AOTRAUMA.ORG Центр Илизарова  

Ортопедия и травматология Общие вопросы/General questions Help Информационные технологии в медицине
 вверх
 отправить
 поиск
 админ
 главная
 Предыдущее


Re: Неправильно консолидирующий перелом
Сувалян Микаэл 02 Апрель 2007, 17:29
Учитывая смещения отомков по длине (хоть и 1,5 см, но все же..), очевидное ротационное смещение (видно даже по Р-мам) самым правильным, на мой взгляд, решением было бы: наложение аппарата Илизарова на бедро с остеотомией бедренной кости и исправлением ротационной деформации. Дистракция на аппрате пару недель и последующий блокирующий остеосинтез. У нас в клинике был один пациент с практически идентичной историей (укорочение конечности было значительно больше), которому мы выполнили такую операцию (блокирующий остеосинтез был выполнен без рассверливания костно-мозгового канала). В настоящее время больной работает, прыгает с парашютом, периодически звонит и благодарит за лечение.
Все это, безусловно, трудоемко, как для медперсонала, так и для пациента, но это самый оптимальный вариант (ИМХО).
При желании могу выслать Р-мы и фотографии пациента.

П.с.: Речи о накостном остеосинтезе, на мой взгляд, не должно быть (учитывая остеопороз и др. факторы).

П.п.с: ...а блокируемые штифты имеются в наличии в Вашей клинике?
  • Сообщения о Ортопедия и травматология
  • Также Сувалян Микаэл
  • Связаться с автором
  • Ответить

    Re: Неправильно консолидирующий перелом
    Alexander Chelnokov 02 Апрель 2007, 22:28
    СМ> на мой взгляд, решением было бы: наложение аппарата Илизарова на бедро

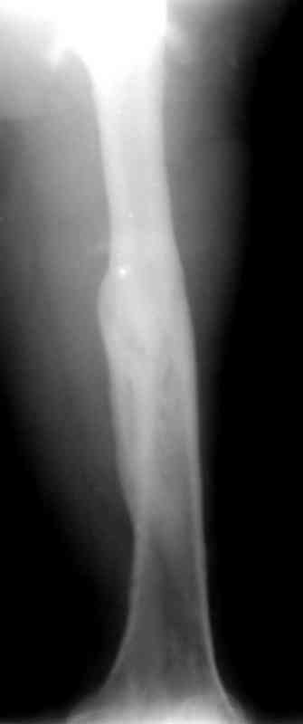
    Вполне работоспособный вариант, хотя он здесь, скорее всего, избыточен - при таком небольшом укорочении. По снимку не видно, за счет чего здесь могло бы иметься значительное укорочение.

    СМ> При желании могу выслать Р-мы и фотографии пациента.

    Конечно, интересно.

    СМ> П.с.: Речи о накостном остеосинтезе, на мой взгляд, не должно быть
    СМ> (учитывая остеопороз и др. факторы).


    Выбор зависит и от доступного на месте, и от навыков в той или иной методике. Пластина с костной пластикой - конечно, менее предпочтительный вариант в такой ситуации, чем штифт с блокированием, но и такой подход, и аппарат, могут обеспечить окончательный результат в виде сращения. Хотя и "дороже" - и более трудоемко, и травматично, и для функции колена менее благоприятно, и нагрузку полную позже, и риск неудачи выше, и т.д.

    [ Ответить ]

    Re: Неправильно консолидирующий перелом
    Виктор 03 Апрель 2007, 17:03
    Буду благодарен за высланные материалы!
    Я так понял, в Вашем случае была исправлена только ротация или вальгус тоже?
    По вопросу наличия штифтов - доступно многое, вопрос только в выборе методики, наиболее гарантироющей
    выравнивание конечности и обеспечивающей срост. Чтоб решить проблему один раз - без последующих переделок.
    [ Ответить ]

    • Re: Неправильно консолидирующий перелом
      Отправитель: Alexander Chelnokov 03 Апрель 2007, 18:55
      Несколько обсуждений на подобные темы см.
      http://weborto.net/forum/1158873835/
      http://weborto.net/forum/1142229024/,
      http://weborto.net/forum/1075265258/

      [ Ответить ]
    • Re: Неправильно консолидирующий перелом
      Отправитель: Микаэл Сувалян 04 Апрель 2007, 11:43


      История больного, о котором я говорил выше. Не удивляйтесь изложенному
      материалу (выдержка из диссертационной работы).

