вверх
отправить
поиск
админ
главная
|
Interesting case - what would you do? Knee valgus |
 |
 |
 |
Отправлено Mangal Parihar 23 Апрель 2007, 23:53
Dear all,
This 20 year old patient sustained a fracture in the lower end of the femur, one and a half years ago, with a compound wound over the fracture area. Notes at that time mention a compound fracture dislocation, with a loss of part of the lateral condyle. This was treated by debridement, and external fixation. After two weeks, the lateral condyle (coronal fracture) was fixed by a screw and k wire in an AP direction.
At present, he has a valgus deformity of the knee, with 0-45 degrees of movt. The knee is stable to examination, could not be corrected to neutral from the existing valgus, and despite the deformity he is walking on it, albeit with pain and some difficulty.
He was referred to me for correction of his deformity.
More images follow in subsequent mails.
Any suggestions?
Mangal Parihar
<
|
>
|
|
Ответить
|
Re: Interesting case - what would you do? Knee val
Dr Abdelsalam EID 24 Апрель 2007, 00:53
|
Dear Mangal
I cannot make certain from the AP whether the screw and KW are still present. The lateral however shows that the lateral condyle was fixed with disregard to the bone defect. So it was proximally displaced in relation to the medial condyle with the resultant valgus. I would do an open wedge osteotomy with bone graft and internal fixation. However, this would require a precise estimate of the correction angle and placement of the fixation device. I would use a DCS.
I assume with your expertise in the Ilizarov system that you would do / have done a similar thing with gradual correction.
Best regards.
Dr Abdelsalam EID M.D., AFSA (Paris V)
AO Fellow
Lecturer of Orthopedic Surgery
Faculty of Medicine, Zagazig University,
Egypt.
|
[
Ответить ]
|
Re: Interesting case - what would you do? Knee val
Alexander Chelnokov 30 Апрель 2007, 15:59
|
What is knee ROM?
Options dependв on what is available - unicondylar knee arthroplasty, or extraarticular axial correction with ex-fix or a nail, ante- or retrograde, or locked plate.
|
[
Ответить ]
|
Re: Interesting case - what would you do? Knee val
Отправитель: Mangal Parihar 30 Апрель 2007, 16:02
|
alex,
knee rom is 0-45 deg.
is unicondylar really an option in a 20 year old (except for a diehard arthroplasty surgeon)
mangal parihar
|
[
Ответить ]
|
Re: Interesting case - what would you do? Knee val
Отправитель: Alexander Chelnokov 30 Апрель 2007, 16:12
|
MP> knee rom is 0-45 deg.
Is the patient satisfied with it?
MP> is unicondylar really an option in a 20 year old (except for a
MP> diehard arthroplasty surgeon)
Why not - the condyle looks too ugly. Though as Dr V. Iyer suggested extraarticular axial correction can be done first. Half a loaf is better than no bread.
|
[
Ответить ]
|
|
Re: Interesting case - what would you do? Knee val
V.M.Iyer 30 Апрель 2007, 16:05
|
Mangal,
Since there was no response at the indiaorth site I am writng my reply here.
The fracture is already 18 months old and it is going to be extremely difficult to reduce openly. The condyle may come in your hand. The step is at the intercodylar area My opinion would be not to bother about the fibrous union, remove the implant, do an exact closed wedge osteotomy, fix with an IMSC nail. The nail would enter thro the area of step. If the valgus has been corrected, the osteotomy fixed properly and the patient starts walking, most of the problema should be solved. You might even seen union across the condyles. ROM will improve with physiotherapy
Cheers
V M Iyer
|
[
Ответить ]
|
Re: Interesting case - what would you do? Knee val
Mangal Parihar 30 Апрель 2007, 17:18
|
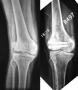
I opened it up from the lateral aspect.
Freed up the non-union site with minimal disturbance to the posterior and lateral soft tissue attachments on the lateral condyle fragment.
Applied a distractor between femoral shaft and tibia, to create a space on the lateral aspect.
This brought the lateral condylar fragment into a position that seemed to be reasonably well aligned, but showed up a bone gap.
This was fixed temporarily, bone grafted with tricortical struts, and fixed by two cancellous screws. The fragment was not large enough to afford any fixation to a plate or such implant, and the screws held it compressed well to the rest of the distal femur.
Post-op - limb is well aligned, rom 0-30, but I am not pushing that right now, for the next two or three weeks.

Further plan - hope that the screws hold the fragment appropriately till union, but if the stability on table is anything to judge by, that should not be a problem.
Quadricepsplasty after a year or so, to restore flexion.
Pictures attached.
Mangal Parihar
|
[
Ответить ]
|
Re: Interesting case - what would you do? Knee val
Отправитель: George Thomas 30 Апрель 2007, 22:26
|
A good job, though personally I would have preferred the screws a bit longer.
|
[
Ответить ]
|
Re: Interesting case - what would you do? Knee val
Отправитель: Alexander Chelnokov 30 Апрель 2007, 22:28
|
Good luck to the patient. Let's hope that the surgery still preserved enough vascularity for both fracture union and viable condyle.
|
[
Ответить ]
|
Re: Interesting case - what would you do? Knee val
Отправитель: Mangal Parihar 01 Май 2007, 11:43
|
thats alex's gentle way of saying "i dont think this will work"
:-)
and you may be right.......
my own experience with this kind of a case and this kind of reconstruction is this single case.
so we shall just wait and see, with fingers crossed.
will keep you posted with the further followup, irrespective of whether it succeeds or fails.
mangal parihar
|
[
Ответить ]
|
Re: Interesting case - what would you do? Knee val
Отправитель: Alexander Chelnokov 01 Май 2007, 12:02
|
Very probably you have done maximum of what could be done - accurate and low invasive indirect reduction, auto grafting, rigid fixation.
Really, such pattern is not weekly met. I'll check our clinical database - we had a similar nonunion 1=2 years ago.
|
[
Ответить ]
|
|
( Ответить )
|
|