вверх
отправить
поиск
админ
главная
|
импрессионный перелом головки бедра |
 |
 |
 |
Отправлено Гринь Алексей 01 Апрель 2007, 15:47 Тюмень
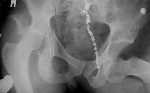
Уважаемые коллеги! Прошу посоветовать как лечить больного с двусторонним повреждением тазобедренных суставов. Пациент 30 лет поступил к нам в клинику по поводу закратого поперечного перелома свода, перелома задне -вехнего края правой вертлужной впадины, подвздошного вывиха правого бедра. Постравматического неврита правого седалищного нерва. Закрытого запирательного вывиха левого бедра. травма автодорожная 3 недели назад. Вправление вивихов при поступлении по месту жительства, получал скелетное вытяжение (слева в течении 2 недель).На контрольной Р-грамме обнаружена импрессия верхнего полюса головки левого бедра. Выполнено КТ.Планируем выполнить остеосинтез перелома правой ВВ наружным доступом.Подскажите пожалуйста, необходимо что либо предпринимать по поводу перелома головки левого бедра (в "Мюллере" описана костная пластика дефекта)? И как рано можно разрешить нагрузку на левую ногу.
<
|
>
|
|
Ответить
|
Re: импрессионный перелом головки бедра
Рунков А.В. 02 Апрель 2007, 11:35
|
Привет! Можно ничего не делать, нагрузка как при вправленном вывихе. Т.к. травма двусторонняя, я бы не нагружал до 4 мес.
С уважением РАВ
|
[
Ответить ]
|
Re: импрессионный перелом головки бедра
Svjatenko Vladimir 02 Апрель 2007, 22:28
|
Согласен, справа - остеосинтез, ревизия седалищного нерва через тот же доступ,наверно - задний,слева - ждать. Нагрузка не ранее 2х месяцев с костылями. Из личного опыта - при подобном переломе заднего края acetabulum осколок продольно повредил ( нанизал, но не разорвал )нерв на протяжении 3 cm,в результате - полное восстановление его около 5 месяцев. Успеха !
|
[
Ответить ]
|
Re: импрессионный перелом головки бедра
Гринь Алексей 03 Апрель 2007, 18:26
|
Сегодня выполнил остеосинтез повреждения праовй ВВ из стандартного задне-наружного доступа: задний край - реконструктивной пластиной, поперечный перелом компрессирующим винтом. линия поперечного перелома распологается на уровне ямки вертлужной впадины, но задний край занимает не менее 30%.
Так все-таки когда дать нагрузку? Через 4 или 2 месяц? И на какую ногу раньше; на левую, или на правую, или на обе одновременно?
С уважением Алексей.
P.S.: седалищный нерв макроскопически цел.
|
[
Ответить ]
|
Re: импрессионный перелом головки бедра
Отправитель: Svjatenko Vladimir 03 Апрель 2007, 20:24
|
До 2-х месяцев - полностью исключить нагрузку,в этот период - активные движения в суставах без нагрузки,потом постепенная нагрузка с костылями до 4-х месяцев, активнее нагружая левую ногу.
|
[
Ответить ]
|
Re: импрессионный перелом головки бедра
Отправитель: Рунков А.В. 04 Апрель 2007, 10:41
|
Не ранее 4х обе одновременно, если рентгенографически и клинически ноги одинаковые, если разные (контрактура, сужение щели, боли), то раньше на более здоровую.
У тебя помоему есть пособие по послеоперационному ведению. Так все так же тоько на двух ногах, с 3 мес подниматься на носочки, поднимать прямую ногу и т.д.
|
[
Ответить ]
|
Re: импрессионный перелом головки бедра
Отправитель: Гринь Алексей 05 Апрель 2007, 16:54
|
Уважаемые Владимир и РАВ, я все понял!
ЛФК с первого дня само собой, "суставы любят движения". Вставать рядом с постелью с целью ттренировки мышц и подготовки к хождению с 3 месяца. ходить при помощи костылей с 4 месяцев. Дальше как пойдет.
С уважением Алексей.
|
[
Ответить ]
|
|
( Ответить )
|
|