ВХОД ДЛЯ ПАЦИЕНТОВ
вверх
поиск
админ
главная
исходное
|
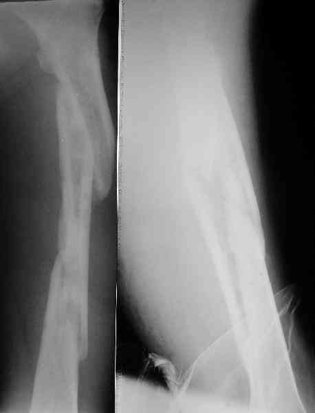
Re: "Нехорошее" бедро
послал Alexaander Chelnokov 10 Декабрь 2007, 20:26
|
Лучше бы закрытый интрамедуллярный, конечно.
Надо делать чрескожную подвертельную остеотомию, чтобы получился открытый клин. Проблемы будут и с формированием канала, надо развертки типа наших. Был как-то похожий случай, сделали одномоментно, сняли аппарат 5-месячый на столе, заштифтовали с подвертельной остеотомией (в приложении).

Можно все коррекции сделать и в аппарате, и потом заштифтовать, тогда останется только одна проблема формирования канала.
|
| Послать ответ |
Обратите внимание: Поля с жирными названиями обязательны.
Старайтесь отвечать в рамках обсуждаемой темы, а не начинать новые обсуждения.
Указывайте адекватную тему сообщения, чтобы было ясно, о чем оно.
Не послайте сообщений не по теме (оффтопик), раздраженных, грубых или обидных комментариев. Здесь это неуместно.
|