Ответить
|
Re: Застарелое повреждение таза
Djoldas Kuldjanov, M.D. 14 Январь 2008, 04:53
|
Несостоятельность лонной пластины связана с нестабильностью правого крестцово-подвздощного сочленения.
"Длина конечностей слева(+2см)" наверное имелось ввиду укорочение конечности, указывающее на смещение в ложном суставе КПС.
Передняя пластина на симфиз и дополнительный наружный фиксатор без фиксации заднего полукольца не создает эффективную фиксацию,
вследствие нестабильности таза быстро наступает несостоятельность передней пластины.
Обследование дополнительными снимками: прямая, инлет и оутлет, а КТ срезы покажет имевшиеся мозольные перемычки и истинное смещение в крестцово подвздошном сочленении.
Операция в зависимости от опыта, пластина-балка или шурупы на КПС и спереди одна или двойная реконструктивная пластина. Доступ по очередно "перед-зад-перед", сперва спереди удаление пластины, затем перевернуть и репозиция КПС с фиксацией, затем окончательная фиксация симфиза.
Репозицию можно одномоментно бедренным дистрактором или медленно аппаратами наружной фиксации, у наших коллег из Екатеринбурга имеются
успешные случаи.
Djoldas Kuldjanov, M.D.
|
[
Ответить ]
|
Re: Застарелое повреждение таза
Maxim Agalakov 15 Январь 2008, 22:00
|
закрытое низведение правой половины таза кольцевым аппаратом (с фиксацией задних отделов), затем проведение илиосакральных винтов, реостеосинтез лонного сочленнения, дальнейшая фиксация в аппрате 2-3 мес. Похожий пример в приложении.

С уважением, Maxim
|
[
Ответить ]
|
Re: Застарелое повреждение таза
Андрей Казанцев 16 Январь 2008, 20:13
|
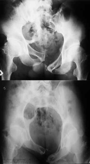
Дорогой Андрей. Мы имеем дело с комбинированной (ротационно и вертикально) нестабильностью таза со смещением правого гнемипелвиса. При таких переломах, фиксация только переднего полукольца вне зависимости от метода фиксации, как уже было сказано Djoldas Kuldjanov, M.D., не может создать адекватной фиксации. И перелом пластины был вполне ожидаемым после активизации пациента. Смещение сохраняется, и по-видимому не 2 см., а все 4, если не более. Разница всего (+2 см) по конечностям как вы указываете, скорее скомпенсировано позвоночником и протезом. Дополнительные снимки или КТ исследование помогли бы уточнить степень смещения с точностью до мм., выявить перелом поперечного отростка пятого поясничного позвонка, или помимо разрыва правого крестцово-подвздошного сочленения выявить перелом боковой массы крестца справа и т.д. При возможности, конечно, все это желательно сделать. Но мало что изменится с практической точки зрения, т.к. задача - это низведение репозиция и надежная фиксация правого гемипелвиса. Учитывая плачевный опыт стержневого аппарата, давность травмы совершенно очевидно, что поставленная задача достижима при открытой репозиции и одномоментной фиксации переднего полукольца с артродезированием правого крестцово-подвздошного сустава. Операция выполняется в положении больного на здоровом боку или полубоку из расширенного трансоссального подвздошно-пахового доступа с переходом на лонное сочленение доступом по Pfannenstiel. Указанный доступ обеспечивает подход к крестцово-подвздошному сочленению как спереди так и сзади. После артродезирования выполняется синтез лонного сочленения. Клинический пример
Пациентка С.26 лет. Травма за 6 месяцев до поступления
Укорочение правой нижней конечности до 10см

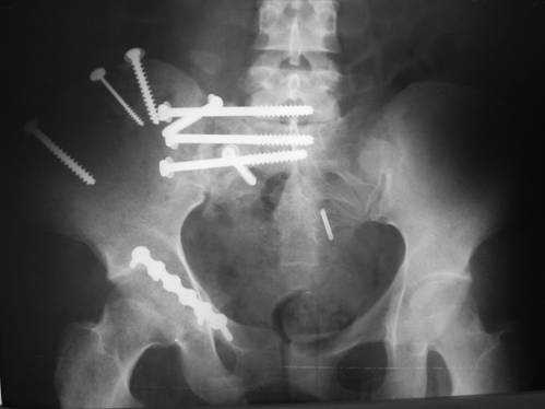
23.09.2003. Одновременный остеосинтез переднего и заднего тазовых полуколец
Результат через 10 дней

