Ответить
|
Re: Дефект и остеомиелит tibia
Дмитрий Бондарь 27 Сентябрь 2007, 19:34
|
здравствуйте , Владимир! Мне кажется , что не стоит ставить деваскуляризированный трансплантат в потенциально инфицированную зону . даже при нормальных анализах может быть дремлющая инфекция . По-моему лучше остеотомия и последующий транспорт по Илизарову . медленно , но надёжнее .
С уважением Д.Б.
|
[
Ответить ]
|
Re: Дефект и остеомиелит tibia
Дмитрий Бондарь 28 Сентябрь 2007, 00:07
|
И вдогонку : существует довольно элегантная метода перемещения остеотомированного фрагмента малоберца между основными фрагментами Tibia (опять же аппаратом)
С уважением Д.Б.
|
[
Ответить ]
|
Re: Дефект и остеомиелит tibia
Pavel Ivanov 28 Сентябрь 2007, 00:44
|
Владимир, здравствуйте.
Сейчас Александр Николаевич, работает-отдыхает в Ростове-на-Дону, поэтому возьму на себя часть его функций. В данный момент сижу на неинтересном собрании. Пишу ответ на карманном компьютере.
Владимир, у Вас очень интересный больной. Удивительно, что пока не видно откликов на Ваши вопросы. Могу предложить несколько советов, как расшевелить аудиторию и заставить коллег обсудить Вашего пациента. Три простых совета (хотя их может быть намного больше).
- стоит подробнее аргументировать Вашу позицию относительно запланированной операции;
Расскажите, почему Вы выбрали именно этот метод лечения. Ведь проблема у больного довольно стандартная. Многие нюансы лечения подобных дефектов костей подробно описаны в книгах по нашей специальности. Ваш же выбор не совсем обоснован в Вашем сообщении. Видимо, Вы уже имеете удачные примеры лечения подобных больных. Было бы здорово представить эти наблюдения. Хотя, лично я бы оперировал этого пациента по-другому.
- следует поточнее сформулировать вопросы к коллегам;
Ваша просьба очень "объемная". Что именно Вас интересует? Каким оборудованием и фиксаторами Вы располагаете? Какими методами владеют врачи в Вашем отделении? Представьте, например, что один из участников форума, занимающийся микрохирургическими пересадками при дефектах костей напишет Вам подробное письмо с советами, какой лучше использовать трансплантат или лоскут, как делать анастомоз, какой использовать инструмент и т.п. А в ответ получить письмо с информацией, что у Вас нет микроскопа и необходимого инструмента и этот метод вообще не рассматривался для применения. Поверьте, наш коллега пожалеет о потраченном времени. Поэтому следует облегчить задачу отвечающим. Вопросы следует задавать очень конкретно (например, "С какой стороны проводить спицу?", "Какой использовать штифт - UTN или Expert?", "Какой использовать доступ - передний или заднее-латеральный?"). Кроме того, это покажет вашу компетентность, вызовет еще большее уважение и желание общаться.
- конечно же, крайне полезно хорошо иллюстрировать ваши сообщения.
Если видно, что вопрошающий доктор не потратил необходимого времени на подготовку иллюстраций, то другой участник форума так же не захочет тратить свое драгоценное время на написание ответа. Доктора ведь крайне занятые люди. Очень полезно, представлять качественные рентгенограммы в двух проекциях, картинки с внешним видом конечности и больного, фотографии, показывающие функцию конечности, фото, иллюстрирующие основные этапы всего проведенного лечения. В таком случае, кроме прочего, Ваш клинический пример будет полезен и в качестве обучающего для многих травматологов.
Надеюсь, не утомил?
Best regards,
Pavel Ivanov
Sklifosovsky Clinical and Research Institute for Emergency Medicine
Polytrauma Department
3, Bolshaya Sukharevskay sq.
