AOTRAUMA.ORG Центр Илизарова  

Ортопедия и травматология Общие вопросы/General questions Help Информационные технологии в медицине
 вверх
 отправить
 поиск
 админ
 главная
 Предыдущее
 Весь тред


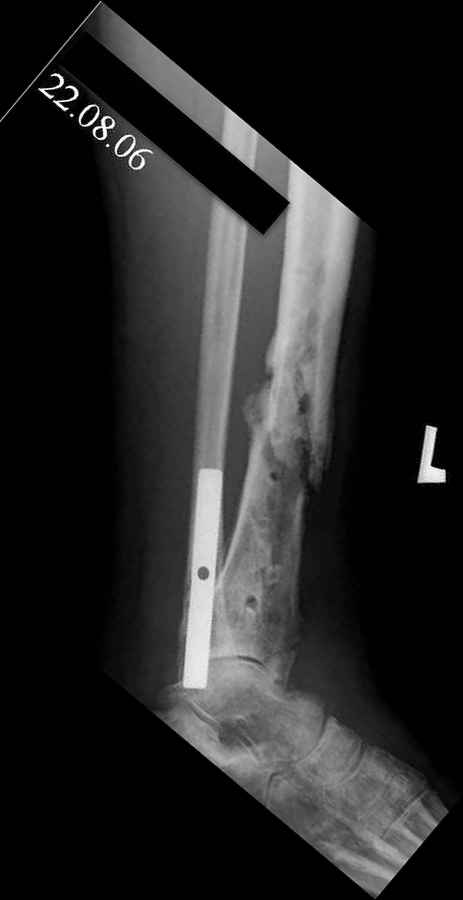
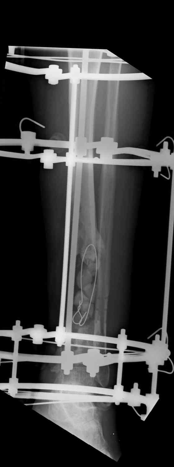
Re: Дефект и остеомиелит tibia
Alexander Chelnokov 04 Октябрь 2007, 00:18
Картинки можно послать по адресу alex@weborto.net. Предварительно лучше их подготовить - размером по вертикали и горизонтали чтобы были 800-1000 пикселов; задать jpeg компрессию поагрессивнее, чтобы картинка была весом 50-100 Кб. Спасибо.

  • Сообщения о Ортопедия и травматология
  • Также Alexander Chelnokov
  • Связаться с автором
  • Ответить

    Re: Дефект и остеомиелит tibia
    Michael Markushevich 04 Октябрь 2007, 18:35


    [ Ответить ]


    ( Ответить )

    Powered by Zope  Squishdot Powered MedLink
    Посетитель: 0186076
      "По форме правильно, а по существу - издевательство" В.И.Ленин
    ©2001-2019Orthoforum Coordinator.
    [ Главная | Отправить сообщение | Поиск | Админ ]