Ответить
|
Re: Perelom N/3 kostei goleny
ерохин александр 29 Декабрь 2006, 15:24
|
По Илизарову.
|
[
Ответить ]
|
Re: Perelom N/3 kostei goleny
Djoldas Kuldjanov, M.D. 29 Декабрь 2006, 18:44
|
Срочный лигаментотаксис аппаратом наружной фиксации из двух колец или Spanning ExFix.
После дистракции, сделанная Компьютерная томограмма подскажет расположения внутрисуставных фрагментов.
После спадения отека, обычно через 5-7 дней на дистальном внутрисуставном отделе, лимитированный остеосинтез, компрессия с помощью межфрагментарных спиц или каннюлированными шурупами.
Учитывая, что перелом многооскольчатый и с внутренним отслоением от мягких ткани, напоминяющий "мешок костей", опасность осложнения при открытом методе фиксации, поэтому можно было бы ограничится аппаратом Илизарова.
|
[
Ответить ]
|
Re: Perelom N/3 kostei goleny
Отправитель: Castro 31 Декабрь 2006, 00:07
|
Zdrastvuete Dr. Kuldjanov,
Davno mi s Vami ni obshalis', tak hochitsa no vremia prosto ni umolimo idet: traumatologia, semia, kucha drugih del i poluchaetsa kak govoril stray russky drug: "iz-za itoi pianky nikogda stakan vina vipit'"... sposiba za sovet, yours Castro
|
[
Ответить ]
|
|
Re: Perelom N/3 kostei goleny
дмитрий бондарь 29 Декабрь 2006, 22:02
|
С НОвым годом,коллеги ! В даннем случае открывать перелом не стоит . Я бы поставил аппарат , как советуют коллеги , в проксимальном и дистальном кольцах - перекрест спиц , дистракция , сосудистая терапия , восстановить длину и ось , а когда мягкие ткани нормализуются , по возможности восстановить суставную поверхность ,если получится , то открыто . Можно зараннее предусмотреть "Пустые" кольца для репонирующих спиц . Возможен некроз кожи !!!
Д.Б.
|
[
Ответить ]
|
Re: Perelom N/3 kostei goleny
Отправитель: Alexaander Chelnokov 30 Декабрь 2006, 01:07
|
> сосудистая терапия,
Дмитирий, надо ли индуцировать отечественными мифами коллег в Иордании...
> если получится, то открыто.
Открыто - если не получится закрыто.
|
[
Ответить ]
|
Re: Perelom N/3 kostei goleny
Отправитель: дмитрий бондарь 31 Декабрь 2006, 09:39
|
С хирургами (неконтролировано (попробовали Алпростан . кровоснабжение (к сожалению пока субъективно) улучшилось
С уважением Д.Б.
|
[
Ответить ]
|
Re: Perelom N/3 kostei goleny
Отправитель: Alexaander Chelnokov 31 Декабрь 2006, 10:59
|
В статьях и руководствах, которые отражают куда более высокий уровень при лечении такхи повреждений, чем в xUSSR, про "сосудистую терапию" ничего не встречается. При попытках расспросить западных коллег - удивленные вопросы типа "откуда вы это взяли?".
У больного с травмой нет той сосудистой патологии, при которой доказана польза простагландина E1. Далеко не факт, что косвенный показатель (увеличение количества прокачиваемой через сегмент крови) коррелирует с клинически значимыми при травме - снижение числа ампутаций, улучшение результатов лечения, сокращение его длительности, снижение числа осложнений и т.д.
Прежде, чем что-то "пробовать", стоит убедиться, что польза воздействия доказана именно при лечении переломов. И доказзательства получены в двойных слепых исследованиях с рандомизацией. Пока, очевидно, прстагландины просто включены в давний миф о пользе "сосудистой терапии" при травмах. А в случае с алпростаном этот миф еще и недешев - например, у нас упаковка стоит ~$250(!).
|
[
Ответить ]
|
Re: Perelom N/3 kostei goleny
Отправитель: Castro 31 Декабрь 2006, 12:38
|
Uvazaemy Dr. Dmitry,
Ito slozno dokazat', ochen' slozno, malo togo Vi ni znaete sostoianii krovosnobzenie u bolnogo do traumy, poetomu vse ito tak, kak Vi skazali Subjectivno!
Castro
|
[
Ответить ]
|
Re: Perelom N/3 kostei goleny
Отправитель: Castro 31 Декабрь 2006, 00:10
|
ok, on sutky polezal na skeletal traction, i za tem bilo vipolnena EX.FIX apparatom Ilizarova
sposibo
|
[
Ответить ]
|
|
Re: Perelom N/3 kostei goleny
Alexaander Chelnokov 30 Декабрь 2006, 01:06
|
К сказанному коллегой Кульджановым практически нечего добавить. Задача - восстановить суставную площадку. Удастся это сделать аппаратом закрыто только за счет лигаментотаксиса - замечательно. КТ поможет оценить ситуацию и спланировать дальнейшие действия. Может быть, получится спицами-джойстиками сделать окончательную репозицию, возможно, понадобится открыться и подправить, может быть, понадобится аутотрансплантат... Какие у Вас собственные планы?
|
[
Ответить ]
|
Re: Perelom N/3 kostei goleny
Отправитель: Castro 30 Декабрь 2006, 23:59
|
Sposibo vsem.
Plany takie kak govorili vse- Ex.Fix, to chto bilo vipolnenno vchera, on bil' na skeletnom vitiazenii 28 chasov pered' itim, chto ze kassaeysa {{надо ли индуцировать отечественными мифами коллег в Иордании...}}} to dumaio DA!
Castro
|
[
Ответить ]
|
|
Re: Perelom N/3 kostei goleny
Дрягин В. 03 Январь 2007, 19:06
|
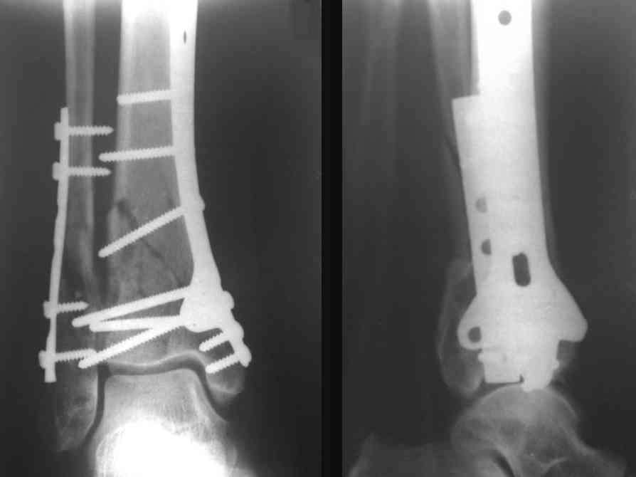
Это типичный перелом пилона, который надп лечить только открыто.Извини те что опоздал к обсуждению, но даже если вы уже оперировали больного по Илизарову это даже лучше.Посылаю картинки.