Moscow, 129090 Russia
|
[
Ответить ]
|
Re: Дефект и остеомиелит tibia
Середа Андрей 29 Сентябрь 2007, 00:23
|
Здравствуйте. Было бы интересно посмотреть на состояние мягких тканей и артериограммы. Вообще оптимальной видится свободная васкуляризированная пластика.
|
[
Ответить ]
|
Re: Дефект и остеомиелит tibia
Alexey Semenisty 29 Сентябрь 2007, 00:48
|
Владимир, свободная костная пластика на фоне свища вряд ли оправдана. Почему не рассматриваете вариант транспорта кости по Илизарову? Что собираетесь делать с латентной инфекцией? Одни антибиотики не помогут, необходима полноценная хирургическая обработка, Мы бы подумали о цементном спейсере с антибиотиками, бусах. После купирования инфекции переходить к замещению
дефекта: за счет удлинения концов б\б кости или тибиализации м\б. На начальном этапе фиксация только в аппарате, в последствие для удержания достигнутого можно перейти на фиксацию интрамедуллярным штифтом (см. вложенные файлы)
С уважением, А.Семенистый.
ГКБ № 13, Москва.
|
[
Ответить ]
|
Re: Дефект и остеомиелит tibia
Отправитель: Дмитрий Бондарь 29 Сентябрь 2007, 17:53
|
Доброго времени суток,коллеги!А может стоит одновременно поставить тонкий штифт , на который нанесён цемент с антибиотиком(спейсер) , бусы , хороший дебридмент с промыванием современными антисептиками (бетадин) , а сверху АВФ и начать тибиализацию м\берца ? и всё в одну сессию а ?
С уважением Д.Б.
|
[
Ответить ]
|
|
Re: Дефект и остеомиелит tibia
Odessky Jacob M.D 30 Сентябрь 2007, 16:26
|
Уважаемый Владимир! Как Вы сами, написали у Вашего пациента свищевая форма остеомиелита, ложный сустав малоберцовой кости, планируется костная пластика для создания тибио-фибулярного синостоза с фиксацией спице-стержневым аппаратом.
Во- первых, непонятно что Вы планируете делать с остеомиелитом.
Во-вторых, для создания проксимального и дистального синостозов нет надобности в аппарате наружной фиксации, достаточно убрать хрящи суставных поверхностей проксимального и дистального тибио-фибулярного сочленений и зафиксировать шурупами с добавлением костного трансплантата.
Для того, чтобы определиться с тактикой лечения, кроме снимка, представленного Вами, на мой взгляд, необходимо:
А. Есть ли у Вашего пациента хронические заболевания
В. Есть ли нарушения кровообращения в конечности.
1. Доплер артерий ног, включая голеностопно-брахиальный индекс.
С. Какова на самом деле распространённость процесса - его границы.Для этого
1. Боковой сномок голени
2. Фистулография
3. Скенирование костей Технециум + Галиум или меченые лейкоциты.
4. КТ голени
5. ЯМР голени.
Что из этого Вы можете проделать в Черновцах?
Всего самого наилучшего.
|
[
Ответить ]
|
Re: Дефект и остеомиелит tibia
Гузак Владимир 03 Октябрь 2007, 21:19
|
Уважаемые коллеги! Доброго Вам времени суток! Огромное спасибо за ваши советы и коментарии. Постараюсь ответить на вопросы возникнувшие в связи с не полным изложением ситуации.
В отделение котором мы работаем к огромному сожалению нет микроскопа и вопрос о пересадке костного трансплантата на сосудистой ножке мы не рассматривали.
Метод би- и трилокального остеосинтеза рассматривался нами. Мнения докторов в отделении разошлись в связи с продолжительностью перемещения трансплантата и сращения кости.
Мы владеем методикaми:
внутрикостного малоинвазивного остеосинтеза,
наложения спицевых, стержневых и спице-стержневых аппаратов.