      Больной А., 28 лет, поступил в НИИ им. Н.В. Склифосовского 22.12.99 после падения на улице. Жалобы на боли в области левого тазобедренного сустава и левом бедре. Из анамнеза следовало, что 20.06 во время прыжка с парашютом у него возник закрытый оскольчатый перелом средней трети левой бедренной кости со смещением отломков, по поводу чего в одной из ЦРБ Московской области через 3 дня после травмы был произведен открытый интрамедуллярный остеосинтез штифтом типа Кюнчера.
      Послеоперационное течение было гладким. Больной ходил при помощи костылей с дозированной нагрузкой на оперированную конечность.При осмотре в НИИ им. Н.В. Склифосовского через 6 месяцев после травмы:
      левое бедро и левый коленный сустав несколько увеличены в объеме, отечны, пальпаторно определяется болезненность в средней трети бедра;
      по его наружной поверхности послеоперационный рубец - рана зажила первичным натяжением. При измерении длины бедер обнаружено укорочение левого бедра на 4,5 см. На рентгенограммах этого бедра: ось конечности правильная, отмечается захождение основных костных фрагментов по длине, проксимальный конец штифта выступает слишком медиально и высоко относительно большого вертела, периостальная мозоль незначительна.22.12 - через 6 месяцев после операции, произведенной в ЦРБ, нами по поводу замедленно консолидирующего перелома левой бедренной кости с ее абсолютным укорочением под наркозом произведена операция: удаление штифта, закрытый блокирующий интрамедуллярный остеосинтез перелома левого бедра штифтом без рассверливания (UFN) длиной 40 см, диаметром 10 мм с блокированием только проксимальных отверстий (динамический остеосинтез). Наложен аппарат Илизарова на 4 полукольцах с целью удлинения укороченного бедра. Послеоперационное течение без особенностей. Ежедневно осуществляли дистракцию отломков на 1 мм. Через 3 недели после операции больной выпи-сан на амбулаторное лечение с продолжением дистракции отломков. В течение 1,5
      месяцев дистракции укорочение левого бедра удалось полностью устранить. 22.02.00, т.е. через 2 месяца после повторного остеосинтеза, больному произведено дистальное блокирование штифта двумя винтами и демонтирован аппарат Илизарова. В течение 2 недель после операции больной ходил с помощью костылей, потом 2 недели с тростью. Опороспособность и функция оперированной конечности полностью восстановились через 4 недели после операции.
      Фиксаторы удалены через 12 месяцев после операции, выполненной по поводу замедленной консолидации перелома бедра с его укорочением.

      [ Ответить ]
      • Re: Неправильно консолидирующий перелом
        Отправитель: Игорь Сергеевич 05 Апрель 2007, 01:16
        Спасибо! Истинно мастерская работа. Представляю как счастлив пациент исходом этой истории.
        На финальных снимках видно - сращение прям таки железное. Если Вы не устали отвечать, осмелюсь задать еще вопрос - что-то принимал пациент в целях ускорения сроста (кальций, режим питания). Интересны также вопросы восстановления функций конечности - в какой период были рекомендованы группы упражнений для восстановления основных групп мышц?


        [ Ответить ]
        • Re: Неправильно консолидирующий перелом
          Отправитель: Alexaander Chelnokov 05 Апрель 2007, 15:24
          ИС> устали отвечать, осмелюсь задать еще вопрос - что-то принимал пациент
          ИС> в целях ускорения сроста (кальций, режим питания).


          Остается только удивляться стойкости этого мифа.
          Есть какой-то смысл при остеопорозе принимать бифосфонаты или соматотропин в сочетании с препаратами кальция - но только для профилактики последующих переломов. Не существует никаких
          "ускорительных" диет, и ни кальций, ни витамины к уже имеющемуся перелому отношения не имеют.

          ИС> Интересны также вопросы восстановления функций конечности - в
          ИС> какой период были рекомендованы группы упражнений для


          Функциональные ограничения исчезают немедленно после штифтования.
          Неограниченная нагрузка также возможна немедленно при условии, что использован гвоздь с запирающими винтами диаметром более 5 мм.


          [ Ответить ]

     

    ( Ответить )

    Powered by Zope  Squishdot Powered MedLink
    Посетитель: 0190704
      "По форме правильно, а по существу - издевательство" В.И.Ленин
    ©2001-2019Orthoforum Coordinator.
    [ Главная | Отправить сообщение | Поиск | Админ ]