AOTRAUMA.ORG Центр Илизарова  

Ортопедия и травматология Общие вопросы/General questions Help Информационные технологии в медицине
 вверх
 отправить
 поиск
 админ
 главная
 Предыдущее


Re: повреждение таранной кости
Nikolay Koryshkov 16 Июнь 2007, 16:15
Здравствуйте, уважаемый Максим

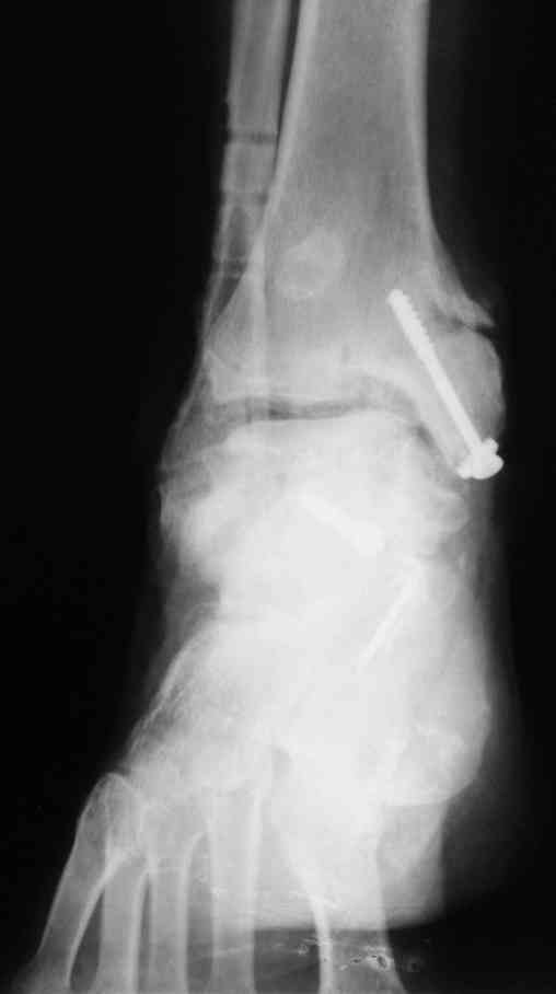
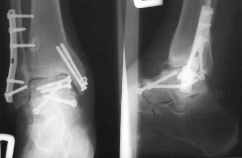
В Вашей ситуации мы произвели открытую репозицию и фиксацию металлоконструкциями. Все зажило первично, посттравматического дефартроза избежать не удалось. Пациент от артродезирующих операций в отдаленном периоде отказался.




С уважением,
Nikolay Koryshkov
Санкт-Петербург

  • Сообщения о Ортопедия и травматология
  • Также Nikolay Koryshkov
  • Связаться с автором
  • Ответить

    Re: повреждение таранной кости
    Maxim Agalakov 18 Июнь 2007, 14:33
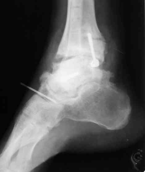
    Пациент отказался от артродезирующих операций потому что его устривает качество жизни или были какие-то другие причины (в итоге таран выглядит жутковато)
    С уважением, Максим Агалаков
    [ Ответить ]


    ( Ответить )

    Powered by Zope  Squishdot Powered MedLink
    Посетитель: 0199501
      "По форме правильно, а по существу - издевательство" В.И.Ленин
    ©2001-2019Orthoforum Coordinator.
    [ Главная | Отправить сообщение | Поиск | Админ ]