ВХОД ДЛЯ ПАЦИЕНТОВ
вверх
поиск
админ
главная
исходное
|
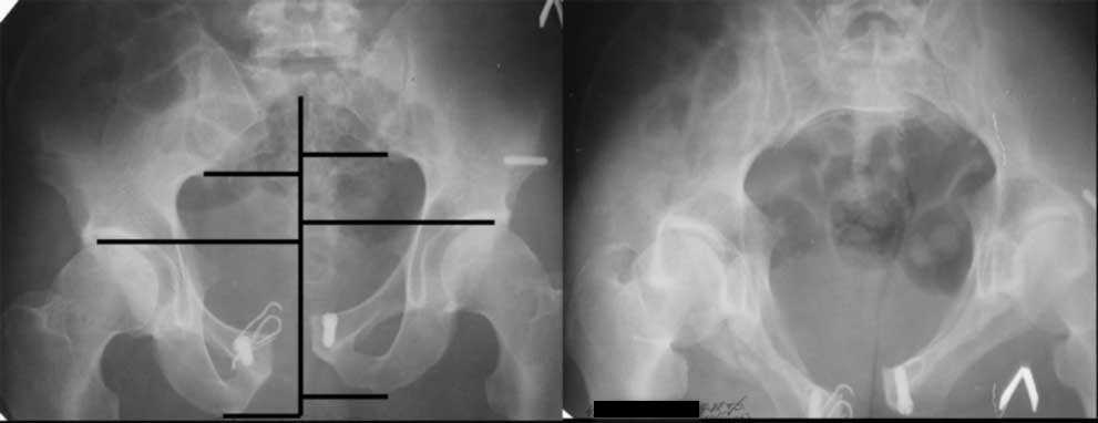
Re: Застарелое повреждение таза
послал Maxim Agalakov 15 Январь 2008, 22:00
|
закрытое низведение правой половины таза кольцевым аппаратом (с фиксацией задних отделов), затем проведение илиосакральных винтов, реостеосинтез лонного сочленнения, дальнейшая фиксация в аппрате 2-3 мес. Похожий пример в приложении.

С уважением, Maxim
|
| Послать ответ |
Обратите внимание: Поля с жирными названиями обязательны.
Старайтесь отвечать в рамках обсуждаемой темы, а не начинать новые обсуждения.
Указывайте адекватную тему сообщения, чтобы было ясно, о чем оно.
Не послайте сообщений не по теме (оффтопик), раздраженных, грубых или обидных комментариев. Здесь это неуместно.
|