вверх
отправить
поиск
админ
главная
Предыдущее
|
Re: Помогите дифференцировать.
Djoldas Kuldjanov, M.D. 27 Декабрь 2007, 19:18
|

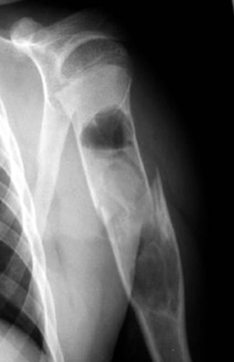
Дифференциальную диагностику надо проводить между однокамерной костной и аневризмальной кистой, но расположение в полости кисты тонкого,
линейного фрагмента кости, подтверждает диагноз однокамерной костной кисты.
"Упавший" фрагмент - патогномоническая подсказка к патологическому перелому, часть стенки падает в полость кисты и опускается вниз из-за
силы тяжести.
Подозрение о "шаровидной полости" в головке - это из-за укладки, и на представленном снимке подтверждение правильности рекомендации коллег.
McGlynn FJ, Mickelson MR, El-Khoury GY: The fallen fragment sign in unicameral bone cyst. Clin Orthop 1981 May;(156):157-9.
Killeen KL.: The fallen fragment sign Radiology 1998 Apr;207(1):261-2 ..
Struhl S, Edelson C, Pritzker H, Seimon LP, Dorfman HD: Solitary (unicameral) bone cyst. The fallen fragment sign revisited. Skeletal Radiol
1989;18(4):261-5.
В последнее время на страницах сайта появились тенденция к "упражнениям" в консервативных методах лечения переломов различной локализации.
Отличное решение при отсутствии возможности современной технологии и невозможности оперативного вмешательства из-за общего состояния.
При консервативном лечении при изолированных переломах для фиксации
плеча можно ограничиться обычной небольшой абдукционной подмыщечной
подушечкой, которая создает адекватную фиксацию и предупреждает
мягкотканые осложнения из-за ранних движений. Все полуфиксирующие
гипсовые повязки и торакобрахиальная гипсовая повязка для фиксации
проксимального плеча неудобны для больного и затягивают процесс
восстановления.
Сегодня, когда современные возможности намного опережают возможности
прошлого века, оперативное лечение являются более приемлемым даже у
пожилых больных. Хотя по снимкам трудно предположить (отличное качество
кости), что больному 69, и поэтому для быстрейшего восстановления
рекомендуется оперативное лечение.
Довольно длинный проксимальный конец позволит интрамедуллярную фиксацию
через малый разрез бескровно.
Из пластин, после очистки полости и аутографта,
Locking Proximal Humerus Plate от Hand Innovation
http://www.handinnovations.com/product.php?pg=prod&prodid=3
с возможностью установки пластины немного ниже, чем другие.
Djoldas Kuldjanov, MD
Department of Orthopedic Surgery
St. Louis University Medical Center
|
|
|
Ответить
|
Re: Помогите дифференцировать.
Никита Заднепровский 27 Декабрь 2007, 19:20
|
Здравствуйте, Джолдас.
own> Из пластин, после очистки полости и аутографта,
own> Locking Proximal Humerus Plate от Hand Innovation.
Не совсем понял. Там винты идут без резьбы на рабочей части? На картинке резьбовое соединение только на головке винта с пластиной, что создает угловую стабильность. И? Объяснения не нашел. Первый раз увидел такой дизайн.
Пожалуйста, просветите. :))
С уважением, Заднепровский Никита Николаевич
|
[
Ответить ]
|
Re: Помогите дифференцировать.
Отправитель: Djoldas Kuldjanov, M.D. 27 Декабрь 2007, 19:32
|
Там винты идут без резьбы на рабочей
части? На картинке резьбовое соединение только на головке винта с пластиной, что создает угловую стабильность. И?
Стандартные механические тесты, проведенные доктором Jorge Orbay из Майами, показали, что
внезависимо от наличия резьбы, шурурпы (Peg)
заблокированные в пластине и в различных направлениях механически создают угловую стабильность.
Набор инструментария от Hand Innovation позволяет
применить обычные кортикальные или
спонгиозные шурупы вместо (peg) безрезьбовых.
Др. Orbay один из первых разработал и применил DVR, пластину для фиксации дистальных переломов луча из волярного доступа. На сайте имеется
техника применения пластины.
За его компанию из 120 человек в основном разработчики и дистрибютеры, недавно DePuy заплатил 150 миллионов, что доказывает популярность его продукта среди ортопедов.
При применении других пластин с угловой стабильностью для установки проксимальных, почти
горизонтальных шурупов, необходимо расширить доступ выше проксимально.
На этой пластине имеются возможности введения шурупов косо в 130 градусов, что позволяет уменьшить операционный доступ.
|
[
Ответить ]
|
Re: Помогите дифференцировать.
Отправитель: А.Миронов(Новокузнецк) 28 Декабрь 2007, 20:25
|
Уважаемый Djoldas!
мне показалась, что пластина сильно напоминает LPHP от Synthes, а если её немного "подогнуть" то и установить можно дистальнее рекомендованного положения и винты пойдут в головку.
С Уважением А.Миронов(Новокузнецк)
|
[
Ответить ]
|
Re: Помогите дифференцировать.
Отправитель: Djoldas Kuldjanov, M.D. 28 Декабрь 2007, 22:40
|
мне показалась, что пластина сильно
напоминает LPHP от Synthes, а если её немного "подогнуть" то и установить можно дистальнее рекомендованного положения и винты пойдут в головку.
Абсолютно верно, все то же самое. Разработчики акцентируют, что их пластина сидит немного ниже и
облегчает установку заднего проксимального шурупа без необходимости ротировать конечность.
Для подгонки пластин с угловой стабильностью необходимо предварительно вставить шурурпы в резбу, иначе деформацией можно нарушить своиства пластины.
Не знаю насчет "подогнуть" эти преконтурированные пластины очень жесткие и трудно поддаются к изгибу.
|
[
Ответить ]
|
Re: Помогите дифференцировать.
Отправитель: А.Миронов(Новокузнецк) 29 Декабрь 2007, 11:43
|
Уважаемый Djoldas!
>Для подгонки пластин с угловой стабильностью необходимо предварительно вставить шурурпы в резьбу
согласен или установить резьбовой направитель сверла
>Не знаю насчет "подогнуть" эти преконтурированные пластины очень жесткие и трудно поддаются к изгибу.
Я как раз имел ввиду LPHP, профиль её достаточно низкий импичмента при правильной установки не вызывает, а если нужно установить её ниже?, легко можно её до-моделировать в обл "шейки" недеформируя отверстия пластины. В общем в чём инновация показанной платы непонятно.
С Уважением А.Миронов(Новокузнецк)
|
[
Ответить ]
|
|
( Ответить )
|
|