AOTRAUMA.ORG Центр Илизарова  

Ортопедия и травматология Общие вопросы/General questions Help Информационные технологии в медицине
 вверх
 отправить
 поиск
 админ
 главная


Реабилитация
Ортопедия и травматология Отправлено Никита Заднепровский 12 Октябрь 2007, 00:55
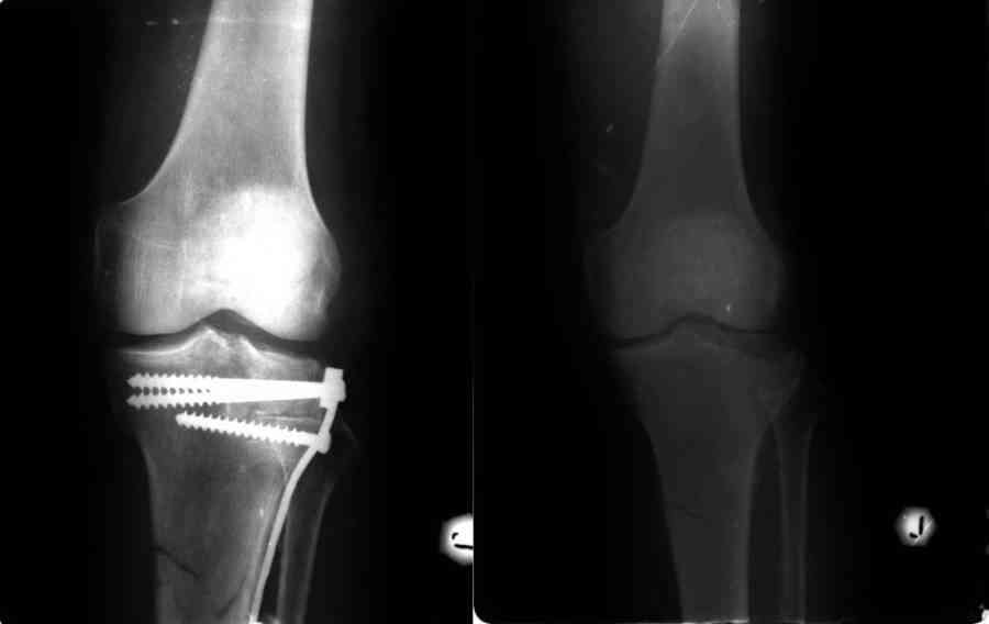
Пациенту 67 лет, в июле 2007 года выполнена операция по поводу импрессионного перелома латерального мыщелка и закрытого перелома вехней трети левой б/берцовой кости, перелома латерального межмыщелкового возвышения.
К тому же выявлен перелом нижнего полюса левого надколенника без смещения (остеосинтез не проводился). Кататравма, спрыгнул с высоты 2 метров на прямые ноги.
Выполнен остеосинтез опорной платиной с подъемом плато и замещением дефекта аутокостью из крыла тазовой кости. Артротомия и ревизия коленного сустава не проводились. П/операционный период гладкий.
На настоящий момент (3 месяца после операции), больной передвигается с опорой на канадский костыль. У больного сгибательная контрактура левого коленного сустава, примерно 170 градусов. Явлений синовита нет. Выполняет комплекс упражнений направленных на разработку сустава, но полного разгибания нет ... Встало "колом" и дальше ни в какую...
Что это? Недостаточность усердия больного или же погрешности оперативного лечения? На операционном столе нога свободно и полностью разгибалась в коленном суставе после остеосинтеза ... Разработка была разрешена почти сразу же после вмешательства.
Как дальше вести больного? Так ли нужна артроскопическая ревизия сейчас, если не было "заезда" в коленный сустав во время операции?Или же есть консервативные приемы которые помогут полностью устранить контрактуру?
Может быть была выбрана неверная тактика и метод оперативного лечения для такой патологии? Если да, то как поступить на текущий момент?
Какие соображения?
С уважением, Заднепровский Никита Николаевич

<  |  >

 

  • Сообщения о Ортопедия и травматология
  • Также Никита Заднепровский
  • Связаться с автором
  • Ответить

    Re: Реабилитация
    Odessky Jacob 12 Октябрь 2007, 01:08
    Здравствуйте, Никита!
    Могу я попросить Вас представить боковую проэкцию...
    С уважением!
    [ Ответить ]

    Re: Реабилитация
    Odessky Jacob 12 Октябрь 2007, 01:18
    Здравствуйте, Никита!
    Могу я попросить Вас представить боковую проэкцию...
    С уважением!
    [ Ответить ]

