ВХОД ДЛЯ ПАЦИЕНТОВ
вверх
поиск
админ
главная
исходное
последующие
|
Re: Полер
послал Alexander Chelnokov 13 Апрель 2007, 21:38
|
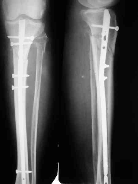
Спицы оставлять не надо. Надо их убрать, но перед этим ввести винт-poller. Такая необходимость возникает в редких случаях, когда можно ожидать смещения длинного отломка. Спицы из короткого отломка после введения запирающих винтов можно удалять без риска смещения.

В приложении пример, дистальный отломок пружинил кзади. Два винта потому, что первый оказался чуть кпереди и не упирался в гвоздь.
|
| Послать ответ |
Обратите внимание: Поля с жирными названиями обязательны.
Старайтесь отвечать в рамках обсуждаемой темы, а не начинать новые обсуждения.
Указывайте адекватную тему сообщения, чтобы было ясно, о чем оно.
Не послайте сообщений не по теме (оффтопик), раздраженных, грубых или обидных комментариев. Здесь это неуместно.
|