AOTRAUMA.ORG Центр Илизарова  

Ортопедия и травматология Общие вопросы/General questions Help Информационные технологии в медицине
 вверх
 отправить
 поиск
 админ
 главная
 Предыдущее


Re: повреждение таранной кости
Maxim Agalakov 18 Июнь 2007, 22:59
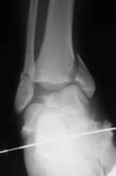
Для оценки состояния нужны дополнительные исследования, например
> Canale или Broden ренгенограммы




повторили рентгенограммы и доделали проекции, к единому мнению все еще не пришли
  • Сообщения о Ортопедия и травматология
  • Также Maxim Agalakov
  • Связаться с автором
  • Ответить

    Re: повреждение таранной кости
    Djoldas Kuldjanov, M.D. 19 Июнь 2007, 05:50
    Интресно, на каком уровне остеотомию в голеностопе предлагают оппоненты для первичного артродеза?
    Мне самому не приходилось прибегнуть к
    первичному артродезу при похожем случае.
    На ренгенограмме не уловил многоскольчатость тарана, чтобы доказать, конечно, можно было исследовать на КТ, потом КТ дает ориентацию фрагментов.

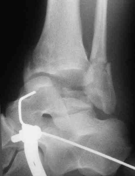
    Два фрагмента суставной поверхности тарана можно восстановить боковой компрессией шурупами и дополнительно костная пластика.
    (кстати, на нашем случае была применена костная пластика-allograft crouton для заполнения дефектов)

    Наружный фиксатор "голень-пятка", "лигаментотаксис" при поступлении, домой через 48 часов после обучения ходьбы на костылях, в течение ближайшего времени осмотр в поликлинике для определения кондиции мягких ткани (тест на образование морщин в зоне разреза), при отсутствии отека примерно на 6-7 день с момента травмы операция.
    Нагрузку можно разрешить через 2,5 месяца, на конечность снимаемый брейс удобен для разработки сустава которую можно начать после первичной перевязки.
    Это примерная тактика при лечении переломов тарана.
    Поэтому, несмотря на плохой прогноз, надо стремиться к первичной репозиции костей, а не к
    первичному артродезу.
    Артродез вторым этапом намного легче, потому что таранная кость, кое-где срастаясь, сохранит массу, которую в дальнейшем можно использовать как пластический материал и тем самым можно уменьшить
    укорочение конечности.
    Потом при первичном артродезе, без полного удаления тарана, невозможно ограничить границу остеотомии из-за сплошной массы осколков

    [ Ответить ]


    ( Ответить )

    Powered by Zope  Squishdot Powered MedLink
    Посетитель: 0375146
      "По форме правильно, а по существу - издевательство" В.И.Ленин
    ©2001-2019Orthoforum Coordinator.
    [ Главная | Отправить сообщение | Поиск | Админ ]