Вопрос обращения к травматологам с целью дискусии был вынесен для получения информации о самом оптимальном методе оперативного лечения в наших условиях.
Хотелось бы уточнить позицию по д-зу на данный момент-Хронических заболеваний у пациента нет. Свищ по передней поверхности в проксимальном отделе дистального фрагмента до 3 мм. Выделения серозно- геморагического характера. Явных признаков воспааления м/т нет и не было на протяжении 4 мес.
Принимая во внимание малообеспеченость больного и отсутствие некоторых методов обследования мы можем позволить себе:
Доплерографию артерий
Фистулографию
КТ голени
Результаты обследований будут указаны позже, по мере их проведения.
Доводим также к сведенью что дистальный межберцевый синастоз уже состоялся, ложный сустав малоберцевой кости в с/з. Учитывая так же отсутстаие нормального обеспечения больного в послеоперационном периоде мы склоняемся к аппарату внешней фиксации.

По поводу цементных спейсов с антибиотиками- Где на Украине их можна взять, и какова их цена?
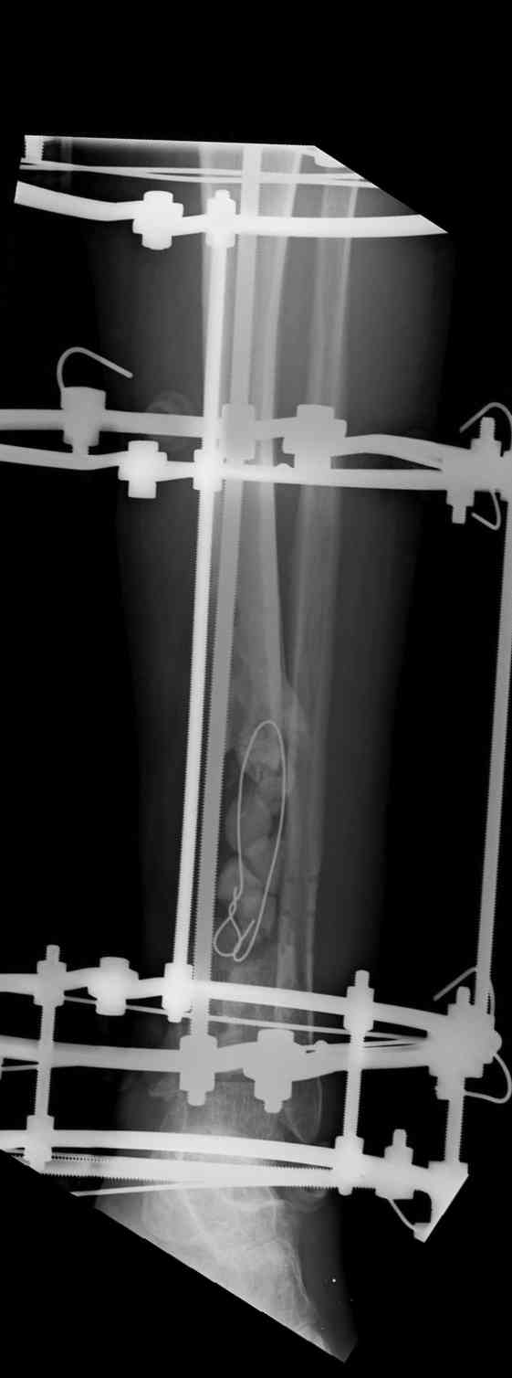
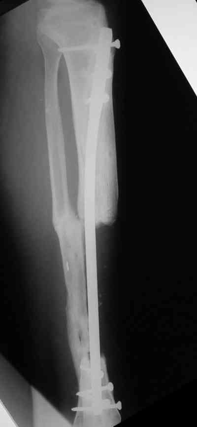
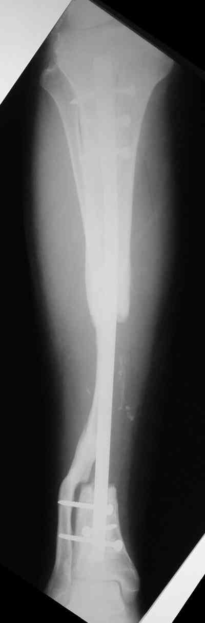
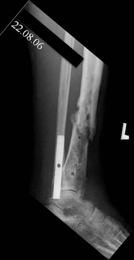
Как дополнение высылаю снимки и фото конечности, чтобы Вы могли оценить состояние м/т, и течение заболевания.