и 8месяцев после операции
|
[
Ответить ]
|
Re: Застарелое повреждение таза
Отправитель: Maxim Agalakov 17 Январь 2008, 10:28
|
> плачевный опыт стержневого аппарата, давность травмы совершенно
> очевидно, что поставленная задача достижима при открытой репозиции и
> одномоментной фиксации переднего полукольца с артродезированием правого
> крестцово-подвздошного сустава.
плачевный опыт стержневого аппарата в данном случае ни о чем не говорит - при такой компоновке не могло не сместиться
> Операция выполняется в положении
> больного на здоровом боку или полубоку из расширенного трансоссального
> подвздошно-пахового доступа с переходом на лонное сочленение доступом по
> Pfannenstiel. Указанный доступ обеспечивает подход к
> крестцово-подвздошному сочленению как спереди так и сзади. После
> артродезирования выполняется синтез лонного сочленения. Клинический пример
> Пациентка С.26 лет. Травма за 6 месяцев до поступления
> Укорочение правой нижней конечности до 10см
Сколько крови потеряли?
С уважением,
Maxim Agalakov
|
[
Ответить ]
|
Re: Застарелое повреждение таза
Отправитель: Maxim Agalakov 17 Январь 2008, 10:39
|
> Результат через 10 дней и 8месяцев после операции
Да, забыл сказать - отличная работа, искренне восхищаюсь. Кость рубите по Judet (немного не разобрался по рисунку)?

С уважением,
Maxim
|
[
Ответить ]
|
|
Re: Застарелое повреждение таза
Андрей Казанцев 17 Январь 2008, 18:07
|
Это наблюдение 5-летней давности тогда кровопотеря составила 2,5 литра. В настоящий момент мы теряем не более 0,7-1,5 литров при одностороннем повреждении и около 2,5-3 литров тогда, когда речь идет о двусторонних повреждениях. Клинический пример.
Что касается доступа и остеотомии прикладываю пат.анатомический материал сделанный моим аспирантом Тер-Григоряном.
презентация доступ.ppt
746KB (763904 bytes)
|
[
Ответить ]
|
Re: Застарелое повреждение таза
Отправитель: Миронов Андрей 18 Январь 2008, 21:55
|
Спасибо за клинические примеры и комментарии. Если честно то просто восхищен представлеными R-ммами (классно сделали!!!). По поводу обсуждаемого больного: конечно КТ и дополнительные R-ммы сделаем. Но хочу напомнить, что после травмы прошло более 6 лет, на сегодняшний день клинически еще и R-ки признаки нестабильности эндопротеза( как бедренного компонента так и чашки). Хочется определиться как делать в аппарате или одномоментно открыто. Лично я склоняюсь к аппаратному лечению на первом этапе.
Ув.коллеги помогите еще вот в каком вопросе: у нас нет R-негативного стола. Зато новый ЭОП. Как вы проводите илиосакральные винты? хотябы кратенько методику.
|
[
Ответить ]
|
Re: Застарелое повреждение таза
Отправитель: Maxim Agalakov 19 Январь 2008, 11:42
|
> хочу напомнить, что после травмы прошло более 6 лет, на сегодняшний
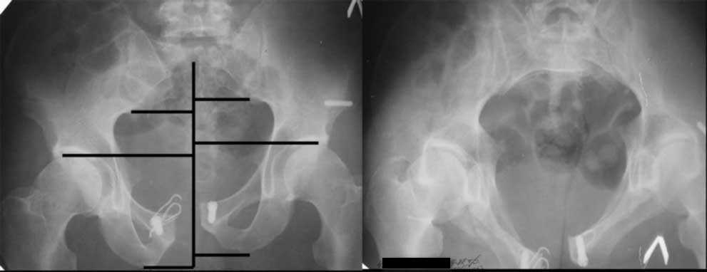
прилагаю пример с такой же давностью травмы, репонировали аппаратом

