вверх
отправить
поиск
админ
главная
Предыдущее
|
Re: Застарелое повреждение таза
Андрей Казанцев 16 Январь 2008, 20:13
|
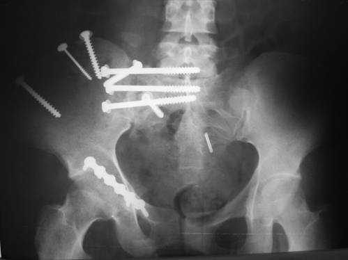
Дорогой Андрей. Мы имеем дело с комбинированной (ротационно и вертикально) нестабильностью таза со смещением правого гнемипелвиса. При таких переломах, фиксация только переднего полукольца вне зависимости от метода фиксации, как уже было сказано Djoldas Kuldjanov, M.D., не может создать адекватной фиксации. И перелом пластины был вполне ожидаемым после активизации пациента. Смещение сохраняется, и по-видимому не 2 см., а все 4, если не более. Разница всего (+2 см) по конечностям как вы указываете, скорее скомпенсировано позвоночником и протезом. Дополнительные снимки или КТ исследование помогли бы уточнить степень смещения с точностью до мм., выявить перелом поперечного отростка пятого поясничного позвонка, или помимо разрыва правого крестцово-подвздошного сочленения выявить перелом боковой массы крестца справа и т.д. При возможности, конечно, все это желательно сделать. Но мало что изменится с практической точки зрения, т.к. задача - это низведение репозиция и надежная фиксация правого гемипелвиса. Учитывая плачевный опыт стержневого аппарата, давность травмы совершенно очевидно, что поставленная задача достижима при открытой репозиции и одномоментной фиксации переднего полукольца с артродезированием правого крестцово-подвздошного сустава. Операция выполняется в положении больного на здоровом боку или полубоку из расширенного трансоссального подвздошно-пахового доступа с переходом на лонное сочленение доступом по Pfannenstiel. Указанный доступ обеспечивает подход к крестцово-подвздошному сочленению как спереди так и сзади. После артродезирования выполняется синтез лонного сочленения. Клинический пример
Пациентка С.26 лет. Травма за 6 месяцев до поступления
Укорочение правой нижней конечности до 10см

23.09.2003. Одновременный остеосинтез переднего и заднего тазовых полуколец
Результат через 10 дней

и 8месяцев после операции
|
|
|
Ответить
|
Re: Застарелое повреждение таза
Maxim Agalakov 17 Январь 2008, 10:28
|
> плачевный опыт стержневого аппарата, давность травмы совершенно
> очевидно, что поставленная задача достижима при открытой репозиции и
> одномоментной фиксации переднего полукольца с артродезированием правого
> крестцово-подвздошного сустава.
плачевный опыт стержневого аппарата в данном случае ни о чем не говорит - при такой компоновке не могло не сместиться
> Операция выполняется в положении
> больного на здоровом боку или полубоку из расширенного трансоссального
> подвздошно-пахового доступа с переходом на лонное сочленение доступом по
> Pfannenstiel. Указанный доступ обеспечивает подход к
> крестцово-подвздошному сочленению как спереди так и сзади. После
> артродезирования выполняется синтез лонного сочленения. Клинический пример
> Пациентка С.26 лет. Травма за 6 месяцев до поступления
> Укорочение правой нижней конечности до 10см
Сколько крови потеряли?
С уважением,
Maxim Agalakov
|
[
Ответить ]
|
Re: Застарелое повреждение таза
Maxim Agalakov 17 Январь 2008, 10:39
|
> Результат через 10 дней и 8месяцев после операции
Да, забыл сказать - отличная работа, искренне восхищаюсь. Кость рубите по Judet (немного не разобрался по рисунку)?

С уважением,
Maxim
|
[
Ответить ]
|
( Ответить )
|
|