ВХОД ДЛЯ ПАЦИЕНТОВ
вверх
поиск
админ
главная
исходное
последующие
|
Re: Perelom N/3 kostei goleny
послал Дрягин В. 04 Январь 2007, 13:28
|
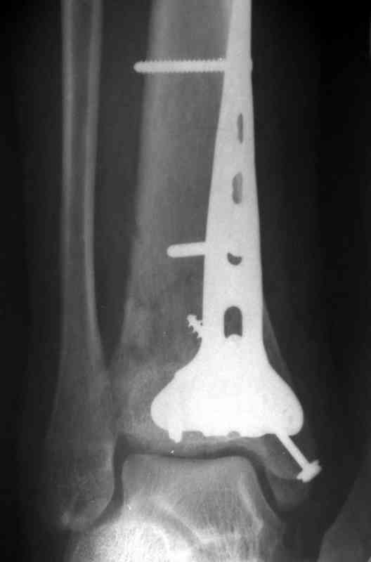
Кстати, при переломах переднего края по классификации АО В-3 при переломах пилона пластина укладывается по передней поверхности. Она достаточно тонкая и эластичная, не надо этого бояться. Посылаю три снимка.

|
| Послать ответ |
Обратите внимание: Поля с жирными названиями обязательны.
Старайтесь отвечать в рамках обсуждаемой темы, а не начинать новые обсуждения.
Указывайте адекватную тему сообщения, чтобы было ясно, о чем оно.
Не послайте сообщений не по теме (оффтопик), раздраженных, грубых или обидных комментариев. Здесь это неуместно.
|