Ответить
|
Re: Полер
Alexander Chelnokov 13 Апрель 2007, 21:38
|
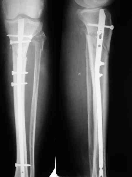
Спицы оставлять не надо. Надо их убрать, но перед этим ввести винт-poller. Такая необходимость возникает в редких случаях, когда можно ожидать смещения длинного отломка. Спицы из короткого отломка после введения запирающих винтов можно удалять без риска смещения.

В приложении пример, дистальный отломок пружинил кзади. Два винта потому, что первый оказался чуть кпереди и не упирался в гвоздь.
|
[
Ответить ]
|
Re: Полер
Отправитель: A Sitnik 14 Апрель 2007, 01:23
|
Cпасибо за комментарий, просто пару раз при замене спицы на винт ломал сверло - получалось poller-сверло :)
|
[
Ответить ]
|
|
( Ответить )
|
|