Жду Ваших ответов. Заранее благодарен.
|
[
Ответить ]
|
Re: Дефект и остеомиелит tibia
Отправитель: Alexander Chelnokov 03 Октябрь 2007, 23:05
|
Dear Владимир,
ГВ> Мнения докторов в отделении разошлись в связи с продолжительностью
ГВ> перемещения трансплантата и сращения кости.
А кто куда спешит в подобных случаях? Да, замещение дефекта, да еще и инфицированного, может быть небыстрым делом, но это для подобной проблемы вполне нормально.
Более быстро - заместить дефеккт кейджем, сегмент фиксировать блокируемым гвоздем. В кейдж можно и поместить что-то долгоиграющее с антибиотиками. Эта методика не раз была представлена проф. Лазаревым из ЦИТО. На недавней конференции общества Кюнчера в Страсбурге был доклад немецких коллег про это, даже получил премию как лучший.
Кстати, может быть, Павел Анатольевич Иванов, присутствовавший на этом мероприятии, поделится с нами своими впечатлениями?
ГВ> заболеваний у пациента нет. Свищ по передней поверхности в
ГВ> проксимальном отделе дистального фрагмента до 3 мм. Выделения
Фистулография?
ГВ> Результаты обследований будут указаны позже, по мере их проведения.
Уж контраст ввести и снимок сделать - ни подготовки, ни времени не надо.
ГВ> отсутстаие нормального обеспечения больного в послеоперационном
ГВ> периоде мы склоняемся к аппарату внешней фиксации.
После решения той проблемы, для которой нужен аппарат, его можно сменить на внутренний фиксатор.
ГВ> По поводу цементных спейсов с антибиотиками- Где на Украине их
ГВ> можна взять, и какова их цена?
В магазине "Детский мир", секция "Сделай сам".
На форуме не раз обсуждалась техника изготовления спейсеров и в виде бус, и стержня. Для последнего достаточно дозы цемента 20 г + ванкомицин 2 г. Цемент сыплем в чашку (лучше не все 20 г, а 16-18,
чтобы был пожиже), туда же порошок антибиотика. Мешаем. Добавляем жидкий мономер, всю ампулу. Перемешиваем. Полученную сметанообразную массу шпателем помещаем в шприц 100 мл. Его канюлю лучше укоротить. Ее вставляем в силиконовую трубку (для плеврального дренажа) с просветом 9-10 мм. Выдавливаем туда цемент. Заталкиваем вдоль 1-2 толстых спицы, чятобы кончики торчали. после полимеризации цемента разрезаем трубку вдоль и снимаем, как кожуру с банана. С дистальной стороны спицу загибаем, оставив короткий кончик, с проксимальной - делаем колечко поудобнее для последующего извлечения. Вводим спейсер в подготовленный канал.
Еще один вариант - в качестве арматуры спейсера использовать тонкий блокируемый гвоздь. Элегантное применение этого подхода недавно показывал Павел Иванов, делали подобное коллеги из Казани. Большой
опыт видел у индийских коллег. Вот-вот должны появиться индустриальные такие гвозди с гидроксиапатитным покрытием с антибиотиками. Полагаю, стоить они будут, как ракетный крейсер, так что лучше их и не ждать.
ГВ> Как дополнение высылаю снимки и фото конечности, чтобы Вы могли
ГВ> оценить состояние м/т, и течение заболевания.
