AOTRAUMA.ORG Центр Илизарова  

Ортопедия и травматология Общие вопросы/General questions Help Информационные технологии в медицине
 вверх
 отправить
 поиск
 админ
 главная
 Предыдущее
 Весь тред


Re: Операция на переднем полукольце таза при налич
dan schlatterer 12 Июнь 2007, 04:47
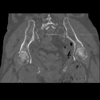
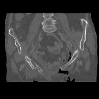
attached are several CT cuts. please let me know if you need more. the CT is pre-pelvic ex-fix placement.



Thank you.
  • Сообщения о Ортопедия и травматология
  • Также dan schlatterer
  • Связаться с автором
  • Ответить

    Re: Операция на переднем полукольце таза при налич
    Chip Routt 12 Июнь 2007, 04:53
    I wouldn't plate the front.

    But I would add screws posteriorly.

    Chip

    [ Ответить ]

    • Re: Операция на переднем полукольце таза при налич
      Отправитель: dan schlatterer 12 Июнь 2007, 15:40
      excellent, I agree and that is just what I was hoping to hear. thank you.
      dan schlatterer

      [ Ответить ]

     

    ( Ответить )

    Powered by Zope  Squishdot Powered MedLink
    Посетитель: 0382281
      "По форме правильно, а по существу - издевательство" В.И.Ленин
    ©2001-2019Orthoforum Coordinator.
    [ Главная | Отправить сообщение | Поиск | Админ ]