когда они приросли так, что
SI> нужны фрезы
Недавно была такая проблема с гвоздем Grosse-Kempf, поставленным во Франции года 4 назад, один винт убрали, второй не смогли. Наверно, это бывает и при использовании титановых фиксаторов через большой срок. А в основном с этой проблемой приходится сталкиваться при удалении пластин при несращениях, когда многие винты сломаны.
SI> или "случайно обломались головки" при удалении, а как ломаются
SI> отечественные шурупы знают, наверно, не все.
Это встречали на кортикальных винтах, на запирающих не доводилось даже диаметром 4 мм. И даже их мы больше не используем, в основном 6 мм и реже 5 мм. Да и вообще удаления - не самая актуальная проблема, удаляем от силы ~7-8% гвоздей.
SI> Может быть, Вы считали, сколько "стоит" каждая минута
SI> операционного времени, не для врача, но для больного в плане осложнений?
Это, наверно, больше актуально для открытых обширных операций. При закрытом интрамедуллярном остеосинтезе - в этом плане как раз практически проблем нет. Основные потери времени - репозиция при поздних операциях, формирование канала там, где его нет (псевдартрозы, неправильно сросшиеся etc).
SI> Да и зачем все эти новые технологии, если есть "Отечественные стержни"?
Во-1-х, не все новое хорошо, и не все хорошее ново. Про проблемы с Fixion уже были публикации, посмотрите хотя бы здесь
Во-2-х, "новизна" многих железок - больше маркетинговые ухищрения, чем реально новые и значимо полезные свойства.
В-3-х, отечественные разработки есть тоже недавние (в т.ч. вышеупомянутые MetaDiaFix, например), которые учитывают недостатки прежних конструкций, в том числе и не отечественных.
|
[
Ответить ]
|
Re: Стоит ли фиксировать брейсом?
Отправитель: Коваленко А.Н. 07 Ноябрь 2006, 13:28
|
Глубокоуваемый Игороь Садовник, зачем так нагнетать страсти? Проблема состоит в оснащенности клиник, а не в том, чьего производства фиксатор. У нас в клинике тоже отсутсвует ЭОП. Поэтому чаще пользуемся импортными канюлированными конструкциями, и завидуем тем у кого есть отечественные винты 6 мм из-за возможности ранней послеоперационной нагрузки. Бедро/голень/плечо занимают 1.5-2 часа, если сплошной гвоздь время операции на бедре удваевается, на плече/голени практически нет. Открываемся редко в тяжелых несвежих случаях. Дистальное блокирование с направителем, промахи были в первых нескольких случаях,когда больного снимали со стола, сейчас без блокирования штифт не остается. Основаное время операции занимает попадание проводником в дистальный от точки взода отломок + Рг.
Попутно, разрешите поделится опытом закрытого ретроградного синтеза бедра. Внедрение тяжелая штука, пости года 2 прошло со времени обучения методике. Использовать/убедить использовать дистрактор на бедре/голени удавалось редко. Отлично дистрактор прижился на плече. Зав. отделением не знал точного плана операции(поэтому не смог помешать).Стокнулись со следующей проблемой - при попытке устранить ротацию теряли длину, при дистракиции получали ротацию, при чем при ротации телескопы очень плотно давят на бедро. Больная с ожирением, на ощупь проводили спицу проксимальной опоры, пульсацию бедренной артерии для ориентира определить не возможно. Проксимально латеральный телескоп все время оказывался длиннее, чем надо, меняли его положение.Не смотря на все это, считаю, без дистрактора данная операция заркрыто не возможна , особенно в наших условиях.
Успешный опыт пользвания дистрактором есть(я сам видел, не видел бы- бросил бы попытки пользования дистрактором). Пожалуйста, укажите на допущенные ошибки. Спасибо.

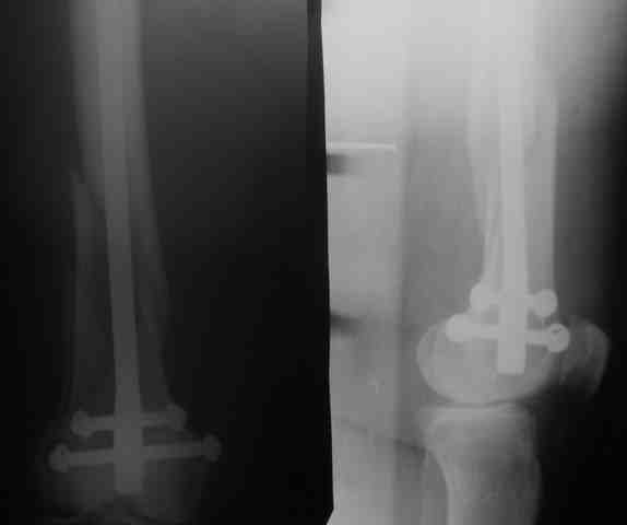
Рг в приложении.
|
[
Ответить ]
|
Re: Стоит ли фиксировать брейсом?
