вверх
отправить
поиск
админ
главная
|
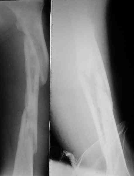
Отправлено Юрий Алексеевич Булахтин 10 Декабрь 2007, 10:43 Камчатский Военно-морской госпиталь
Уважаемые коллеги! Пришел на консультацию вот такой больной (первые 3-и рисунка). Травма автодорожная, апрель 2006г. Лечился консервативно, вытяжение и гипс. Через пять месяцев стал ходить. Укорочение бедра 6 см. 26 февраля 2007г. оступился, упал. Прооперирован в г.Баку - наложен стержневой аппарат. Ходит с костылями, наступая на левую ногу. Мы попросили что нибудь из ранних снимков. Принес рентгенограммы перелома (рис. 4,5). Посмотрели, наснимали сами (рис. 6-10). Похоже, что нет сращения нигде. Хотелось - бы обсудить следующие вопросы:1. дальнейшая тактика - реостеосинтез или подождать (ослабить аппарат, дать нагрузку и т.д.)?2. если реостеосинтез - то чем и как? Юрий Алексеевич Булахтин
<
|
>
|
|
Ответить
|
Re: "Нехорошее" бедро
Alexander Rykov 10 Декабрь 2007, 18:33
|
Юрий Алексеевич. Привет. А сустав тазобедренный живой? На одном из снимков он возник - но качество рентгенограммы - швах. Если он жживой то я бы сделал
гвоздь с блокированием, через некоторое время после снятия аппрата, вмешиваясь на больших углах малоинвазивно. А если нет.....То стоит подумать
об ТHR с очень длинной ножкой. А Рыков. Хабаровск.
|
[
Ответить ]
|
Re: "Нехорошее" бедро
Отправитель: Юрий Алексеевич Булахтин 10 Декабрь 2007, 20:28
|
Уважаемый Александр Геннадиевич!
Спасибо за участие в обсуждении случая. Тазобедренный сустав сохранный.
|
[
Ответить ]
|
|
Re: "Нехорошее" бедро
Alexaander Chelnokov 10 Декабрь 2007, 20:26
|
Лучше бы закрытый интрамедуллярный, конечно.
Надо делать чрескожную подвертельную остеотомию, чтобы получился открытый клин. Проблемы будут и с формированием канала, надо развертки типа наших. Был как-то похожий случай, сделали одномоментно, сняли аппарат 5-месячый на столе, заштифтовали с подвертельной остеотомией (в приложении).

Можно все коррекции сделать и в аппарате, и потом заштифтовать, тогда останется только одна проблема формирования канала.
|
[
Ответить ]
|
Re: "Нехорошее" бедро
Анатолий Канзюба 15 Декабрь 2007, 13:38
|
Если только аппарат стабилен, мне кажется, можно продолжить стабилизацию. При таком сложном переломе важно достичь консолидации в области диафиза. Варус в подвертельной области можно откоррегировать позже. Есло позволяет конструкция внешней опоры и позволяет состояние мягких тканей - усилить базу в проксимальном фрагменте и попытаться устранить деформацию в процессе, хотя это маловероятно. желаю успеха. Анатолий
|
[
Ответить ]
|
( Ответить )
|
|