ВХОД ДЛЯ ПАЦИЕНТОВ
вверх
поиск
админ
главная
исходное
|
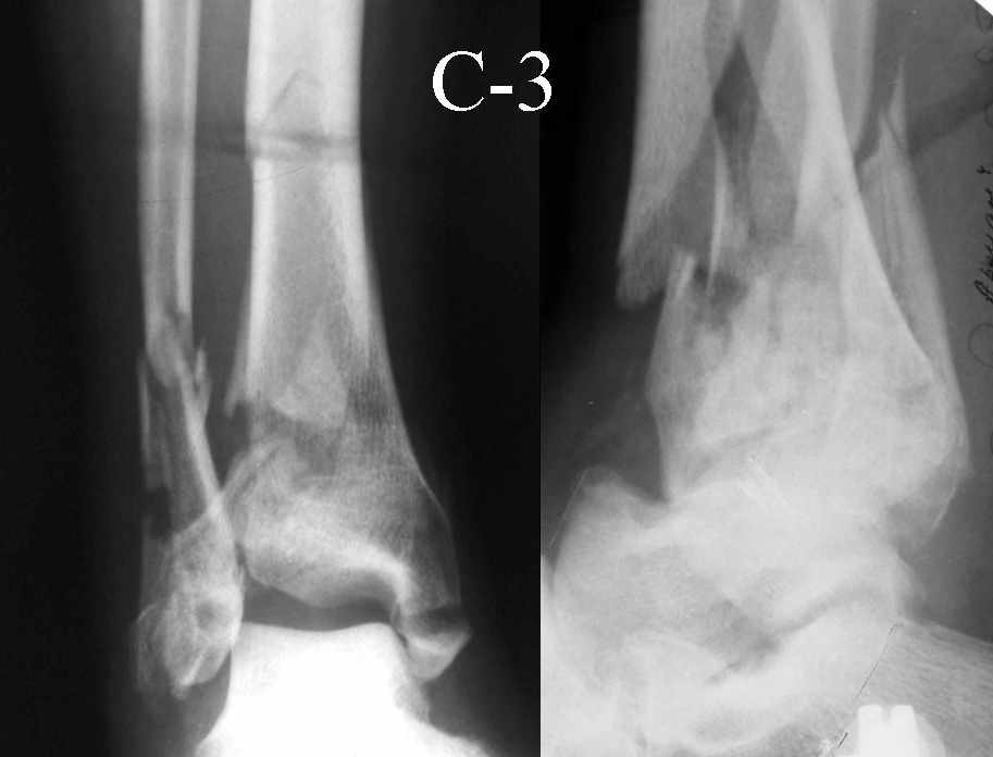
Re: Perelom N/3 kostei goleny
послал Дрягин В. 03 Январь 2007, 19:06
|
Это типичный перелом пилона, который надп лечить только открыто.Извини те что опоздал к обсуждению, но даже если вы уже оперировали больного по Илизарову это даже лучше.Посылаю картинки.

Дрягин
|
| Послать ответ |
Обратите внимание: Поля с жирными названиями обязательны.
Старайтесь отвечать в рамках обсуждаемой темы, а не начинать новые обсуждения.
Указывайте адекватную тему сообщения, чтобы было ясно, о чем оно.
Не послайте сообщений не по теме (оффтопик), раздраженных, грубых или обидных комментариев. Здесь это неуместно.
|