ВХОД ДЛЯ ПАЦИЕНТОВ
вверх
поиск
админ
главная
исходное
|
Re: Interesting case - what would you do? Knee val
послал Mangal Parihar 30 Апрель 2007, 17:18
|
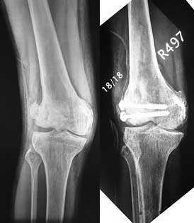
I opened it up from the lateral aspect.
Freed up the non-union site with minimal disturbance to the posterior and lateral soft tissue attachments on the lateral condyle fragment.
Applied a distractor between femoral shaft and tibia, to create a space on the lateral aspect.
This brought the lateral condylar fragment into a position that seemed to be reasonably well aligned, but showed up a bone gap.
This was fixed temporarily, bone grafted with tricortical struts, and fixed by two cancellous screws. The fragment was not large enough to afford any fixation to a plate or such implant, and the screws held it compressed well to the rest of the distal femur.
Post-op - limb is well aligned, rom 0-30, but I am not pushing that right now, for the next two or three weeks.

Further plan - hope that the screws hold the fragment appropriately till union, but if the stability on table is anything to judge by, that should not be a problem.
Quadricepsplasty after a year or so, to restore flexion.
Pictures attached.
Mangal Parihar
|
| Послать ответ |
Обратите внимание: Поля с жирными названиями обязательны.
Старайтесь отвечать в рамках обсуждаемой темы, а не начинать новые обсуждения.
Указывайте адекватную тему сообщения, чтобы было ясно, о чем оно.
Не послайте сообщений не по теме (оффтопик), раздраженных, грубых или обидных комментариев. Здесь это неуместно.
|