Дрягин
|
[
Ответить ]
|
Re: Perelom N/3 kostei goleny
Дрягин В. 03 Январь 2007, 19:11
|
Посмотрим вроде прошло если понравится напишите расскажу как это сделать.По принципам АО кстати при поступлении сначала восстанавливают длину малоберцовой кости фиксируют пластиной 1/3 трубки потом накладывают аппарат наружной фиксации и через 7-10 дней открыто восстанавливают большеберцовую кость.С уважением Дрягин
|
[
Ответить ]
|
Re: Perelom N/3 kostei goleny
Отправитель: Дрягин В. 04 Январь 2007, 08:51
|
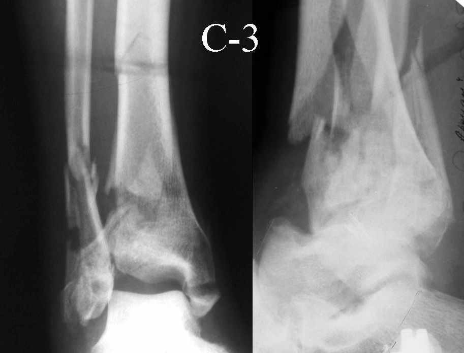
На рентгенограммах типичный перелом пилона по типу С-3. есть опыт до 100 открытых опреаций у нас в клинике. 20 примерно в год. Принцип один -все внутрисуставные переломы нуждаются в открытой репозиции и внутренней стабильной фиксации. При поступлении КТ не надо, так как получается только нагромождение костей. Истинной картины нет. Главное восстановить длину малоберцовой кости - это ключ к успеху. При поступлении меньше всего надо думать о сосудистых расстройствах, т.к. сама операция и репозиция даже сначала частичная даёт улучшение сосудитых нарушений. Причём очень быстро. Операция в 2этапа. При поступлении доступ позади наружной лодыжки, причём обязательно. После этого репозиция малоберцовой кости и фиксация пластиной 1/3 трубки под винт 3,5. Дренаж и любой аппарат наружной фиксации. Затем после спадения отёка на 5-7-10 день аппрат снимается и дугообразный разрез спереди от медиальной лодыжки 10-12 см. Главной чтобы расстояние между 1 и вторым разрезом было не меньше 7-8 см. Тогда не будет некрозов лоскутов. Таранная кость используется как матрица на неё укладываются отломки и фиксируются пицами. Ренг-контроль. Отломки лежат все отдельно, но ничего не высыпется. При переломах С-3 всегда нужна костная пластика (из крыла). Фиксация пластиной лист клевера простой или LCP. Гипс не нужен. Дренаж до 48 часов. Операция длится 3-4 часа обязательно без жгута. Посылаю примерно такой же случай.

