вверх
отправить
поиск
админ
главная
Предыдущее
|
Re: Перелом лопатки, ключицы, ребер
А.Миронов 09 Декабрь 2006, 08:40
|
Мы в таких случаях оперируем в 2-а этапа:
1. Стабилизация грудной клетки(фиксируем ребра по одной из линий рекон. LCP)
2. Остеосинтез лопатки из заднего доступа(рекон.LCP, LC-LCP 3,5мм, Т-обр.LCP 3,5мм); ключицу стандартно

А.Миронов
|
|
|
Ответить
|
Re: Перелом лопатки, ключицы, ребер
Дрягин 11 Декабрь 2006, 20:38
|
Очень интересно, если есть рентген ребер покажите.С уважением Дрягин
|
[
Ответить ]
|
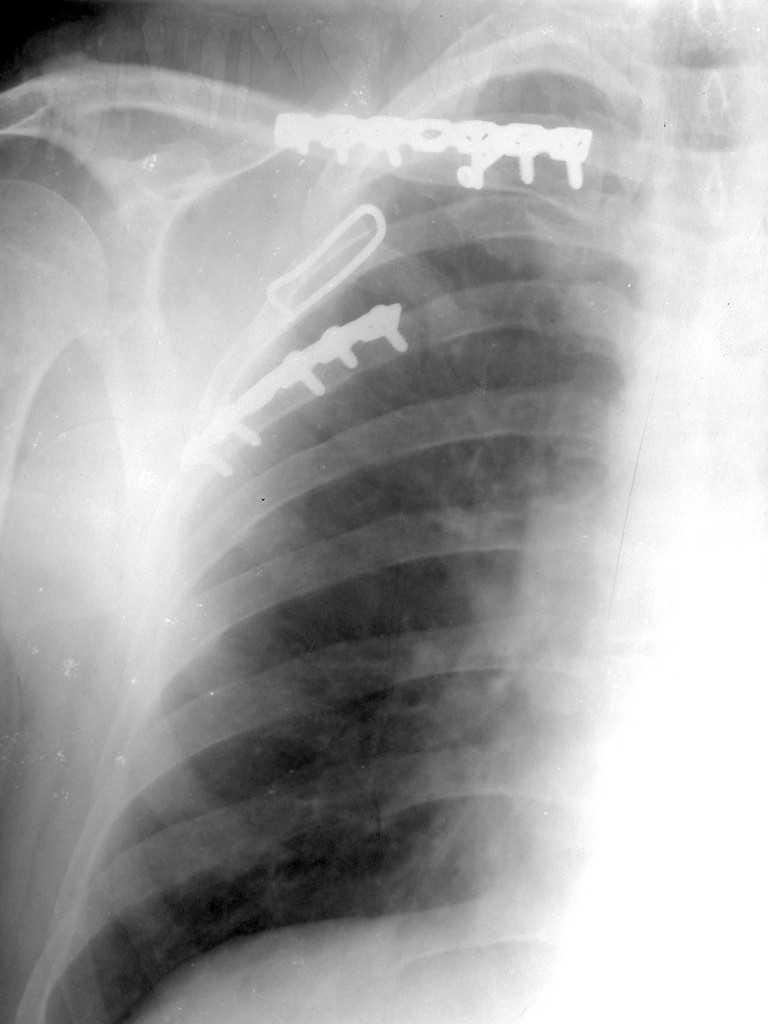
Re: Перелом лопатки, ключицы, ребер
Отправитель: А.МИронов 12 Декабрь 2006, 20:10
|
Здравствуйте Виталий Геннадьевич!
К сожелению доктор который занимается грудной клеткой в отпуске, у себя нашёл только вот этот снимок

С Уважением А.Миронов
|
[
Ответить ]
|
|
( Ответить )
|
|