AOTRAUMA.ORG Центр Илизарова  

Ортопедия и травматология Общие вопросы/General questions Help Информационные технологии в медицине
 вверх
 отправить
 поиск
 админ
 главная
 Предыдущее


Re: Вывих акромиального конца ключицы
Максимов Сергей 20 Октябрь 2007, 02:47


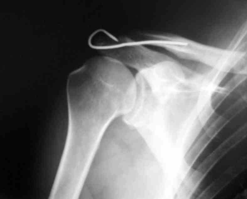
Здравствуйте.Извиняюсь за задержку. Фотографии фиксации АКС. Канал для ножки фиксатора формируется затупленным шилом, для уменьшения опасности перфорации кортикального слоя.
В некоторых клиниках активно применяли конструкции из никелида титана (с термомеханической памятью) с фиксацией за ключицу и клювовидный отросток. Сам не применял, но отзывы были хорошие а рентгенограммы красивые.
С уважением, Сергей.

  • Сообщения о Ортопедия и травматология
  • Также Максимов Сергей
  • Связаться с автором
  • Ответить

    Re: Вывих акромиального конца ключицы
    Alexander Artemiev 21 Октябрь 2007, 23:29
    Здравствуйте, коллеги.
    Я не очень внимательно следил за этой темой, но если речь идет о
    новой методике, то мне кажется, что эта конструкция и способ как две
    капли воды похожи на широко использовавшийся в Военно-медицинской
    академии в Питере и, соответственно, во всей советской армии,
    фиксатор Янчура.
    С уважением Александр Артемьев
    [ Ответить ]


    ( Ответить )

    Powered by Zope  Squishdot Powered MedLink
    Посетитель: 0206487
      "По форме правильно, а по существу - издевательство" В.И.Ленин
    ©2001-2019Orthoforum Coordinator.
    [ Главная | Отправить сообщение | Поиск | Админ ]