|
[
Ответить ]
|
Re: Perelom N/3 kostei goleny
Отправитель: Alexaander Chelnokov 04 Январь 2007, 13:48
|
Спасибо за то, что поделились своим немалым опытом, за очень интересную презантацию.
> Принцип один - все внутрисуставные переломы нуждаются в открытой
> репозиции и внутренней стабильной фиксации.
Принципиально все же, наверно, хорошее восстановление формы суставной поверхности. На именно внутренней фиксации тут свет клином не сошелся. Хорошо известно, что при переломах пилона широко применяются и аппараты (циркулярные или гибридные), и комбинация внешней фиксации с минимальной внутренней.
> Главное восстановить длину малоберцовой кости - это ключ к успеху.
Это, наверно, больше критично при лечении с использованием внутренней фиксации, причем с репозицией "на руках".
> Операция в 2 этапа. При поступлении доступ позади наружной лодыжки,
> причём обязательно. После этого репозиция малоберцовой кости и
> фиксация пластиной 1/3 трубки под винт 3,5. Дренаж и любой аппарат
> наружной фиксации.
До попыток репозиции взаимоотношения наружной лодыжки и тарана правильные практически всегда, так что достаточно до дистракции ввести спицу через нее и блок тарана. При последующей дистракции за стопу длина и ось малоберцовой кости замечательно восстановятся.
|
[
Ответить ]
|
Re: Perelom N/3 kostei goleny
Отправитель: Evgueny Tchekashkine 04 Январь 2007, 18:22
|
Уважаемый Доктор Дрягин,
Спасибо за убедительную и оптимистичную презентацию. двухэтапная стабилизация и реконструкция С3 тиб. пилона с ранней мобилизацией сустава оправдана практическим опытом и признана оптимальной тактикой ведения
больных с этим типом повреждения. К сожалению, следует признать, что далеко не всегда удается восстановить абсолютную конгруэнтность суставной
поверхности б\б кости, поэтому отдалённая функциональная перспектива такого сустава неопределённа. Но на сегодня ничего лучшего пока не придумано и чем чаще этот подход будет применяться, тем меньше проблем возникнет у больных, лечённых альтернативными методами. Согласен с вами, что стоит пытаться
реконструировать перелом , чем идти на первичный артродез, который сделать никогда не поздно. Технологии развиваются и очень важно сохранить bone stock, anatomical alignment, поврежденный хрящ замещается либо пластикой, либо ограниченным resurfacing - главное у больного остается выбор( если возможности позволяют: сегодня их может не быть, а завтра появятся - кто знает:-)).
Дальнейших успехов и было бы неплохо, если бы вы поделились отдалёнными результатами своих оперированных 100 пациентов.
Всего доброго,
Евгений И. Чекашкин
|
[
Ответить ]
|
Re: Perelom N/3 kostei goleny
Отправитель: Дрягин В. 04 Январь 2007, 09:00
|
Ещё есть одна проблема когда есть перелом малоберцовой кость, то всё ясно. А когда малоберцовая кость не повреждена, то сразу накладывается аппрат наружной фиксации при поступлении, чтобы как бы перерастянуть отломки и главное убрать вальгусное или варусное смещение, а потом на 5-7 день открыто большеберцовая кость восстанавливается и фиксируется пластиной. С уважением Дрягин
|
[
Ответить ]
|
Re: Perelom N/3 kostei goleny
Отправитель: Дрягин В. 04 Январь 2007, 09:01
|
Послала ещё два снимка, если не пройдут, пошлю ещё. Дрягин. Если есть вопросы, готов ответить.

|
[
Ответить ]
|
Re: Perelom N/3 kostei goleny
Отправитель: Дрягин В. 04 Январь 2007, 13:23
|
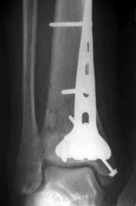
Посылаю результат лечения предыдущего больного через год.

С уважением Дрягин
|
[
Ответить ]
|
Re: Perelom N/3 kostei goleny
Отправитель: Дрягин В. 04 Январь 2007, 13:28
|
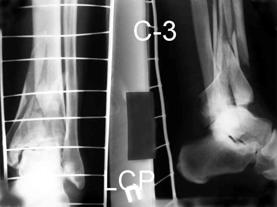
Кстати, при переломах переднего края по классификации АО В-3 при переломах пилона пластина укладывается по передней поверхности. Она достаточно тонкая и эластичная, не надо этого бояться. Посылаю три снимка.

|
[
Ответить ]
|
|
Re: Perelom N/3 kostei goleny
Алексей В 04 Январь 2007, 14:31
|
Большое спасибо за предоставленный материал, желаю Вам успехов в новом году.
|
[
Ответить ]
|
Re: Perelom N/3 kostei goleny
Castro 05 Январь 2007, 01:27
|
OK, Dr Driagin,
Ja operiroval bolnogo po Vashemu, hotia sam ni ochen' ubezden' v itom, t.k. bolnoi otkazalsa na proch' ot ex.fix, ja emu sdelal ORIF + Kostnia plastika, snimky prelogiottsa,

Isskrenny Vash Castro
|
[
Ответить ]
|
Re: Perelom N/3 kostei goleny
Castro 05 Январь 2007, 13:45
|
uvazeamy Dr. Driagin
segodnia na pereviazky koza naprezena, preshlos' sdelat' nadsechky, kak bi ee nicroz ni nachilsa, vot pochemu ni lublu otkrito vmeshatsa zdes',
|
[
Ответить ]
|
( Ответить )
|
|