    Re: Реабилитация
    Алишер Баховудинов 12 Октябрь 2007, 18:18
    Думаю что подобный перелом требует обязательной артроскопии. Почти всегда они сопровождаются повреждением внутрисуставных структур. Там может блокировка банальная, вот и не разгибает! Вообще такие вещи надо делать сразу. С уважением.
    [ Ответить ]

    Re: Реабилитация
    Абдурашид Тураев 14 Октябрь 2007, 01:08
    Уважаемый коллега. Импрессионный перелом латерального мыщелка обычно сопровождается с переломом в обл. межмыщелкового возвышения, но степень импрессии и наличии смещения лат. межмыщелк. бугорка неизвестно, там всё таки мощные крестообразные связки, мы обычно в таких случаях опер. под визуальным контролем , может поэтому недоподняли наружный мышелок. Интересно было б посмотреть до операционные р/снимки фас и профиль, а также и п/о !! Обратить внимания состоянию перелома надколенника ! Дальше КТ или лучше МРТ. Интересно было б узнать мнения А.П.Ким!!

    С уважением Абдурашид.


    [ Ответить ]

    • Re: Реабилитация
      Отправитель: А.П.Ким 16 Октябрь 2007, 08:34
      Уважаемый коллега. Если на операционном столе было полное разгибание - то дефицит (10)- результат недостаточной разработки. В практической жизни это не страшно. Необходимо продолжить ЛФК, подключить механотерапию, физиопроцедуры.

      [ Ответить ]
    Re: Реабилитация
    Бехтерев Антон 14 Октябрь 2007, 03:09
    больной передвигается с опорой на канадский костыль

    Это по причине контрактуры или режим нагрузки такой?

    Выполняет комплекс упражнений направленных на разработку сустава ... Разработка была разрешена почти сразу же после вмешательства

    Какой конкретно комплекс. По чьей методике? Что вы имеете в виду под термином разработка? В каком режиме назначалась кинезотерапия? Включалась ли в реабилитационный комплекс механотерапия, массаж?

    Как дальше вести больного

    Для грамотного ответа слишком мало информации вы предоставили. Тут, как говорится, нужно "руками посмотреть".
    Если проблема расположена внутрисуставно, то артроскопические методы, возможно, решат ее. Но вероятней всего процесс разработки проходил в диапазоне болевого ограничения движений больного, не позволявшего достичь ни разу полного разгибания в суставе. В таком случае имеющийся рефлекторный спазм сгибателей голении и возникающие в последствии дегенаративные изменения со стороны задней капсульно-связочной формации коленного сустава привели к сгибательной контрактуре. Устранить такое требует длительного времени, настойчивости и терпения пациента и, что самое главное - врача при условии их постоянного контакта.
    Есть два пути: одномоментная редрессация (абсолютно не приемлемая с позиция реабилитологии манипуляция, но в большинстве случаев эффективная)с последующим обязателным комплексом ЛФК для сохранения результата, либо адаптация больного с новым условиям жизни с выработкой стереотипа походки.

    [ Ответить ]

    • Re: Реабилитация
      Отправитель: Александр Жужнев 22 Октябрь 2007, 22:55
      Согласен с Антоном Бехтеревым,а что вообще больной-то говорит?Как бы не получилось,что доктора проблема волнует больше чем самого больного...Если уж не делали ревизию сустава сразу,чтож теперь лезть,в погоне за 10 градусами,артроскопия всё таки не УЗИ.Продолжать ЛФК,механотерапию,физиолечение

      [ Ответить ]
    Re: Реабилитация
    Максимов Сергей 16 Октябрь 2007, 00:24
    Здравствуйте. Мне не совсем понятно, почему не проводилась ревизия сустава (артротомия или артроскопия) при проведение остеосинтеза. Лечить "форму" без учета "содержания" - на мой взгляд однобокий подход.
    На данном этапе осмелюсь предложить провести артроскопию сустава. Вероятность повреждения внутренних структур сустава очень велика (мениск (и), КСА), вероятно оно (повреждение) и является причиной "блокады" сустава. Да и сам по себе артроскопический релиз не помешает, а даже очень наоборот.
    Не исключена несостоятельность разгибательного аппарата коленного сустава (перелом надколенника, поврежедение ССН, удерживающего аппарата надколенника и т.п.) Жаль что нет рентгенограмм в динамике.
    С уважением, Сергей.
    [ Ответить ]

    Re: Реабилитация
    Odessky Jacob M.D 17 Октябрь 2007, 01:51
    Уважаемый Никита! Есть ли у Вас боковая проекция?
    С Уважением!
    [ Ответить ]


    ( Ответить )

    Powered by Zope  Squishdot Powered MedLink
    Посетитель: 0184975
      "По форме правильно, а по существу - издевательство" В.И.Ленин
    ©2001-2019Orthoforum Coordinator.
    [ Главная | Отправить сообщение | Поиск | Админ ]