вверх
отправить
поиск
админ
главная
Предыдущее
|
Re: Об осложнении
Djoldas Kuldjanov, M.D. 30 Сентябрь 2007, 23:42
|
Не всякий решится на публичный разбор своих осложнений, хотя, что скрывать, у многих случаются тактические или исполнительные ошибки.
После описанного жуткого состояния очень трудно будет преодолеть недоверие больного, убедить его пойти на ревизию, потому что обычно такие случаи заканчиваются конфликтом и больные отказываются от
продолжения лечения.
Поэтому, как один из вариантов, можно было предложить продолжение консервативного лечения на скелетном вытяжении, учитывая что, ось конечности выровнена, и, хотя это утомительно для больного, но все-таки выход из положения.
Если больной настроен оптимистически и желает исправления проблемы, тогда можно было бы сделать ревизию, но с учетом состояния и качества костных структур и подбором всех возможных вариантов импланта для адекватной фиксации.
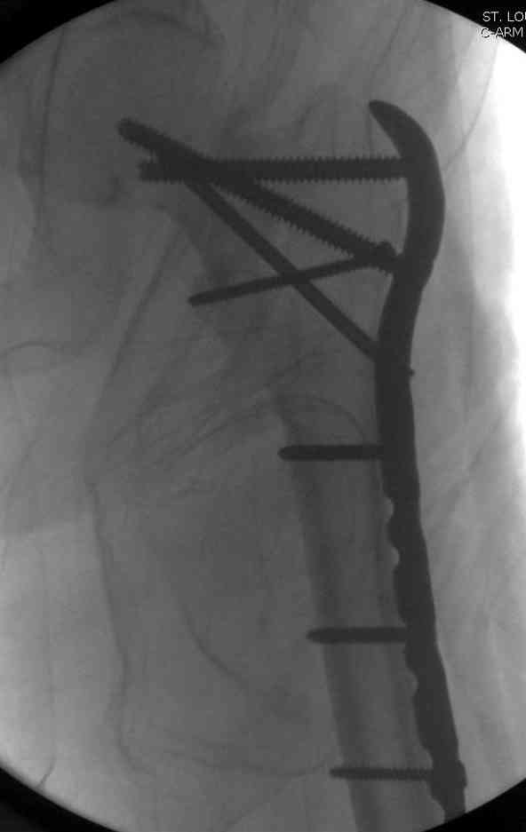
Из-за ослабленного латерального кортекса в проксимальной части бедра (прорезавшийся первичный неудачный штифт) штифт для фиксации не годится. Потом для установки современных блокирующих штифтов необходимы дополнительные оборудования и опыт применения.
Адекватная фиксация достигается длинным 95 градусным Blade Plate, где клинок пластины, связывая головку со средней трети бедра, создал бы условия для сращения.
Другой вариант пластины, это Synthes Proximal Locking Plate предназначенный для лечения прксимальных переломов бедра, где три шурупа: два 7.3 мм, введенных в головку под углом 95, 120 и 5.0 мм в 130 градусов, создают угловую стабильность.

Профилактику прорезывания шурупов в кости можно добиться введением в отверстие цемента, потом проведением шурупа, цемент, застывая, удерживает шуруп в правильном положении.
Надо учесть, что каждая следующая операция повышает риск осложнений.
Спасибо за честность и поучительный случай.
Djoldas Kuldjanov, MD
Department of Orthopedic Surgery
St. Louis University Medical Center
|
|
|
Ответить
|
Re: Об осложнении
Dmitry Bondar 30 Сентябрь 2007, 23:50
|
Джолдас,мы помним Вашу презентацию огнестрельного перелома и синтеза подобной пластиной.Не можете ли Вы прислать более подробную методу установки , фото конструкции и описание проблем, связанных с установкой этого импланта ?
С уважением Д.Б.
Р.S.уж очень привлекательная плата и метода!
|
[
Ответить ]
|
Re: Об осложнении
Alexander Chelnokov 30 Сентябрь 2007, 23:58
|
> штифт для фиксации не годится.
Вряд ли предыдущий гвоздь так фатально повредил проксимальный отдел бекдра.
> Потом для установки современных блокирующих штифтов необходимы
> дополнительные оборудования и опыт применения.
С этим не поспоришь.
> Адекватная фиксация достигается длинным 95 градусным Blade Plate, где
> клинок пластины, связывая головку со средней трети бедра, создал бы
Ровно эту же самую роль мог бы сыграть и штифт - гамма или другой проксимальный. Мы бы, скорее всего, планировали в таком случае гамму. И вместо проведенной операции, и сейчас, если все-таки будет несращение. Возможно, после непрдолжительной коррекции положения отломокв в аппарате.
|
[
Ответить ]
|
Re: Об осложнении
Отправитель: Alexander Chelnokov 02 Октябрь 2007, 23:07
|
> Хотя одним из условием установки Гамму или других блокирующих
> реконструктивных гвоздей зто интактный латеральный кортекс создающий
> дополнительную стабильность.
Дополнительная стабильность для гамма гвоздя избыточна. Для устойчивой фиксации, позволяющей полную нагрузку сразу, достаточно только
головки с шейкой и диафиза бедра, безотносительно к состоянию вертельно-подвертельной области. Это позволяет использовать гамма гвоздь при метастазах, когда вообще сегментарный дефект вверху бедра, а не только отсутствует латеральный или медиальный кортекс.
> и подробная информация по установке Synthes пластины.
Поглядел, спасибо. Не могу я уяснить, что считать показанием к проксимальному гвоздю, а что - к такой пластине. Все там показанные случаи я бы предпочел лечить той же гаммой. По-моему, было бы не менее прочно, и менее инвазивно, и более просто.
|
[
Ответить ]
|
Re: Об осложнении
Отправитель: Djolldas Kuldjanov 02 Октябрь 2007, 23:09
|
Конечно, нет проблем, можно установить Гамму 3, я имел ввиду, когда отсутствует возможности
интрамедуллярной фиксации, пластина
предпочтительнее под прямым прицелом.
|
[
Ответить ]
|
|
Re: Об осложнении
Абдурашид Тураев 01 Октябрь 2007, 23:20
|
Джолдас! Ты как всегда обстоятельно и аргументировано излагаешь суть дела. Спасибо! Больной от ревизионной операции отказался, сейчас находится дома, конечность уложили на шину Белера, под гипс гладкую доску, вытяжение за гипс. сапожок с прокладкой грузом 3кг, установили балканскую раму, я теперь как вроде домашний врач.
|
[
Ответить ]
|
Re: Об осложнении
Отправитель: Michael Markushevich 03 Октябрь 2007, 16:26
|
For Djoldas Kuldjanov, MD.
Synthes Proximal Femur Lock Plate is beatiful choise. But very expensive.I see in US this is not problem. And other hand, how cases like this you have in the year. I think may use Taragon Proximal Nail in long modification. If have problem bone quaity may use cement in Lag screw canal.
With regards
Markushevich Michael MD
Kfar saba
Israel
|
[
Ответить ]
|
|
( Ответить )
|
|