Ответить
|
Re: Одностороняя сакрализация 5 поясничного позвонка
Юрий Алексеевич Булахтин 05 Июль 2007, 13:12
|
Уважаемый Евгений!
Операцию Путти-Скальетти, в докомпьютерную эру, делал два-три раза "классически". Потом, с увлечением малоинвазивными доступами, изменил. Крыло подвздошной кости не трогаю. На картинке мои "лопатки" для доступа. Рядом, для сравнения, стандартная Буяльского. Масштаб для показанных инструментов 1:1,5.

Из линейного доступа над остистыми L4-S2 обнажаешь остистый L5, по нему тупо микротупферами выходишь на дужку и основание поперечного отростка. Лопатку с "зубом" - в подвздошную кость, без зуба - в вышележащий междужковый промежуток (L4-L5). Поперечный отросток у основания перекусываем пистолетными кусачками, берем Кохером или секвестральными и мобилизуем вывихивая кнаружи. После этого удаляем. Не делал давно, фотографий именно этой операции нет. Вот пример использования на малоинвазивном остеосинтезе плечевой кости.

Если позволите, некоторые теоретические соображения по результатам и показаниям. Сегодня все знают как оперировать позвоночник по поводу любых "напастей". Когда после операции боли остаются приходит время вспомнить о том, что морфологический субстрат боли при полисегментарной саногенетической реакции патологического типа, каким является остеохондроз и другие спондилогенные изменения дегенеративно-дистрофического характера, точно установить, как правило, невозможно. Аномалиям развития здесь особенно не повезло. Например, если у пациента протрузии на нескольких уровнях, дегенеративный стеноз и сакрализация - лечат сакрализацию т.к. она "режет глаз" специалисту. Соответственно и эффект от вмешательства на уровне "не навредили". Специальные методы исследования мало что дают в этом плане, а МРТ, вообще, годится только для обоснования необходимости операции при разборе жалобы. Поэтому вначале рекомендую лечебно-диагностические тест-блокады. Если эпидуральная по Катлену через день (результат оценивать после 3-5 блокад) снимает жалобы - оперировать не стоит. Если локальная боль остается - прицельную паравертебральную в зону неоартроза - исчезновение боли показание не к операции, а к повторному курсу через 3-6 мес. Стойкий локальный монолатеральный болевой синдром - повод задуматься об операции. Но, как правило, она должна быть более обширной чем просто резекция поперечного отростка и санировать и другие проблемы. "Золотой стандарт" тут пока передне-задняя фиксация в различных ее вариантах в зависимости от конкретного случая. Попытки "располовинить" спондилодез в отношении чистой изолированной транспедикулярной фиксации в пятилетнем наблюдении не выдерживают критики. Передняя изолированная фиксация пластинами с аутокостным спондилодезом дает хорошие результаты (пример на фото 4)

при условии дополнения задним релизом для декомпрессии сосудисто-нервных образований ( ну а тогда почему уже и конструкцию сзади не поставить? фото 5).
Юрий Алексеевич Булахтин,
начальник травматологического отделения Камчатского Военно-морского госпиталя
|
[
Ответить ]
|
Re: Одностороняя сакрализация 5 поясничного позвон
Отправитель: Евгений Толстихин 06 Июль 2007, 02:37
|
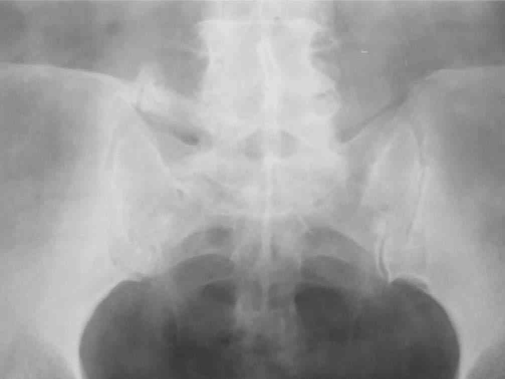
Уважаемый Юрий Алексеевич! Спасибо огромное за подробное письмо, Ваш опыт бесценен, обязательно воспользуюсь. Отправляю рентгенограмму пациентки.

|
[
Ответить ]
|
Re: Одностороняя сакрализация 5 поясничного позвон
Отправитель: samsnow 06 Август 2007, 05:53
|
Доброго времени суток,Юрий Алексеевич! Всегда с большим интересом слежу за Вашими действительно талантливыми ответами и разьяснениями на этом форуме, но обьясните,чем Ваши инструменты предпочтительнее при малоинвазивном остеосинтезе плеча пред тем же Буяльским? С уважением, Сергей Самсонов С-Петербург Елизаветинская б-ца 1травм.отд.
|
[
Ответить ]
|
|
Re: Одностороняя сакрализация 5 поясничного позвонка
Юрий Алексеевич Булахтин 06 Июль 2007, 09:59
|
Уважаемый Евгений!
Первоочередные лечебно-диагностические манипуляции мы обсудили. В плане дообследования рекомендовал бы выполнить:
1.R-логическое исследование пояснично - крестцового отдела позвоночника в условиях контрастной миелографии:
а) прямая проекция стандартная;
б) боковая проекция стандартная;
в) левая и правая косые v в 3/4;
г) функциональное рентгенологическое исследование (обязательно стоя!!!);
Далее, в зависимости от полученной картины, КТ+миелография дискредитированных уровней. Желательно не раньше чем через 4-5 часов после введения контраста (иначе законтрастированные венозные сплетения могут симулировать протрузии дисков). В заключении, помимо описания выявленных дегенеративно-дистрофических изменений, просите указывать размер спинно-мозгового канала и боковых рецессусов, а при выраженном спондилоартрозе - размеры межпозвоночных суставов и отверстий.
Удачи, Юрий Алексеевич Булахтин
|
[
Ответить ]
|
( Ответить )
|
|