> в аппарате или одномоментно открыто. Лично я склоняюсь к аппаратному лечению на первом этапе.
задача непростая, если мало опыта в этом деле, подумайте еще раз
> Ув.коллеги помогите еще вот в каком вопросе: у нас нет
> R-негативного стола. Зато новый ЭОП. Как вы проводите илиосакральные
> винты? хотябы кратенько методику.
стаскиваете пациента вниз, кладете под ноги какую-нибудь подставку, а дальше как обычно, можно , например, прочитать здесь
С уважением,
Maxim
|
[
Ответить ]
|
Re: Застарелое повреждение таза
Отправитель: Миронов Андрей 19 Январь 2008, 19:36
|
Спасибо, Максим. Еще раз все взвесим, думаю, наши местные матерые травматологи возьмутся. Сам пока не рискну, опыта моловато. Почему так подробно выспрашиваю, потому что на местном клиническом разборе с пеной у рта доказывали, что хватит передней рамы и пластинку заменить. А теперь можно не только на словах, но и наглядно показать, как нажно делать.
|
[
Ответить ]
|
|
Re: Застарелое повреждение таза
Рунков А.В. 20 Январь 2008, 22:30
|
Уважаемый Андрей, для проведения оперативного лечения надо быть твердо уверенным, что скальпель улучшит состояние больной.
Почему Вы решили, что боли вызваны переломом пластины и выраженной нестабильностью.Прошло 3 года, пластина сломалась не вчера (скорее через месяц, ну два после остеосинтеза).
Обратите внимание на природу - она формирует костный блок на месте крестцово-остистой связки и лонное сочленение будет больной не нужно (а может быть и уже ни на что не влияет).
Вы хотите стабилизировать таз? Сделайте функциональные снимки (стоя поочередно на одной ноге), есть ли подвижность в лонном сочленении?
Вы хотите сместить половину таза обратно
закрыто или открыто, а позволит ли Вам это сделать оссифицированная связка? Без подробного КТ лечение застарелой травмы таза обречение пациента и врача на множество неприятных и "неожиданных" открытий.
Доведите диагностический процесс до конца (КТ, функциональные снимки я уж не говорю про сандартные Outlet и inlet), поищите другой источник болей (поясница например).
Для операции пока не вижу показаний.
С уважением РАВ
|
[
Ответить ]
|
Re: Застарелое повреждение таза
Отправитель: Maxim Agalakov 21 Январь 2008, 17:08
|
> Вы хотите стабилизировать таз? Сделайте функциональные снимки (стоя
> поочередно на одной ноге), есть ли подвижность в лонном сочленении?
а как же Ваши мысли, Шлыкова И.Л. и не только что такое смещение даже без нестабильности не может привести к хорошим результатам?
> Вы хотите сместить половину таза обратно
> закрыто или открыто, а позволит ли Вам это сделать оссифицированная
> связка? Без подробного КТ лечение застарелой травмы таза обречение
аппарат, по-моему, позволяет не только это
> Для операции пока не вижу показаний.
зачем же тогда вся эта класификация деформаций таза?
С уважением,
Maxim
|
[
Ответить ]
|
Re: Застарелое повреждение таза
Отправитель: Рунков А.В. 21 Январь 2008, 19:41
|
Привет Максим!
Тебя видимо очень возмутила фраза об отсутствии показаний для операции.
А ведь показания для столь сложного оперативного лечения не выставляются по одной рентгенограмме не самого лучшего качества.
Как-то больной жил 6 лет, 3 года его ничего не смущало? (К плохому исходу тоже приспосабливаются.)
В чем причина декомпенсации и где ключи к победе?
По-моему они не столь очевидные.
На счет нестабильности сомнения все-таки появились...?
А сомнения, что удастся устранить деформацию без мобилизации связки, не появилось?
А как ее мобилизовать?
Предложенные операции приведут к успеху?
Так что прежде всего приходится говорить что НЕТ ДОСТАТОЧНЫХ ДАННЫХ для того чтобы ввязываться в бой.
Будут данные может и показания появятся.
С уважением РАВ

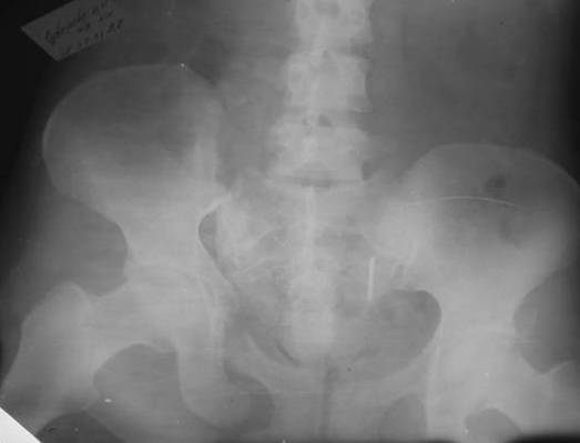
Маленькая иллюстрация (около 5 лет после травмы). Результат плохой - укорочение, хромота, периодически боли в спине, но больной отказывается от операции, видимо, не так все трагично.
|
[
Ответить ]
|
Re: Застарелое повреждение таза
Отправитель: Maxim Agalakov 21 Январь 2008, 20:50
|
"В чем причина декомпенсации и где ключи к победе?
По-моему они не столь очевидные.
На счет нестабильности сомнения все-таки появились...?
А сомнения, что удастся устранить деформацию без мобилизации связки, не появилось?
А как ее мобилизовать?
Предложенные операции приведут к успеху?"
-каюсь, не разобрался, посыпаю голову пеплом, могли бы, вообще-то, раньше вмешаться.
|
[
Ответить ]
|
|
( Ответить )
|
|