AOTRAUMA.ORG Центр Илизарова  

Ортопедия и травматология Общие вопросы/General questions Help Информационные технологии в медицине
 вверх
 отправить
 поиск
 админ
 главная
 Предыдущее


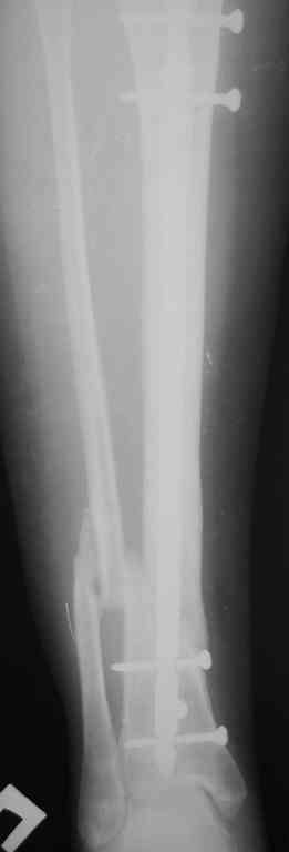
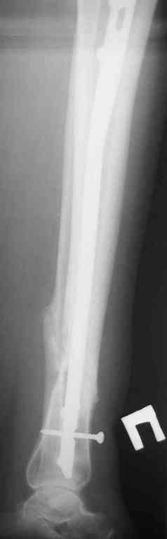
Re: Ложный сустав голени перелом штифта
В. Машталов 23 Октябрь 2007, 12:09
Прилагаются.



  • Сообщения о Ортопедия и травматология
  • Также В. Машталов
  • Связаться с автором
  • Ответить

    Re: Ложный сустав голени перелом штифта
    Alexander Artemiev 23 Октябрь 2007, 23:17
    Здравствуйте.
    Я бы выбрал следующее:
    - удаление проксимального куска гвоздя
    - остеотомия малоберцовой кости
    - внешний остеосинтез в режиме компрессия-дистракция-компрессия.
    С уважением Александр Артемьев
    [ Ответить ]

    • Re: Ложный сустав голени перелом штифта
      Отправитель: Alexander Chelnokov 24 Октябрь 2007, 22:56
      Привет, колеги, и особенно Владимир и Александр

      Я бы выбрал следующее:
      - удаление проксимального куска гвоздя
      - остеотомия малоберцовой кости
      - внешний остеосинтез в режиме компрессия-дистракция-компрессия.




      Недавно в аналогичной ситуации так и поступили. Когда прошло 4 мес, а оно все не срасталось, пациент попросил избавить его от аппарата. тогда мы удалили дистальный кусок стержня (линейный разрез спереди, остеотомия латеральнее гребня в плоскости planum с откидыванием кожно-подкожно-костной "крышки" ), и заштифтовали. На месте несращения не вмешивались.

      Владимиру Дмитриевичу - я бы не советовал одноэтапно удалять и штифтовать, там длина потерялась, а ее одномоментно чтобы восстановить, надо очень грубо обойтись с тканями. Поэтому я бы удалил все, наложил бы аппарат, за 10-15 дей восстановили бы длину и ось, и тут же заштифтовали. За это время и "крышка" бы чуть прихватилась.

      [ Ответить ]
      • Re: Ложный сустав голени перелом штифта
        Отправитель: В.Машталов 30 Октябрь 2007, 00:34
        С длиной все в порядке, ось ушла, под ЭОП посмотрели ось, коррегируется руками, от аппарата больная категорически отказывается, уже носила до штифтования. Планируем одномоментное рассверливание и перештифтования, наложим спицевой дистрактор. По поводу удаления обломка есть идея, отдали чертежик на изготовления, если получится то удалим без окончатой остеотомии.
        От пластики в зоне перелома останавливает возможность дремлющей инфекции и рубцовый процесс., остановились только на рассверливании. По результатам скину на форум информацию.
        Спасибо всем за участие
        С уважением к сообществу
        В.Машталов

        [ Ответить ]
        • Re: Ложный сустав голени перелом штифта
          Отправитель: Alexander Chelnokov 30 Октябрь 2007, 00:35
          Мы за все время как-то при ревизионных штифтованиях без костной пластики обходились.
          В принципе, можно попытаться удалить отломок и сверху. Рассверлить центральный фрагмент, взять
          плоский стержень с отверстием, совместить это отверстие с отверстием в дистальном обломке стержня, провести сквозь них спицу, и вытаскивать. Удачи! Будет интересно взглянуть на результаты.

