AOTRAUMA.ORG Центр Илизарова  

Ортопедия и травматология Общие вопросы/General questions Help Информационные технологии в медицине
 вверх
 отправить
 поиск
 админ
 главная
 Предыдущее


Re: Лечение ложного сустава шейки бедра
Ростислав 05 Июнь 2007, 05:20
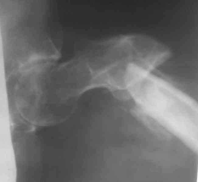
Название темы- это произвольно!! Второй снимок прилагаю!!!



Больница ЖД - это типа (областной) На железной дороге!!!


  • Сообщения о Ортопедия и травматология
  • Также Ростислав
  • Связаться с автором
  • Ответить

    Re: Лечение ложного сустава шейки бедра
    Alexander Chelnokov 05 Июнь 2007, 06:02
    Название темы- это произвольно!!

    Уместнее не произвольно, а в соответствии с содержанием.
    Спасибо за второй снимок.
    1. Что из методов доступно на месте?
    2. Какие свои соображения по поводу этой ситуации?


    [ Ответить ]

    Re: Лечение ложного сустава шейки бедра
    Ростислав 05 Июнь 2007, 06:23
    Аппаратная методика,накостные пластины.Штифты мы не применяем!ЭОПА нет!!
    [ Ответить ]

    Re: Лечение ложного сустава шейки бедра
    Ростислав 05 Июнь 2007, 06:28
    по поводу соображения!!! Будем идти в два этапа:вероятно будем растягивать ложняк на столе Хоули с учётом ротаций, идти открыто,фиксировать пластиной в шейку- добится консолидации, а затем удлиним в аппарате!!Или сразу Аппарат????
    [ Ответить ]

    • Re: Лечение ложного сустава шейки бедра
      Отправитель: Alexander Chelnokov 05 Июнь 2007, 06:50
      > Аппаратная методика,накостные пластины.Штифты мы не применяем!ЭОПА нет!!

      Ну что ж, можно справиться и без штифтов.

      > растягивать ложняк на столе Хоули с учётом ротаций, идти
      > открыто,фиксировать пластиной в шейку - добится консолидации, а затем
      > удлиним в аппарате!!Или сразу Аппарат????


      По-моему, этот план самый трудоемкий и травматичный. Если наложить сейчас аппарат закрыто, все за 2-3 недели исправить в аппарате, а вторым этапом зафиксировать отломки пластиной, с пластикой или без - решить по снимкам перед этим. Пластинку при восстановленной заранее анатомии делать будет нетрудно, не надо будет скелетировать и мобилизовать отломки.

      [ Ответить ]
      • Re:
        Отправитель: Ростислав 05 Июнь 2007, 07:09
        Спасибо за помощь!!! Будем думать!!

        [ Ответить ]
      • Re: Лечение ложного сустава шейки бедра
        Отправитель: КоваленкоА.Н. 06 Июнь 2007, 02:59
        >> Аппаратная методика,накостные пластины.Штифты мы не применяем!ЭОПА нет!!
        >Ну что ж, можно справиться и без штифтов.

        Что ж,можно справиться и без ЭОПа:)
        Думаю, что устранять Все виды смещения в аппарате не менее трудоемко, чем одномоментная попытка синтеза пластиной, хотя более безопасно для пациента. Оптимальным видится решение этапной гиперкоррекции в дистракторе по длине. Добившись Достаточной подвижности между отломками уже на столе можно утранять по ширине джойстиками и ротационное на гвозде. Если нет опыта дистального блокирования сплошных гвоздей без ЭОПа, используйте каннюлированный в обязательном порядке.

        [ Ответить ]

     

    ( Ответить )

    Powered by Zope  Squishdot Powered MedLink
    Посетитель: 0418610
      "По форме правильно, а по существу - издевательство" В.И.Ленин
    ©2001-2019Orthoforum Coordinator.
    [ Главная | Отправить сообщение | Поиск | Админ ]