Спасибо!
|
[
Ответить ]
|
Re: Дефект и остеомиелит tibia
Отправитель: Pavel Ivanov 04 Октябрь 2007, 17:37
|

AC> антибиотиками. Эта методика не раз была представлена проф. Лазаревым
AC> из ЦИТО. На недавней конференции общества Кюнчера в Страсбурге был
AC> доклад немецких коллег про это, даже получил премию как лучший.
AC> Кстати, может быть, Павел Анатольевич Иванов, присутствовавший на этом
AC> мероприятии, поделится с нами своими впечатлениями?
Надеюсь, Анатолий Федорович Лазарев подключится к обсуждению и еще раз расскажет о тонкостях, преимуществах и недостатках этой методики. А может быть даже отрежет и подарит Владимиру кусочек кейджа.
А доклад из Германии, действительно, был интересный. Правда пока у авторов немного наблюдений. И еще прозвучала мысль, этот метод не предназначен для применения при наличии проявлений инфекции. Прилагаю несколько иллюстраций (1 - вид кейджа во время операции перед закрытием лоскутом на свободной ножке, 2 - рентгенограммы через 32 месяца после операции, 3 - слайд, перечисляющий преимущества методики).
ГВ>> отсутстаие нормального обеспечения больного в послеоперационном
ГВ>> периоде мы склоняемся к аппарату внешней фиксации.
AC> После решения той проблемы, для которой нужен аппарат, его можно
AC> сменить на внутренний фиксатор.
Александр Николаевич, с Вами неинтересно! Мне постоянно приходиться соглашаться.
AC> 9-10 мм. Выдавливаем туда цемент. Заталкиваем вдоль 1-2 толстых спицы,
AC> чятобы кончики торчали. после полимеризации цемента разрезаем трубку
AC> вдоль и снимаем, как кожуру с банана. С дистальной стороны спицу
AC> загибаем, оставив короткий кончик, с проксимальной - делаем колечко
AC> поудобнее для последующего извлечения.
Одно маленько добавление. У одной пациентки с большим, но еще неокрепшим регенератом большеберцовой кости мы установили подобный спейсер. Она уехала в свой родной город, где врачи демонтировали ей спицстержневой аппарат, фиксировавший сегмент. Но при нагрузке регенерат чуть деформировался. Через 4 месяца уже у нас в институте при удалении спейсера загнутый в виде колечка кончик спицы при тракции разогнулся и мы помучились с удалением, так как зацепиться за спейсер было невозможно. Теперь загибаем спицу несколько иначе (рис. 4).
AC> опыт видел у индийских коллег. Вот-вот должны появиться индустриальные
AC> такие гвозди с гидроксиапатитным покрытием с антибиотиками. Полагаю,
AC> стоить они будут, как ракетный крейсер, так что лучше их и не ждать.
Такие штифты с антибактериальным покрытием готовит к серийному производству фирма Synthes. Пока существует модификация для голени (называется UTN-protect). Этот фиксатор покрыт стойкой к нагрузкам полимерной пленкой, содержащий антибиотик гентамицин. Со слов сотрудников московского представительства фирмы (http://www.synthes.com/html/Russian_Information.4988.0.html?&L=) такой штифт уже сейчас можно заказать и его доставят в Россию в течении месяца. Стоит он будет 1500-1800 швейцарских франков (сегодня 1 CHF стоит 21 руб. 21 коп. по курсу ЦБ).
Мы у себя в отделении применяем спейсеры "ручного изготовления". Они нас пока вполне устраивают.
Кстати, в новой книге Practice of Intramedullary Locked Nails (http://www.springerlink.com/content/w77134tl61438448/) есть целая глава по штифтам с активными покрытиями. Там про UTN-protect тоже есть информация. Книгу можно заказать через http://www.logobook.ru/ или через Центральную научную медицинскую библиотеку в Москве по тел. 128-48-37.
