ВХОД ДЛЯ ПАЦИЕНТОВ
вверх
поиск
админ
главная
исходное
|
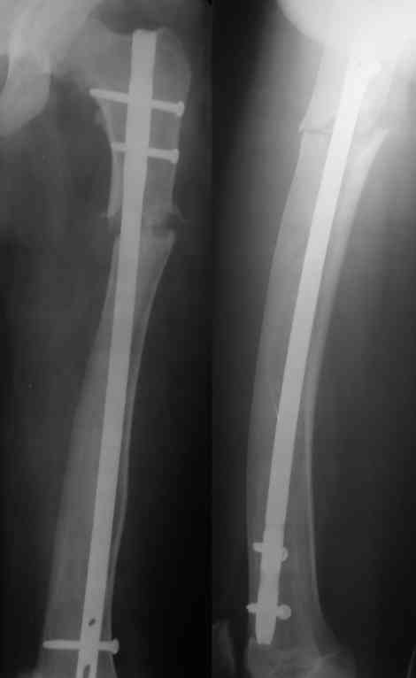
Re: Перелом бедра
послал А.Миронов(Новокузнецк) 28 Декабрь 2007, 19:15
|
Уважаемый коллега!
У нас был "похожий случай" патологический перелом деформированного бедра у подростка на фоне нейрофиброматоза, заштифтовали с небольшими трудностями.

С Уважением А.Миронов
|
| Послать ответ |
Обратите внимание: Поля с жирными названиями обязательны.
Старайтесь отвечать в рамках обсуждаемой темы, а не начинать новые обсуждения.
Указывайте адекватную тему сообщения, чтобы было ясно, о чем оно.
Не послайте сообщений не по теме (оффтопик), раздраженных, грубых или обидных комментариев. Здесь это неуместно.
|