вверх
отправить
поиск
админ
главная
|
Неправильно консолидированный перелом лодыжек |
 |
 |
 |
Отправлено Денис Магданов 06 Май 2007, 01:44
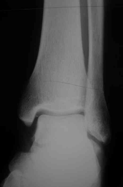
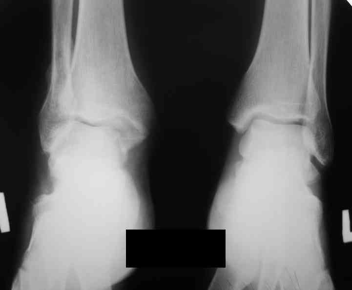
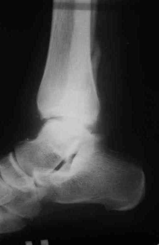
Уважаемые коллеги. Хотелось бы услышать ваше мнение по следующему случаю Обратился больной 23 года, травма 4 месяца назад - закрытый перелом наружной, внутренней лодыжки правой голени. Лечился консервативно, гипсовой иммобилизацией 8 недель, после снятия последней прошел курс восстановительного лечения. Беспокоят боли в области правого голеностопного сустава больше в проекции внутренней лодыжки, к вечеру. Отечность области сустава при физических нагрузках.Походка не изменена. Контуры правого голеностопного сустава сглажены. Имеется вальгусная установка правой пяточной кости. Объем движений в голеностопном суставе подошвенное / тыльное сгибание 50/0/80, безболезненные. Посоветуйте что делать в данной ситуации. Мне видится следующий вариант решения данной деформации: Восстановление нормальной анатомии голеностопного сустава - остеотомия малоберцовой кости и внутренней лодыжки, удалить все рубцы из области дистального межберцового синдесмоза, восстановить длину и устранить ротационное смещения наружной лодыжки.( встанет ли таранная кость на место?), фиксация наружной лодыжки пластиной, внутренней - винтами, дистального межберцового синдесмоза винтом. ЭОПом не располагаем. Что вы посоветуете? Где могут быть - технические трудности, <подводные камни>.
<
|
>
|
|
Ответить
|
Re: Неправильно консолидированный перелом лодыжек
алексей Семенистый 06 Май 2007, 23:47
|
Здравствуйте, Денис Магданов.
> Уважаемые коллеги. Хотелось бы услышать ваше мнение по следующему случаю
> Обратился больной 23 года, травма 4 месяца назад - закрытый перелом наружной, внутренней
> лодыжки правой голени. Лечился консервативно, .....
>... Посоветуйте что делать в данной ситуации.
В 23 года за сустав надо побороться.
>Мне видится следующий вариант решения данной
> деформации:
"Восстановление нормальной анатомии голеностопного сустава" - это цель, все правильно.
Далее пошли задачи:
>остеотомия
> малоберцовой кости и внутренней лодыжки,...восстановить длину и устранить ротационное смещения наружной лодыжки.
Тоже правильно. Хорошо, если остеотомия получится по линии перелома. С медиальной лодыжкой проблем будет меньше.
>удалить все рубцы из области дистального
> межберцового синдесмоза
Здесь поаккуратней. Перелом тип В, возможно имеется только частичный разрыв дистальной порции передней тибио-фибулярной связки...и все. "Удалить все рубцы из области дистального межберцового синдесмоза", значит приговорить его к синостозу.
( встанет ли таранная кость на место?),
Куда она денется!
> фиксация наружной лодыжки пластиной,
Естественно. Лучше уложенной как можно больше сзади, а не сбоку.
> внутренней винтами,
Одним винтом, или во Веберу
>дистального межберцового синдесмоза винтом.
Необходимость этого под большим вопросом.
>ЭОПом не располагаем.
Обычный рентгенконтроль в операционной после этапа репозиции временной фиксации наружной лодыжки обязателен!
> Что вы посоветуете? Где могут быть технические трудности, подводные камни.
1) непросто определить линию перелома наружной лодыжкию но рубить надо по ней именно потому, что это перелом тип В, связки синдесмоза пострадали минимально. Если сделать остеотомию выше, то для устранения укорочения м\б кости синдесмоз придется разрушать - это не есть хорошо.
2)Кости порозны, поэтому желательно использовать пластину с угловой стабильностью винтов. Я бы предпочел метафизарную LCP 3,5 на 6-7 отверстий.
3) Оценивать стабильность синдесмоза после окончательной фиксации наружной и внетренней лодыжек.
4) Доступа - два, одновременно. Что будете сначала рубить- латеральную или медиальную - не принципиально. Принципиально: сначала репозиция и остеосинтез наружной потом - медиальной.
5) После операции гипсовая лонгета в нейтральном (или даже пяточном) положении стопы на 3-4 дня. Далее никакого гипса - ранние движения.
P.S. На боковой проекции таран выглядит несимпатично. Может быть изза качества снимка?
С уважением, А.Семенистый.
ГКБ 13, Москва.
|
[
Ответить ]
|
Re: Неправильно консолидированный перелом лодыжек
Alexander Chelnokov 06 Май 2007, 23:49
|
> подошвенное / тыльное сгибание 50/0/80
От 0 в одну сторону 50 градусов, и в другую 80? То есть амплитуда 130 градусов?
> Посоветуйте что делать в данной ситуации. Мне видится следующий вариант решения данной
> деформации: Восстановление нормальной анатомии голеностопного сустава v остеотомия
План вполне здравый. Но... Такое впечатление, что после устранения подвывиха суставные поверхности уже могут быть неконгруэнтны все равно.
То ли там есть импрессия в наружном отделе суставной площадки tibia, то ли не знаю что... IMHO не сильно криминальым выглядит и вариант
оставить как есть, пока не придет за артродезом.
|
[
Ответить ]
|
Re: Неправильно консолидированный перелом лодыжек
Michael Berenstein 07 Май 2007, 08:50
|
Уважаемый Денис.
Полностью согласен с Вашим планом. Предлагаю два доступа, что позволит избежать излишней скелетизации сустава.
Доступ к наружной лодыжке лучше сделать передне внутренний что бы хорошо видеть неповрежденный внутренний угол суставной вилки - это будет референс для правильной позиции таранной кости.
Доступ к малоберцовой кости тоже нужен передне - наружный для того что бы была возможность выполнить остеотомию м.берцовой и остеотомию наружной части б.берцовой. Нет сомнений, что этот угол перенес компрессию. Если не опустить эту часть суставной поверхности , то невозможно будет компенсировать валгус. Для удержания фрагмента я бы использовал 3 кортикальный трансплантат из
подвздошной кости.
Конечно перед этим нужно выполнить косую остетомию м.берц что бы не мешала работать с суставной поверхностью.
конечная фиксация пластинкой снаружи, шуруп на синдесмоз и шуруп или спицы с проволкой на внутреннюю лодыжку. Нужно добится стабильной фиксации.
Конечность без нагрузки 2 месяца и разработка с первого дня после операции
Удачи
М.Беренштейн
|
[
Ответить ]
|
( Ответить )
|
|