Best regards,
Pavel Ivanov
Sklifosovsky Clinical and Research Institute for Emergency Medicine
Polytrauma Department
3, Bolshaya Sukharevskay sq.
Moscow, 129090 Russia
|
[
Ответить ]
|
Re: Дефект и остеомиелит tibia
Отправитель: Андрей Мелешкин 06 Октябрь 2009, 22:30
|
Уважаемый Павел Анатольевич!
Не только интересные коментарии, но и 50\50 опытом - это !
По случаю постараюсь "добыть Вашего" совета.
У нас есть (делаем) БИОС - а сейчас и с электромагнитным навигатором (чтобы не отвлекаться на метод свободной руки), LSP, Fixion(гидравлические стержни). У нас есть опыт синтеза, но нет опыта в лечении последствий травм (как опыт подсказывает тема последствий сейчас актуальней темы синтеза) - по случаю отправляем больного в курирующую организацию МОНИКИ
Если Вы не против :
1. Какова длительность стояния спейсера (каков хотябы примерный критэрий замены спейсера на постоянный фиксатор?
2. Используете ли Вы ремирование при установке спейсера?
3. Используетели а\б при спокойном, хроническом течении процесса остеомиелита, когда явно необходима установка спейсера?
4. Используетели Вы спейсеры при проксимальном или дистальном остеомиелите и какова дальнейшая тактика?
Учеба в этом направлении не реальна, поэтому жду советов.
|
[
Ответить ]
|
Re: Дефект и остеомиелит tibia
Отправитель: Андрей Мелешкин 06 Октябрь 2009, 22:19
|
Огромное спасибо Вам Александр за "адрес секции в детском мире"!
Не только интересные коментарии, но и 50\50 опытом - это !
По случаю постараюсь "добыть Вашего" совета.
У нас есть (делаем) БИОС - а сейчас и с электромагнитным навигатором (чтобы не отвлекаться на метод свободной руки), LSP, Fixion(гидравлические стержни). У нас есть опыт синтеза, но нет опыта в лечении последствий травм (как опыт подсказывает тема последствий сейчас актуальней темы синтеза) - по случаю отправляем больного в курирующую организацию МОНИКИ
Если Вы не против :
1. Какова длительность стояния спейсера (каков хотябы примерный критэрий замены спейсера на постоянный фиксатор?
2. Используете ли Вы ремирование при установке спейсера?
3. Используетели а\б при спокойном, хроническом течении процесса остеомиелита, когда явно необходима установка спейсера?
4. Используетели Вы спейсеры при проксимальном или дистальном остеомиелите и какова дальнейшая тактика?
Учеба в этом направлении не реальна, поэтому жду советов.
|
[
Ответить ]
|
|
Re: Дефект и остеомиелит tibia
Michael Markushevich 03 Октябрь 2007, 23:27
|
Dear collegs.In last year I have patient with same patologia.I used treatment in three steps.
1.Wide debridment excision thick bone.After that -defect about 8 cm distal tibia.I putted antibiotic garamicin beetsc.This finish of first sesion.Before second step I waited 6 weeks and got cloused any wounds or fistuls .During this time patient take antybiotic intravenous vancomicin (becouse she has MRSA ).After check blood culture - sterile
2.Proximal osteotomy tibia and started bone transport - about 6 month
3.Debridment doky site. After that distraction betwin proximal rings continue 2 month to got similar long of limbs.
