вверх
отправить
поиск
админ
главная
|
Отправлено Леонид Пак 26 Декабрь 2007, 06:19
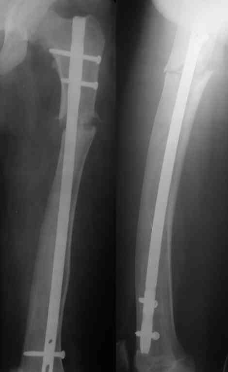
Поступила пациентка 20 лет с патологическим переломом бедра в С/З, находилась под наблюдением детских ортопедов по поводу незавершенного остеогенеза с рождения. За последний год перелом бедра был уже дважды, лечилась консервативно на вытяжении.На сегодняшний день имеется вот такая картина. Бедро деформировано на всем протяжении, остеопороз, участки остеосклероза. Уважаемые коллеги, какие будут соображения по тактике лечения. С уважением Леонид
<
|
>
|
|
Ответить
|
Re: Перелом бедра
Alexander Rykov 27 Декабрь 2007, 19:07
|
Лечение хирургическое. Ранее переломы срастались благоприятно даже в условиях вытяжения. А Рыков.
|
[
Ответить ]
|
Re: Перелом бедра
Alexander Chelnokov 27 Декабрь 2007, 20:36
|
Наверно, лучше всего было бы закрыто заштифтовать бедро.
А каковы собственные предложения? Что именно смущает?
|
[
Ответить ]
|
Re: Перелом бедра
Отправитель: Пак Леонид 28 Декабрь 2007, 04:55
|
Смущает искривленная ось бедра, и достаточно узкий костномозговой канал, конечно склонялись к закрытому блокирующему остеосинтезу, даже рассматривался вариант Fixation но к сожалению нет пока гибких сверел, а они в данном случае скорее всего понадобились бы. Скорее всего остановимся на пластине с угловой стабильностью (Рыбинск), подскажите если есть у кого опыт на сколько они( Рыбинские пластины) соответствуют заявленным свойствам.
С уважением Леонид.
|
[
Ответить ]
|
Re: Перелом бедра
Отправитель: Виноградский Александр 28 Декабрь 2007, 23:59
|
>нет пока гибких сверел, а они в данном случае скорее всего понадобились бы.
Интрамедуллярный остеосинтез при диафизарных переломах бедра, конечно, предпочтительней. Кроме гибких фрез, расверливающих по проводнику, есть титановые развертки им. Челнокова А.Н. (незаменимая вещь при интрамедуллярном остеосинтезе любого сегмента). Где приобрести - или как сделать спросим у автора.
|
[
Ответить ]
|
Re: Перелом бедра
Отправитель: Alexander Chelnokov 08 Январь 2008, 21:24
|
На этих снимках не очень хорошо видно структуру кости на всем протяжении. Видимо, попытаться сформировать канал при наличии инструментов типа очень длинного шила, лучше нескольких, разных диаметров, можно было бы. Мы такие инструменты себе сделали сами.
Еще одна проблема - ось бедра не на всем протяжении будет совпадать с осью гвоздя. Хотя канал можно и кривой сформировать, гвоздь в него потом не ввести. Это более менее легко решается чрескожной остеотомией или несколькими, прямо по ходу введения гвоздя.
Если какой-то участок полностью заращен и деформирован, можно его продольно расщепить.
В общем, штифтование в этом случае было бы непростой и нестандартной операцией.
Вариант с пластинкой тут вполне имеет шансы на успех.
|
[
Ответить ]
|
Re: Перелом бедра
Отправитель: Владимир Бахарев 28 Декабрь 2007, 08:06
|
Александр Николаевич, а есть ли опыт у зарубежных коллег по применению у таких больных FIXION (может встречали публикации)
|
[
Ответить ]
|
|
Re: Перелом бедра
Alexandre Sitnik 27 Декабрь 2007, 22:21
|
Закрыто заштифтовать не так просто - нужен серьезный опыт: помимо искривления оси бедра у таких больных обычно сужен косттномозговой канал, а сама кость в сечении саблевидная. Хотя механически это оптимально, но провести гвоздь достаточного диаметра для блокирования непросто. У нас была похожая пациентка весной - закончили пластиной. Снимки сейчас продемонстрировать не могу, но интересная фотография участка резецированной кости осталась - в приложении.
С уважением
А. Ситник
|
[
Ответить ]
|
Re: Перелом бедра
А.Миронов(Новокузнецк) 28 Декабрь 2007, 19:15
|
Уважаемый коллега!
У нас был "похожий случай" патологический перелом деформированного бедра у подростка на фоне нейрофиброматоза, заштифтовали с небольшими трудностями.

С Уважением А.Миронов
|
[
Ответить ]
|
Re: Перелом бедра
А.Ф. Колондаев 06 Январь 2008, 00:49
|
Наибольший опыт лечения таких пациентов - в 11 отд. ЦИТО (зав. - проф. А.И.Снетков). Можно связаться с ним по интернету через cito-priorov.ru . Кстати - послать заодно тезисы на конференцию по заболеваниям опорно-двигательного аппарата у детей и взрослых (до 15 февраля).
|
[
Ответить ]
|
( Ответить )
|
|