          [ Ответить ]
          • Re: Ложный сустав голени перелом штифта
            Отправитель: Alexey Semenisty 30 Октябрь 2007, 00:39
            И снова, здрасте!

            Мы за все время как-то при ревизионных штифтованиях без костной пластики обходились.

            Аналогично




            В принципе, можно попытаться удалить отломок и сверху. Рассверлить центральный фрагмент, взять
            плоский стержень с отверстием, совместить это отверстие с отверстием в дистальном обломке стержня, провести сквозь них спицу, и вытаскивать.



            Нужно попытаться! Еще надежнее вариант не с плоским стержнем, а с трубкой. Зарубежные коллеги применяют для этого старые универсальные (полые) стержни с отпиленным кончиком. Можно попробовать с с Кюнтчеровским, наверняка в подвале еще завалялись.



            --
            С уважением, А.Семенистый.
            ГКБ № 13, Москва.

            [ Ответить ]
            • Re: Ложный сустав голени перелом штифта
              Отправитель: В.Машталов 30 Октябрь 2007, 00:41
              Именно так и собираемся, только трубку с вн. диаметром штифта решили закрепить на эластичтном проводнике 4 мм стержне, совместить отверстия и заблокировать .
              Мысли сходятся!
              В.Машталов

              [ Ответить ]
    Re: Ложный сустав голени перелом штифта
    Alexey Semenisty 23 Октябрь 2007, 23:18
    Приветствую! Наберите в поисковике "removal of а broken UTN" и получите десяток ссылок на статьи, правда, по 25 евро!
    Если можно, по-подробнее о гвозде: чей, какой диаметр и длина, про винты...?
    Помнится тема обсуждалась...

    [ Ответить ]

    • Re: Ложный сустав голени перелом штифта
      Отправитель: Владимир Дмитриевич Машталов 24 Октябрь 2007, 22:56
      Да , обсуждалась и оптимальным штифтом был выбран " Мастер" Остеомед 10 мм и винты 5 мм, но увы все наши благие намерения разбились о нашу действительность и материальные возможности больной, обращение ее в страховую компанию и т.д., вообщем выкручивались из внутренних резервов, а они были такими 9 мм штифт Остеомед, под 4 мм винты. Ограничили нагрузку. Ошиблись еще и с оценкой сращения, дали полную нагрузку+ больная поправилась на 18 кг, и вот теперь имеем , что имеем.
      Действитльность и возвожности остались прежнее, во внутренних резервах есть 11 мм стержень универсальный ( реконструктивный) "Деост-CHM" много спиц и аппарат + ось конечности и отломок штифта и надежда на Ваши советы.
      Да еще немного евро на статьи для Springer :)
      с ув. В.Машталов

      [ Ответить ]
      • Re: Ложный сустав голени перелом штифта
        Отправитель: В. Троицкий 25 Октябрь 2007, 22:00
        http://www.orthosupersite.com/view.asp?rID=18716

        [ Ответить ]
      • Re: Ложный сустав голени перелом штифта
        Отправитель: Alexey Semenisty 30 Октябрь 2007, 00:27
        Приветствую!
        В таком случае я бы остановился на удалении проксимальной части гвоздя и винтов, дистальный конец пусть оставил бы на месте и лечил дальше в аппарате.
        У нас было два подобных случая, действительно, как пишет Александр, в аппарате сращение шло очень медленно (потребовалось 10 месяцев фиксации). В другом случае мы удалили и одномоментно перештифтовали. Удаляли примерно так же как А.Н. - это было не очень вкусно :(. При удалении по методикам описанным в иностранной литературе канал в проксимальном отломке рассверливается до 12-14 мм, стало быть и гвоздь нужен соответствующий

        [ Ответить ]

     

    ( Ответить )

    Powered by Zope  Squishdot Powered MedLink
    Посетитель: 0195348
      "По форме правильно, а по существу - издевательство" В.И.Ленин
    ©2001-2019Orthoforum Coordinator.
    [ Главная | Отправить сообщение | Поиск | Админ ]