Отправитель: Игорь Садовник 07 Ноябрь 2006, 18:39
|
Увжаемый г.Коваленко,
Благодарю Вас за подробное письмо и прошу меня извинить, если тон моего замечания показался Вам слишком резким. Меня обеспокоило отношение к новым технологиям, которые являются, в какой то степени, новыми решениями все тех же проблем. Появление более сложных устройств и преодоление каких-то дополнительных барьеров никаким образом не отменяют достижений полученных на определенном этапе развития травматологической мысли. И если что то можно сделать более просто хорошо и быстро, то почему бы этому не быть примененным. Операция при использовании фиксиона занимает до 20 минут на
голени, примерно столько же на плече, ну а на бедре зависит конечно от репозиции.
Другое дело, что применим фиксион не во всех случаях.
Буду рад, если мое письмо хоть как то Вас заинтересовало. Возможно более полную информацию Вы могли бы получить у доктора Карпухина, который
единственный, как я знаю. на сегодняшний день имеет опыт такого остеосинтеза в России и у компании "Орто Прайм" в Казани, которая является поставщиком этих устройств.
С уважением,
Игорь Садовник
|
[
Ответить ]
|
Re: Стоит ли фиксировать брейсом?
Отправитель: Alexander Chelnokov 07 Ноябрь 2006, 19:17
|
Приветствую, Антон
КАН> нагрузки. Бедро/голень/плечо занимают 1.5-2 часа, если сплошной
КАН> гвоздь, время операции на бедре удваевается,
Если пообщаться с коллегами, которые имеют давний опыт работы с бесканальыми гвоздями, например, из Ярославля, или с пользователями гвоздей SIGN по всему миру, они скажут, что задержек из-за этого не всречают.
КАН> практически нет. Открываемся редко в тяжелых несвежих случаях.
Если нет ЭОП, нет умения/желания/возможности зондировать концы отломков иглами или тонкими спицами, то небольшой разрез над переломом для пальцевого контроля прохождения фиксатора или проводника не создает проблем.
КАН> бедра. Внедрение тяжелая штука, пости года 2 прошло со времени
КАН> обучения методике.
Приезжайте еще ;-)
КАН> Зав. отделением не знал точного плана операции(поэтому не смог
КАН> помешать).
;-))) Ох, прочитают это ему доброжелатели...
КАН> ротацию теряли длину, при дистракиции получали ротацию, при чем при
КАН> ротации телескопы очень плотно давят на бедро.
В следующий раз сделайте фото в операционной, можно будет более конкретно подсказать. Желательно стержни фиксировать так, чтобы усилия распределялось равномерно. Спицу в дистальной опоре крепить посредине дуги. Прксимальную спицу - ближе к краям дуги, отверстие в 3-4. И ве
затяуть перед основной дистракцией. Иногда мы делаем четвертый телескоп снаружи - от центра верхней дуги к центру дистальной, по диагонали к имеющмся. Надо будет попробовать поставить стержни а ля гексапод.
КАН> Больная с ожирением, на ощупь проводили спицу проксимальной
КАН> опоры, пульсацию бедренной артерии для ориентира определить не
КАН> возможно.
Если пациент на спине, спица вводится спереди назад (не наклонно изнутри кнаружи!), и спица попадает на кость, артерия всегда сильно
медиальнее. И седалищный нерв.
КАН> Проксимально латеральный телескоп все время оказывался длиннее,
КАН> чем надо, меняли его положение.
При ретроградном можно сделать проксимальную часть вообще без шарниров, то есть не наклонять дугу к бедру, тогда спицу тоже закрепить ближе к середине дуги. Мы пользуемся уже собранным дистрактором, поэтму, чтобы не переделывать, оставляем его таким, как для антеградного.
КАН> Не смотря на все это, считаю, без дистрактора данная
КАН> операция заркрыто не возможна , особенно в наших условиях.
Не так категорично - без дистрактора она труднее и травматичнее, да и промежностным упором можно раздавить все, что есть.
КАН> допущенные ошибки. Спасибо. Рг в приложении.
Снимки вполне симпатичные. Единственное, по ротации не понял, уж больно неразборчивый тот, который без гвоздя.
|
[
Ответить ]
|
Re: Стоит ли фиксировать брейсом?
Отправитель: Альмир Михеев 07 Ноябрь 2006, 20:51
|
Игорь,
у Вас не совсем верная информация. Доктор Карпухин не единственный.
В настоящий момент Fixion успешно имплантируется в клиниках Тольятти, Ульяновска, Нижнекамска, Зеленодольска, Казани. Отзывы оперирующих специалистов более чем положительные.
Вскоре ожидаются имплантации в Уфе, Москве и Санкт-Петербурге (инструменты и импланты им уже высланы).
К концу года я размещу в сети полный отчет о проделанных операциях и их результатах.
Сейчас уже можно получить DVD с записями некоторых операций.
Михеев Альмир
Оrtho Prime
|
[
Ответить ]
|
|
( Ответить )
|
|