AOTRAUMA.ORG Центр Илизарова  

Ортопедия и травматология Общие вопросы/General questions Help Информационные технологии в медицине
 вверх
 отправить
 поиск
 админ
 главная


Травма 2,3 пальцев кисти
Ортопедия и травматология Отправлено Максим Страхов 02 Февраль 2007, 20:40
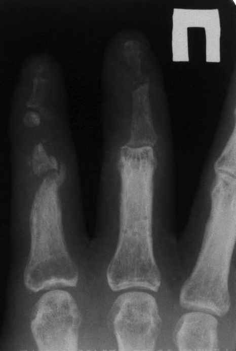
Уважаемые коллеги!На представленных снимках пальцы правой кисти мужчины 42 года через 3 месяца после травмы циркулярной пилой.
Качательные движения в проксимальном м/ф суставе 3 пальца. Нарушены все виды захвата, в которых принимают участие 2 и 3 пальцы. Кожные покровы с большими рубцами по тыльной и боковой поверхности пальцев. Ни магистральный кровоток, ни микроциркуляция специальными методами не оценивались. Косвенно о трофических нарушениях свидетельствует распространенный остеопороз дистальных фаланг и очаговый остеопороз основных фаланг и головок пястных костей, причиной которого возможно является и длительная иммобилизация в аппарате внешней фиксации. Чувствительных нарушений нет.
В профессиональном плане нуждается в восстановлении крючковидного захвата, оппоненции, функции письма.
Самостоятельно консультировался с врачами в г.Челябинске, Екатеринбурге, через интернет.
Планируем: 3 палец - открытый артродез дистального м/ф сустава с минимальной фиксацией спицей, тенолиз и разработка проксимального сустава (по этому пальцу в общем тактика ясна). 2 палец - обсуждается два варианта тактики:
1. Остеотомия основной фаланги, с последующей дистракцией в аппарате и удлинением последней до дистального м/ф сустава. Далее снова остеотомия - или неартроз, или эндопротез проксимального сустава, тенолиз. (Недостаток - будет потеряно время для восстановления функции сухожилий)
2. Костная пластика средней фаланги, одновременно тенолиз, артродез дистального м/ф сустава, разработка захватов. (Недостаток - опасаемся возможного некроза трансплантата вследствие ангиотрофических нарушений)Буду признателен за высказанные на форуме мнения по поводу пациента.
С уважением Страхов Максим Алексеевич, г.Москва

<  |  >

 

  • Сообщения о Ортопедия и травматология
  • Также Максим Страхов
  • Связаться с автором
  • Ответить

    Re: Травма 2,3 пальцев кисти
    Савранский Александр 03 Февраль 2007, 01:57
    На мой взгляд при ангиотрофических проблемах- предложенные варианты могут не привести к желаемому результату,возможно быстрее добиться удовлетворительной функции получится,если удалить дистальные отломки и провести артролиз с тенолизом,затем ранняя гимнастика.Оставшихся фаланг будет достаточно для определенной функции захвата.
    [ Ответить ]

    Re: Травма 2,3 пальцев кисти
    dr katsevman, hand surgery dep, tel-a-shomer ноsp,Israel 08 Февраль 2007, 01:04
    по моему мнению У 2 пальца нет шансов на выздоровление. Вложите усилия в 3 и сделайте ампутацию 2 го ряда и восстановите прекрасный крючковидный захват,хороший косметический результат,уменьшите страдания б-го и расходы на реконструктиное лечение результат которого предсказуем.

    [ Ответить ]

    Re: Травма 2,3 пальцев кисти
    Забалуев Костантин Владимирович 08 Февраль 2007, 17:29
    однозначно согласен с тем, что за палец поборОться стОит, все-таки 2ой ))
    из предложенных вариантов более реальным видится второй. только предлагаю слишком не торопиться, а сначала по максимуму компенсировать трофику, если это возможно. а если не возможно - то увы, присоединяюсь к мнению предыдущих ораторов.
    удачи!
    [ Ответить ]

    Re: Травма 2,3 пальцев кисти
    Шихалева Наталья 08 Февраль 2007, 20:34
    Уважаемый коллега!
    Очень хорошо, что Вы представили ренгенограммы, но плохо, что нет фотографий кисти, т.к. при лечении больных с последствиями повреждений циркулярной пилой на первое место выходит не костная патология, а застарелые повреждения мягкотканных структур.
    В нашем центре мы очень давно занимаемся удлинением костей кисти врожденного и приобретенного генеза. Поэтому в данном случае (судя только по рентгенограмме) мы бы отложили оперативное лечение на 6-7 месяцев, т.к. при выраженном остеопорозе и формирование регенерата идет очень плохо, и ваши спицы, поскольку опять же остеопороз, могут легко вырезаться, рубцы неэластичные, нельзя исключить дремлющую инфекцию. До этого времени больному назначаем консервативную реабилитацию кисти.
    [ Ответить ]


    ( Ответить )

    Powered by Zope  Squishdot Powered MedLink
    Посетитель: 0179819
      "По форме правильно, а по существу - издевательство" В.И.Ленин
    ©2001-2019Orthoforum Coordinator.
    [ Главная | Отправить сообщение | Поиск | Админ ]