All prosedure take about 1year and 3month
|
[
Ответить ]
|
Re: Дефект и остеомиелит tibia
Michael Markushevich 04 Октябрь 2007, 00:11
|
Unfortunatly Icould not send my clinical pictures.M/p forum server problem
|
[
Ответить ]
|
Re: Дефект и остеомиелит tibia
Отправитель: Alexander Chelnokov 04 Октябрь 2007, 00:18
|
Картинки можно послать по адресу alex@weborto.net. Предварительно лучше их подготовить - размером по вертикали и горизонтали чтобы были 800-1000 пикселов; задать jpeg компрессию поагрессивнее, чтобы картинка была весом 50-100 Кб. Спасибо.
|
[
Ответить ]
|
|
Re: Дефект и остеомиелит tibia
Alexey Semenisty 04 Октябрь 2007, 00:14
|
Свищ по передней поверхности в проксимальном отделе дистального фрагмента
> до 3 мм. Выделения серозно- геморагического характера.
А что в посеве? Какие микробы, к каким а\биотикам чувствительны/устойчивы?
Явных признаков воспааления м/т нет и не было на протяжении 4 мес.
А наличие свища это признак чего?
мы можем позволить себе:
> Доплерографию артерий
> Фистулографию
> КТ голени
> Результаты обследований будут указаны позже, по мере их проведения.
Ждем
мы склоняемся к аппарату внешней фиксации.
Здесь других вариантов нет
По поводу цементных спейсов с антибиотиками-
Их делают прямо на операции из цементов, которые используются при эндопротезировании, и антибиотика, к которому чувствительны микробы из
посева. Процентов на 99, что высеется MRSA, т.е нужен ванкомицин..
Где на Украине их можна взять, и какова их цена?
Спрсите у докторов, занимающихся эндопротезированием в Украине
С уважением, А.Семенистый.
ГКБ № 13, Москва.
|
[
Ответить ]
|
Re: Дефект и остеомиелит tibia
Odessky Jacob M.D 04 Октябрь 2007, 15:39
|
"Метод би- и трилокального остеосинтеза рассматривался нами. Мнения докторов в отделении разошлись в связи с продолжительностью перемещения трансплантата и сращения кости.(Доктор Гузак Владимир)
Ув. Владимир! На мой взгляд это оптимальный метод восстановления столь большого дефекта большеберцовой кости. Даже если это займёт год, игра стоит свеч!
"Мы владеем методикaми:
внутрикостного малоинвазивного остеосинтеза,
наложения спицевых, стержневых и спице-стержневых аппаратов"(Доктор Гузак Владимир)
Позвольте поинтересоваться о какой методике, а также о каких аппаратах идёт речь.
Кстати на предоперационных снимках видно, что Ваш пациент имел Сегментарный перелом на границе верхней и средней трети большеберцовой кости и средней трети большеберцовой кости. Непонятно почему был удалён средний сегмент перелома.Почему в течении такого большого времени не предпринимались попытки для замещения деффекта.
Судя по месту расположения свища, наличия литического учаска в проксимальной части дистального фрагмента на последнем снимке, и, наличие в этом месте стержня Шанца на послеоперацционном снимке, причина остеомиелита у Вашего пациента спицевая.
"мы можем позволить себе:
Доплерографию артерий
Фистулографию
КТ голени".(Доктор Гузак Владимир)
Попробуйте добавить к этому скенирование костей Технеций + Галлий.
"Учитывая так же отсутстаие нормального обеспечения больного в послеоперационном периоде мы склоняемся к аппарату внешней фиксации." .(Доктор Гузак Владимир)
Ув. Владимир! Что понимается под отсутствием нормального обеспечения больного в послеоперационном периоде? Материальное обеспечение? Плохие домашние условия? Плохая медицинская база? Отклонение в поведениии пациента?
Уважаемый Владимир! Прошу прощения за стиль моего письма, ничего личного, у меня есть на это свои причины. Всего самого доброго!
|
[
Ответить ]
|
Re: Дефект и остеомиелит tibia
Геннадий Маркин.Кривой Рог тел.0672557199 09 Ноябрь 2009, 01:02
|
Предлагаем: концевая резекция б/б кости,кортикотомия,возмещение деффекта за счёт регенерата.Фиксация в аппарате Илизарава.
|
[
Ответить ]
|
( Ответить )
|
|