вверх
отправить
поиск
админ
главная
|
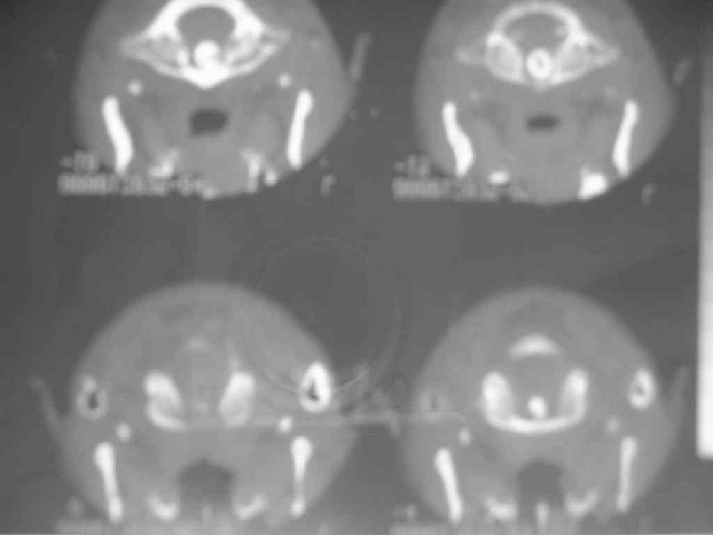
Перелом тела С-2 , вывих С-1 |
 |
 |
 |
Отправлено В.Машталов 12 Январь 2007, 19:57 БСМП2 Ростов-на-Дону
Ув. коллеги хочу поделиться достаточно интересным случаям. Больной 57 лет обратился в приемное отделение больницы.Доставлен СП из травпункта.Бал засыпан грунтом в карьере на свалке, самостоятельно откопася, прошел пешком более 10 км до травмпункта ,фиксировав шею руками и большим шарфом, отсидел в очереди, сделал снимки и как "хрустальный" доставлен в больницу.Осмотрен нейрохирургом и ввиду полного отсуствия неврологичесой симптоматики передан для госпитализации в травматологическое отделение, где после долгих уговоров уложен на вытяжение петлей Глиссона ( от большего кат. отказался).Из вещей при себе имел томик библии.
<
|
>
|
|
Ответить
|
Re: Перелом тела С-2 , вывих С-1
Зинчук 12 Январь 2007, 20:56
|
...пути Господни не исповедимы...
А снимки можно посмотреть?
|
[
Ответить ]
|
Re: Перелом тела С-2 , вывих С-1
Сергей В. Аржанухин 13 Январь 2007, 13:53
|
Здравствуйте, уважаемые коллеги!
на сколько я смог разглядеть по представленным рентгеннограммам у Вашего пациента имеется т.н. Базальный, опрокидывающий трансдентальный подвывих атланта 3-ст. АКДСН-3.(по В.А. Моисеенко)
при подобных повреждениях показана биполярная галлотракция. Если Ваш пациент категорично отказивается, можно в сежих случаях выполниь закрытую репозицию, предварительно сделайте снимок через рот может быть еще и боковое смежение,с последующей фиксацией торококраниальной гипсовой повязкой до 3-4 мес.
Подобные переломы сростаются обычно хорошо. в условиях галлотракции 5-6 недель после окончательной репозиции. А вытяжение петлей мало эффективно,мягко говоря.
Еще раз переговорите свашим пациентом. УДАЧИ!
|
[
Ответить ]
|
Re: Перелом тела С-2 , вывих С-1
О.А.Евсеев 15 Январь 2007, 22:35
|
Обычно ,самозакапывание было характерно для представителей верующих - старообрядцев, а ваш "старообрядец" почему-то с библией - "...вот что крест животворящий делает!" :))
|
[
Ответить ]
|
( Ответить )
|
|