ВХОД ДЛЯ ПАЦИЕНТОВ
вверх
поиск
админ
главная
исходное
последующие
|
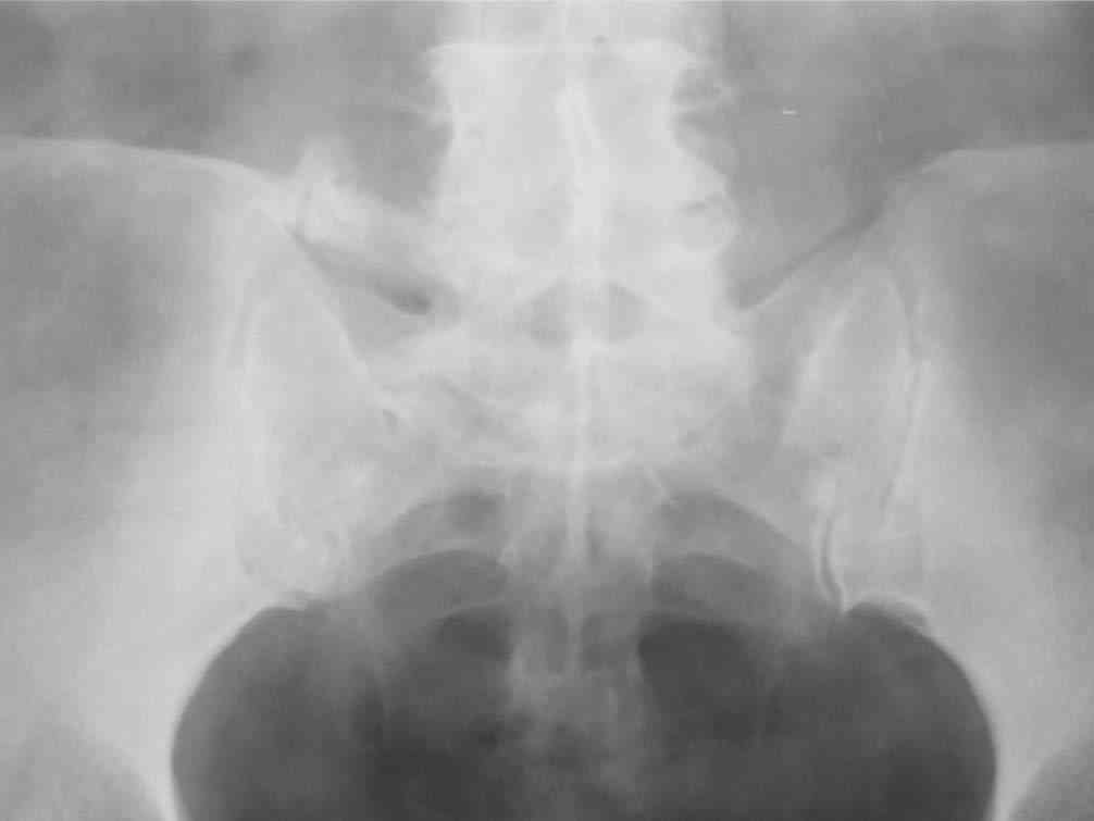
Re: Одностороняя сакрализация 5 поясничного позвон
послал Евгений Толстихин 06 Июль 2007, 02:37
|
Уважаемый Юрий Алексеевич! Спасибо огромное за подробное письмо, Ваш опыт бесценен, обязательно воспользуюсь. Отправляю рентгенограмму пациентки.

|
| Послать ответ |
Обратите внимание: Поля с жирными названиями обязательны.
Старайтесь отвечать в рамках обсуждаемой темы, а не начинать новые обсуждения.
Указывайте адекватную тему сообщения, чтобы было ясно, о чем оно.
Не послайте сообщений не по теме (оффтопик), раздраженных, грубых или обидных комментариев. Здесь это неуместно.
|